成人矯正症例
(ブラケット・ワイヤー)
-
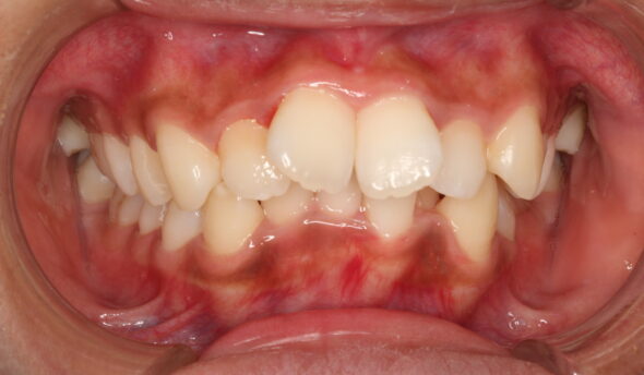
2026/04/07上下のがたつきが気になる17歳女性の矯正症例紹介 今回ご紹介する患者様は、上下のがたつきを気にされており、矯正検査後叢生Ⅰ級と診断いたしました。 矯正前に、上下小臼歯4本を抜歯いたしました。また、ワイヤー矯正後に、インビザラインで仕上げ矯正を行いました。 治療前後の比較 矯正術前:正面 矯正術後:正面 矯正術前:右側 矯正術後:右側 矯正術前:左側 矯正術後:左側 矯正術前:上顎 矯正術後:上顎 矯正術前:下顎 矯正術後:下顎 矯正術前:前歯部あおり 矯正術後:前歯部あおり 矯正術前:オーバージェット 矯正術後:オーバージ…
... もっと見る -
2026/03/24上下前歯のがたつきが気になる30代女性の矯正症例紹介 今回ご紹介する患者様は、上下前歯のがたつきを気にされており、矯正検査後叢生Ⅰ級と診断いたしました。 ワイヤー矯正後に、インビザラインによる仕上げ矯正を行っております。 治療前後の比較 矯正術前:正面 矯正術後:正面 矯正術前:右側 矯正術後:右側 矯正術前:左側 矯正術後:左側 矯正術前:上顎 矯正術後:上顎 矯正術前:下顎 矯正術後:下顎 矯正術前:前歯部あおり 矯正術後:前歯部あおり 矯正術前:オーバージェット 矯正術後:オーバージェット 主訴 上下前歯のがたつきが気に…
... もっと見る -
2026/02/10上の歯が1本だけ奥に引っ込んでいることが気になる16歳女性の矯正症例紹介 今回ご紹介する患者様は、上の歯が1本だけ奥に引っ込んでいることを気にされており、矯正検査後Ⅱ級傾向の叢生と診断いたしました。 ワイヤー矯正後に、インビザラインによる仕上げ矯正を行っております。 治療前後の比較 矯正術前:正面 矯正術後:正面 矯正術前:右側 矯正術後:右側 矯正術前:左側 矯正術後:左側 矯正術前:上顎 矯正術後:上顎 矯正術前:下顎 矯正術後:下顎 矯正術前:前歯部あおり 矯正術後:前歯部あおり 矯正術前:オーバージェット 矯正術後:オーバー…
... もっと見る -
2026/01/27全体的な歯のがたつきが気になる10代女性の矯正症例紹介 今回ご紹介する患者様は、全体的な歯のがたつきを気にされており、矯正検査後叢生Ⅰ級と診断いたしました。 矯正開始時に、上下の小臼歯を4本抜歯しております。 治療前後の比較 矯正術前:正面 矯正術後:正面 矯正術前:右側 矯正術後:右側 矯正術前:左側 矯正術後:左側 矯正術前:上顎 矯正術後:上顎 矯正術前:下顎 矯正術後:下顎 矯正術前:前歯部あおり 矯正術後:前歯部あおり 矯正術前:オーバージェット 矯正術後:オーバージェット 主訴 全体的な歯のがたつきが気…
... もっと見る -
2025/10/03歯並びのガタガタが気になる10代女性の矯正症例紹介 今回ご紹介する患者様は、最初にBK矯正を施術後、仕上げにインビザラインで矯正をさせていただきました。その後右前歯の歯並びが気になるとご相談があり、インビザラインで矯正を再開させていただきました。 治療前後の比較 BK矯正 術前:正面 術後:正面 術前:右側 術後:右側 術前:左側 術後:左側 術前:上顎 術後:上顎 術前:下顎 術後:下顎 術前:前歯部あおり 術後:前歯部あおり 術前:オーバージェット 術後:オーバージェット インビザライン(仕上げ) 術後:正面 術後:右側…
... もっと見る -
2025/08/29前歯のすきっ歯が気になる20代女性の矯正症例紹介 今回ご紹介する患者様は、上顎前歯のすきっ歯を気にされており、矯正検査後叢生Ⅰ級と診断いたしました。 治療前後の比較 術前:正面 術後:正面 術前:右側 術後:右側 術前:左側 術後:左側 術前:上顎 術後:上顎 術前:下顎 術後:下顎 術前:前歯部あおり 術後:前歯部あおり 術前:オーバージェット 術後:オーバージェット 主訴 前歯のすきっ歯が気になる 治療期間 5カ月 治療費用 550,000円(税込) 治療内容 上顎前歯のすきっ歯を気にされており、矯正検査後叢生Ⅰ級と診…
... もっと見る -
2025/05/02前歯のがたつきが気になる20代女性の矯正症例紹介 今回ご紹介する患者様は、前歯が大きくガタついていることを気にされており、特に口元を下げることを希望(BK除去後にも口元下げたいと主訴あり)。矯正検査後Ⅰ級叢生と診断いたしました。ブラケット期間を短くできることとブラケットとインビザライン併用の方が治療期間が短くなることもあり併用での矯正治療を選択いたしました。 治療前後の比較 正面 術前 BK終了時 術後 右側 術前 BK終了時 術後 左側 術前 BK終了時 術後 上顎 術前 BK終了時 術後 下顎 術前 BK終了時 術後 …
... もっと見る -
2025/04/25全体的なガタツキと八重歯が気になる20代女性の矯正症例紹介 今回ご紹介する患者様は、上顎八重歯があること、全体的な歯並びのガタツキを気にされており、矯正検査後叢生Ⅰ級と診断いたしました。 治療前後の比較 正面 術前 BK終了時 術後 右側 術前 BK終了時 術後 左側 術前 BK終了時 術後 上顎 術前 BK終了時 術後 下顎 術前 BK終了時 術後 前歯部あおり 術前 BK終了時 術後 オーバージェット 術前 BK終了時 術後 主訴 全体的なガタツキと八重歯が気になる 治療期間 BK:18ヶ月・インビザライン:6ヶ月 治療費用 8…
... もっと見る -
2025/04/18全体的な歯のガタツキが気になる20代女性の矯正症例紹介 今回ご紹介する患者様は、全体的な歯のガタツキを気にされており、矯正検査後叢生Ⅰ級と診断いたしました。 治療前後の比較 正面 術前 BK終了時 術後 右側 術前 BK終了時 術後 左側 術前 BK終了時 術後 上顎 術前 BK終了時 術後 下顎 術前 BK終了時 術後 前歯部あおり 術前 BK終了時 術後 オーバージェット BK終了時 術後 主訴 全体的な歯のガタツキが気になる 治療期間 BK:26ヶ月・インビザライン:18ヶ月 治療費用 880,000円(税込) 治療内容 …
... もっと見る