マウスピース矯正
(インビザライン)

LINE無料矯正相談 受付中

無料相談はLINEで完結!経験豊富な院長が回答
LINE無料矯正相談

お口の写真を送るだけ!

※奥歯でしっかり噛んで正面から上下の前歯が写るように撮影

気になるところを撮影して写真をLINEで送っていただければ院長が画像を確認して、マウスピース矯正で対応可能かどうか?抜歯が必要かどうか?費用や期間の目安などについて回答いたします。

※LINE矯正相談は横浜市近隣にお住まいの方限定となります

LINE矯正相談はこちら

精密検査ご予約はこちら

検査結果を元に詳しく分析し、
複数パターンの診断結果・3Dシミュレーションを作成しご説明します。 検査診断費用:22,000円
※診断分析には2週間程度期間がかかります。
※当院で矯正治療を開始される場合は
検査診断費用は矯正治療費総額から割引いたします。

24時間受付精密検査WEB予約はこちら
マウスピース矯正の治療風景
マウスピース矯正は 「どこで受けても同じ」ではありません。

治療計画を立てるドクターの経験値と技術力によって、仕上がりの美しさ・治療期間・噛み合わせまで変わります。
当院では、他院の矯正治療を指導するレベルのドクターが在籍しています。これまでの1,000件以上の矯正実績と経験をもとに、あなたに最適な治療プランをご提案します。

国内でも数少ない

インビザライン・
ダイヤモンド
プロバイダー認定

インビザライン年間症例数150例以上

インビザラインには、年間症例数に応じて付与される世界共通のプロバイダーステータスがあります。 当院が認定されている「ダイヤモンド・プロバイダー」は、年間150症例以上の実績を持つ医院に送られる国内でも数少ないステータスです。

ダイヤモンドプロバイダー認定

インビザライン矯正は、医師がいかに多くのパターンを経験し、シミュレーションの精度を高められるかが重要です。当院では豊富な症例経験をもとに、一人ひとりに合わせた「予測実現性の高い治療計画」を立案し、理想の歯並びをご提案します。

三ツ境駅前スマイル歯科の
マウスピース矯正の特徴

治療データのグラフ
治療費をできるだけ抑え、
期間もできるだけ短くできるよう、
治療計画を立てています。

当院では、平均よりも早く矯正治療を終える方が多いです。その分費用も患者様の負担も少なくすることができます。治療が長引くほど、最初に立てた治療計画どおりに進みにくくなります。
理想的な歯並びを実現する上でも、無駄のないスムーズな治療計画がとても大切です。

費用と期間を短縮できる理由

  • 治療計画の作成
    1

    必要最小限のマウスピース枚数での治療計画作成

    豊富な臨床経験に基づき、患者様に安心して治療を受けていただけるよう最適なプランを作成しています。必要最小限のマウスピースで効率的に治療を進めることで、時間的・経済的負担を抑えます。

  • 遠隔モニタリング
    2

    遠隔モニタリングに対応。通院回数・治療期間を最小限に

    週1回ご自身で撮影したお口の中の画像を送信いただくことで医師とAIが分析管理を行い、遠隔で矯正の進捗をチェックします。進捗をこまめに確認できるだけでなく、修正が必要な場合にも早めに気づくことができ、計画通りにスムーズな矯正治療が可能になります。 また通院頻度を抑えられるため、神奈川県全域から多くの方にご来院いただいています。

  • 加速装置
    3

    加速装置で治療期間を2~3割短縮※オプションとして選択できます

    1日15分ほど加速装置を使用することで、2年かかる矯正治療が1年半で終了する※など、治療期間を2~3割ほど短縮することができます。また歯の動きがスムーズになり、矯正による痛みも緩和されます。
    ※歯並びやお口の状況によって変わります

複数の矯正治療プランを作成
複数の治療プランから選べるから安心。
理想の歯並びを短期間・最小限の費用で実現

POINT
複数プランを作成するには時間、治療の見通しを立てるスキルと経験が必要です。熟練度の高い当院のドクターだからこそできる提案です。

たとえば前歯のガタガタと出っ歯で
悩んでいる患者様の場合のプラン3
  • Plan1
    前歯のガタガタを
    最小限で治す
    プラン
    現在の歯並び
    前歯のガタガタを改善
  • Plan2
    前歯のガタガタと出っ歯を
    抜歯しない範囲内で
    可能な限り改善するプラン
    現在の歯並び
    前歯のガタガタと出っ歯を改善
  • Plan3
    前歯のガタガタと出っ歯を
    上顎の小臼歯抜歯をすることで
    口元の改善までを含めて
    おこなうプラン
    小臼歯を抜歯後
    前歯と出っ歯に加えて口元を改善

このように3パターンの治療プランと、シミュレーションを作成します。費用、期間、理想の状態からお好みのプランを選択できます。複数プランをシミュレーション付きで見られるので、じっくり検討し、安心して選ぶことができるため患者様からもとても好評です。

矯正治療で失敗したくない
余計な費用がかからないか心配

という方は、ぜひ一度ご相談ください。

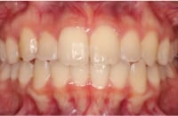
当院の矯正治療症例

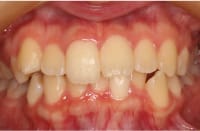
  • Case1

    歯のガタガタを治したい

    Before
    After
    年齢
    20代女性
    治療期間・回数
    約1年6ヶ月間、18回
    費用
    総額990,000円(税込み)
    (検査・診断・マウスピース費用・管理費・通院費全て含む) ※自由診療となります。
    リスク・副作用
    歯の動きには個人差があり、痛み・口内炎・歯肉退縮・歯根吸収・隙間・補綴物の外れなどが生じる可能性があります。装着時間や来院状況が結果に影響します。
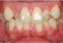
  • Case2

    全体的な歯並びの
    がたつきが気になる

    Before
    After
    年齢
    10代女性
    治療期間・回数
    約8か月間、8回
    費用
    総額770,000円(税込み)
    (検査・診断・マウスピース費用・管理費・通院費全て含む) ※自由診療となります。
    リスク・副作用
    歯の動きには個人差があり、痛み・口内炎・歯肉退縮・歯根吸収・隙間・補綴物の外れなどが生じる可能性があります。装着時間や来院状況が結果に影響します。
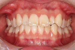
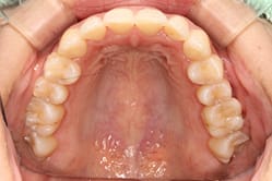
  • Case3

    前歯のずれが気になる

    Before
    After
    年齢
    30代女性
    治療期間・回数
    約3ヶ月間、6回
    費用
    総額550,000円(税込み)
    (検査・診断・マウスピース費用・管理費・通院費全て含む) ※自由診療となります。
    リスク・副作用
    歯の動きには個人差があり、痛み・口内炎・歯肉退縮・歯根吸収・隙間・補綴物の外れなどが生じる可能性があります。装着時間や来院状況が結果に影響します。
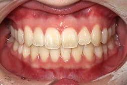
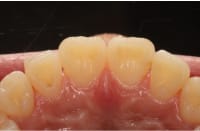
  • Case4

    前歯部の捻じれ
    が気になる

    Before
    After
    年齢
    30代女性
    治療期間・回数
    約8か月間、8回
    費用
    総額880,000円(税込み)
    (検査・診断・マウスピース費用・管理費・通院費全て含む) ※自由診療となります。
    リスク・副作用
    歯の動きには個人差があり、痛み・口内炎・歯肉退縮・歯根吸収・隙間・補綴物の外れなどが生じる可能性があります。装着時間や来院状況が結果に影響します。
矯正治療の症例をもっと見る

豊富な実績・経験が
ある医院です

大人から子どもまで豊富な矯正治療実績がございます。
横浜市近隣で矯正治療を検討中の方は、当院までお気軽にご相談ください。

矯正治療実績1,238件
年度 矯正数(総数) 成人矯正数 小児矯正数
1,238 435 803
2010 7 2 5
2011 10 3 7
2012 14 5 9
2013 18 7 11
2014 22 9 13
2015 46 11 35
2016 47 13 34
2017 58 15 43
2018 70 18 52
2019 84 21 63
2020 100 29 71
2021 118 35 83
2022 137 43 94
2023 156 51 105
2024 188 70 118
2025 163 55 108

マウスピース矯正について
(インビザライン)

マウスピース矯正装置(インビザライン

当院が扱うマウスピース矯正(インビザライン)は、透明なマウスピースを装着することによって歯を動かす治療法です。

透明で気づかれにくい、違和感や痛みが少ない、通院回数が少なく治療も短期間になるのがメリットです。

「歯並びが気になるけど装置が目立つのは嫌」「痛みのある矯正治療は避けたい」という方におすすめの治療方法です。

当院では世界100カ国以上、1,800万人に使用されている「インビザライン」を採用しています。

このような場合は
ご相談ください

  • むし歯や歯周病になりやすい
  • 滑舌が悪い
  • 見た目が悪い
  • 顎関節症になりかかっている
  • 自信をもって写真を撮れない
  • 原因不明の肩こりなどの症状がある
  • 人目を気にしてしまう
  • 矯正治療後の後戻りが気になる
マウスピース矯正(インビザライン)で
対応可能な歯並び

当院のマウスピース矯正治療は、ほぼすべての歯並びに対応しています。
難症例や他院で断られた場合もご相談ください。
部分矯正や、矯正後の後戻りについてもご相談いただけます。

  • 叢生(そうせい)

    叢生(そうせい)

    歯が重なり合ったり、ねじれたり、凸凹になりバラバラになっている状態。

  • 空隙歯列(すきっ歯)

    空隙歯列(すきっ歯)

    歯と歯の間に隙間ができてしまっている状態。

  • 下顎前突(受け口)

    下顎前突(受け口)

    上の前歯より下の前歯が前方に出てしまっている状態。

  • 開咬

    開咬

    奥歯は噛み合わさっているが、前歯が噛み合わさっていない状態。

  • 過蓋咬合

    過蓋咬合

    上下の前歯の重なり度合いが通常よりも大きすぎる状態。

  • 上顎前突(出っ歯)

    上顎前突(出っ歯)

    上の前歯が下の前歯より、前方に突き出しすぎている状態。

三ツ境駅前スマイル歯科の
マウスピース矯正治療が
選ばれる理由

  • 口腔内3Dスキャナー iTero Element

    先端設備と快適な治療空間

    患者さまの負担が少なく、かつ精密なデジタル撮影ができる口腔内3Dスキャナー iTero Element(アイテロ エレメント)や、歯科用CTなどの先端機器を導入しています。顎や歯の状態を精密に採取できるため、より精緻で効率のよい治療計画を立てることができます。
    また従来の粘土状の素材を使用した型取りは、嘔吐反射が強い方や、お口が小さい方には苦痛をもたらすものでした。しかし3Dスキャナーはお口の中を撮影するだけで型取りが完了するので、患者様の負担は最小限です。 
    安心して治療を受けていただくために、当院では滅菌消毒処理を徹底し、神経質なくらいに院内感染対策を実施しています。

  • インビザラインのマウスピース矯正装置と専用ケース

    総額提示制でクリアな料金体系。
    安心して治療を開始できます

    他院では追加費用となることも多い、装置処置料や保定装置代金なども、当院では料金内に含まれています。あとから追加費用が増えて想定外の出費に悩んだり、いくらかかるのかわからない不安な状態で治療が進むことがないよう、安心できる料金体系にしています。
    またデンタルローンや医療費控除も活用いただけます。

  • 歯科医師がマイクロスコープを使って治療

    お口の中を
    トータルサポートできる総合歯科

    当院は、矯正治療だけでなく、一般歯科も取り扱っています。抜歯などの一部治療は信頼できるドクターにご紹介させていただきますが、むし歯ができてしまった場合や治療中、治療後の定期検診・メンテナンスも対応しています。お口の中をしっかりと把握した歯科医師による治療を受けることができるため、安心です。

LINE無料矯正相談 受付中

無料相談はLINEで完結!経験豊富な院長が回答
LINE無料矯正相談

お口の写真を送るだけ!

※奥歯でしっかり噛んで正面から上下の前歯が写るように撮影

気になるところを撮影して写真をLINEで送っていただければ院長が画像を確認して、マウスピース矯正で対応可能かどうか?抜歯が必要かどうか?費用や期間の目安などについて回答いたします。

※LINE矯正相談は横浜市近隣にお住まいの方限定となります

LINE矯正相談はこちら

オンライン相談にも
対応しています

事前にお送りいただいたお口元のお写真をもとに、矯正治療の必要性の有無や、適切な治療方法・期間・費用についてビデオ通話でご説明します。(相談無料)

こんな方におすすめです
  • 小さなお子さま連れでお出かけが難しい方
  • 忙しくなかなか来院の時間が取れない方
  • まずはご自宅で話を聞いてみたい方
歯科スタッフがオンライン矯正相談

オンライン相談の流れ

簡単3ステップ
  1. LINEでご希望の日時を予約 1 LINEでご希望の日時を予約
  2. 事前にお口の写真を送信 2 事前にお口の写真を送信
  3. 予約時間にビデオ通話で相談 3 予約時間にビデオ通話で相談

LINEから予約いただけます

オンライン矯正相談 予約

豊富な選択肢から最適な治療をご提案します
三ツ境駅前スマイル歯科で
扱っている
主な矯正装置

  • 透明なマウスピース型の矯正装置

    type01 マウスピース矯正

    マウスピース矯正は透明な素材でできたマウスピースを装着することによって歯並びを整える治療法です。クリアブラケット矯正以上に見た目の変化が少なく、装置は取り外しが可能なため、歯磨きや食事もいつも通りに行うことができます。
    不正歯列の重症度によっては適用できない場合もありますが、痛みも少なく、金属を使用しないため、金属アレルギーの方も心配なく治療することができます。

  • 金属ブラケットとワイヤーを使用した矯正装置

    type02 ブラケット矯正

    ブラケットと呼ばれる金属の装置を歯の表面に取り付け、ワイヤーで繋いで歯並びを整える方法です。金属色の装置が目立つというデメリットがありますが、装置自体は小さく作ることができるため、クリアブラケットに比べると違和感は少なくなります。
    取り外しができないため、治療中はむし歯や歯周病のリスクが高くなりやすく、歯磨きする時に注意が必要です。ほとんどの症例に適用することができます。

  • 透明なブラケットを使用した矯正装置

    type03 クリアブラケット矯正

    治療方法はブラケット矯正と同様ですが、使用するブラケット装置がクリア色でできているため、治療中もあまり目立ちません。ほとんどの症例に適用可能で、歯磨きには注意が必要ですが、見た目の変化は金属ブラケットを使用するよりも抑えることができます。
    装置自体が高価であるため、治療費がやや高くなり、色の濃い食べ物は着色してしまう恐れがありますが、見た目のストレスは大幅に改善されます。

矯正治療の流れ

  1. Step1 スマートフォンでLINE無料矯正相談

    無料LINE相談

    お口の写真を撮影してLINEで送っていただき、院長が画像を確認して返信いたします。
    マウスピース矯正で対応可能かどうか?抜歯が必要かどうか?費用や期間の目安などについて回答します。

  2. Step2 CT機器で精密検査

    精密検査

    無料LINE相談の後で、精密検査を希望の患者様はLINEやWEBで予約をお取りします。
    1回目の来院では、矯正専任スタッフがご希望をお聞きし、精密検査を行います。2回目の来院で、検査結果を元に診断の説明・ご相談を行います。

  3. Step3 歯科スタッフの矯正治療

    治療開始

    矯正治療に必要な処置を事前に行い、マウスピースの取り扱いやご自宅でのアプリ管理などについてのご説明します。
    初回の時間は60分程度で、その後の管理やチェックは30分程度です。自宅アプリによる管理が主体となりますので、来院回数は平均で5~6回程度の場合が多いです。

  4. Step4 歯並びを確認している患者

    保定期間

    矯正終了後は後戻りを少なくするため、矯正治療期間と同じ期間、日中も含めてマウスピースを装着していただき歯並びの安定化を行います。歯並びが安定した後、マウスピースの使用は夜間のみとなります。

矯正治療の費用

精密検査・説明 ¥22,000
※検査費用は契約総額に充当されます
マウスピース矯正
(インビザライン)
エクスプレス:¥220,000~¥440,000
ライト:¥440,000〜¥660,000
モデレート:¥660,000~¥880,000
フル:¥990,000~¥1,320,000 ※矯正管理費・保定装置(上下セット)の料金含む
ブラケット矯正 ¥770,000〜¥990,000
※矯正管理費・保定装置(上下セット)の料金含む
当院は総額提示制のため、
下記すべて含まれています!
  • 装置処置料
  • 保定処置料
  • 保定装置代金
  • 矯正装置代金
  • 診断料

想定していない追加料金があとからかかる心配がありません。
安心して治療を受けていただくため、当院では総額提示制を取り入れています。

デンタルローンでの分割払いにも
対応しています

デンタルローンのメリットは、年金利4.0%~8.0%程とカードローンに比べて金利が低いことです。追加借入はできませんが、その分返済計画は立てやすいです。そのため、高額な治療費の支払いに向いています。デンタルローンのデメリットは、お申し込みから融資を受けるまでに1日~数日、場合によっては1週間以上の時間がかかることです。また、デンタルローンに対応している歯科医院でしか使えないこともデメリットです。

※当院はデンタルローンに対応しており、優良医院として指定されているため融資の許可までの日数が平均1~2日となっております。
デンタルローンの書類記入

お支払方法

当院では、下記のお支払方法が可能です。

  1. 現金

    現金

  2. 銀行振込

    銀行振込

  3. クレジットカード

    クレジット
    カード

  4. デンタルローン

    デンタル
    ローン

医療費控除について

1年間(1月1日~12月31日)に10万円以上の医療費を支払った場合は、確定申告で医療費控除を申請することによって一定の金額の所得控除を受けることができます。ご自身の支払いに限らず、生計をともにするご家族が支払った医療費も対象となります。詳しくは国税庁のホームページをご覧ください。

国税庁のホームページ

矯正治療のよくある質問

見た目に変化はありますか?

金属ブラケットを使用した矯正治療では、装置が目立ってしまいますが、クリアブラケット矯正やマウスピース矯正ではほとんど目立ちません。特にマウスピース矯正は透明で薄い素材を使用しているため、ほとんど見た目の変化がありません。

違和感や話すのに支障はありますか?

ブラケットやワイヤーを用いた治療では、慣れるまで会話がしにくいと感じることがあるかもしれません。また、ワイヤーの調整直後などは、痛みや違和感を感じやすいようです。
マウスピース矯正では、治療開始直後は違和感を感じられる方もいらっしゃいますが、慣れれば問題になることはほとんどありません。

マウスピース矯正(インビザライン)は痛いですか?

矯正治療の開始直後やマウスピースを交換した直後、ワイヤーの調整直後などは、少し違和感を感じることがあります。ブラケット矯正の場合は、装置が粘膜に当たって傷ができることもあります。少しの違和感は、歯が動いているために起きるものですので、徐々に慣れて行きます。装置が粘膜に当たって傷ができるような場合には、状況に応じた対応を行います。

食事の時はどうすればいいですか?

マウスピース矯正の場合は、外してから食事を摂り、歯磨きをしてから再装着するようにしてください。ブラケット矯正の場合、食事に特に制限はありませんが、クリアブラケット矯正の場合は色の濃いものを食べると、ブラケットに着色してしまうことがあります。

マウスピース(インビザライン)をつけたままお茶やコーヒー、
炭酸水を飲んでもいいですか?

着色や変形の原因になるため、お水以外を飲む際にはマウスピースは外してください。

マウスピース矯正(インビザライン)でも前歯だけ治すことはできますか?

前歯のガタガタを最小限で治すプラン、一緒に出っ歯も改善するプランなど複数の治療プランと3Dシミュレーションを作成し、それぞれの費用と期間の詳細を患者様にお伝えしてお好みのプランを選択していただいております。まずはお気軽にご相談ください。

矯正は保険適用・高額療養費精度の対象になりますか?

矯正治療は基本的に保険適用外、高額療養費精度の対象外です。医療費控除は対象になりますので、詳しくは「医療費控除について」をご確認ください。

マウスピース矯正の場合、装着時間はどれくらいですか?

装置は毎日20時間以上装着していただくことで、効果を発揮します。装着時間が短いと、思うような治療効果が得られないことがあります。

治療期間はどれくらいですか?

マウスピース矯正は個人差がありますが、当院では大人の方の約4割が6か月以内、6割以上の方が1年以内に治療を完了されています。精密検査終了後の治療計画説明で、予想される治療期間をお伝えできます。

むし歯や歯周病があっても矯正できますか?

むし歯がある場合でも、矯正治療と並行してむし歯治療を進めることが可能です。歯周病治療についても当院では精密な治療を行っていますので、ご相談ください。

インビザラインの費用相場はいくらくらいですか?

インビザラインの費用は治療範囲によって異なります。一般的には、
 ・全体矯正の場合:80~100万円程度が目安
 ・部分矯正の場合:前歯など限られた範囲の矯正であれば、30~50万円程度となります。
(医院によっては、マウスピース代のほか、検査料・調整料・保定装置代などが別途かかる場合があるため、事前に確認をおすすめします。)
当院では安心して治療を開始いただけるよう、総額提示制をで取り入れております。