小児矯正症例
-
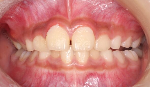
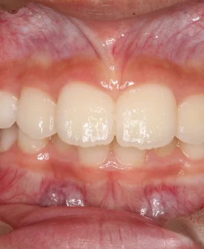
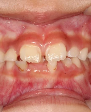
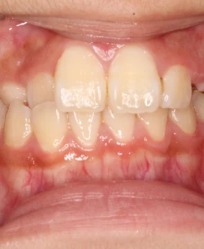
2026/04/14全体的な歯並びのがたつきが気になる10歳女児の矯正症例紹介 今回ご紹介する患者様は、全体的な歯並びのがたつきを気にされており、矯正検査後叢生Ⅰ級と診断いたしました。 治療前後の比較 矯正術前:正面 矯正術後:正面 矯正術前:右側 矯正術後:右側 矯正術前:左側 矯正術後:左側 矯正術前:上顎 矯正術後:上顎 矯正術前:下顎 矯正術後:下顎 矯正術前:前歯部あおり 矯正術後:前歯部あおり 矯正術前:オーバージェット 矯正術後:オーバージェット 主訴 全体的な歯並びのがたつきが気になる 治療期間 ・マウスピース矯正:10カ月 治療費用 …
... もっと見る -
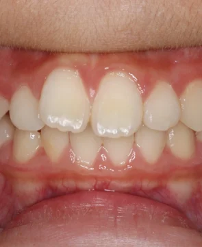
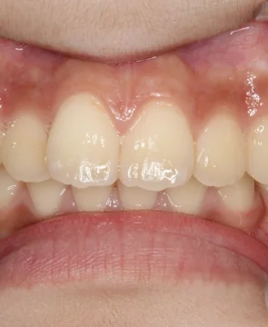
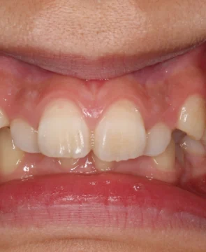
2026/03/17全体的な歯並びのがたつきが気になる9歳女児の矯正症例紹介 今回ご紹介する患者様は、全体的な歯並びのがたつきを気にされており、矯正検査後叢生Ⅰ級と診断いたしました。 治療前後の比較 矯正術前:正面 矯正術後:正面 矯正術前:右側 矯正術後:右側 矯正術前:左側 矯正術後:左側 矯正術前:上顎 矯正術後:上顎 矯正術前:下顎 矯正術後:下顎 矯正術前:前歯部あおり 矯正術後:前歯部あおり 矯正術前:オーバージェット 矯正術後:オーバージェット 主訴 全体的な歯並びのがたつきが気になる 治療期間 ・マウスピース矯正:3カ月 治療費用 66…
... もっと見る -
2026/03/03下の前歯が後ろから生えてきた7歳女児の矯正症例紹介 今回ご紹介する患者様は、下の前歯が後ろから生えてきたことを気にされており、矯正検査後叢生Ⅰ級と診断いたしました。 治療前後の比較 矯正術前:正面 矯正術後:正面 矯正術前:右側 矯正術後:右側 矯正術前:左側 矯正術後:左側 矯正術前:上顎 矯正術後:上顎 矯正術前:下顎 矯正術後:下顎 矯正術前:前歯部あおり 矯正術後:前歯部あおり 矯正術前:オーバージェット 矯正術後:オーバージェット 主訴 下の前歯が後ろから生えてきたことが気になる 治療期間 ・拡大床矯正…
... もっと見る -
2026/02/24上の前歯が捻じれていることが気になる7歳女児の矯正症例紹介 患者様は上の前歯が捻じれていることを気にされており、矯正検査後叢生Ⅰ級と診断いたしました。 治療前後の比較 矯正術前:正面 矯正術後:正面 矯正術前:右側 矯正術後:右側 矯正術前:左側 矯正術後:左側 矯正術前:上顎 矯正術後:上顎 矯正術前:下顎 矯正術後:下顎 矯正術前:前歯部あおり 矯正術後:前歯部あおり 矯正術前:オーバージェット 矯正術後:オーバージェット 主訴 上の前歯が捻じれていることが気になる 治療期間 ・マウスピース矯正:6カ月 治療費用 660,000円…
... もっと見る -
2026/02/03全体的ながたつきと上の歯が出ていることが気になる8歳女児の矯正症例紹介 今回ご紹介する患者様は、全体的ながたつきと上の歯が出ていることを気にされており、矯正検査後叢生Ⅱ級と診断いたしました。 治療前後の比較 矯正術前:正面 矯正術後:正面 矯正術前:右側 矯正術後:右側 矯正術前:左側 矯正術後:左側 矯正術前:上顎 矯正術後:上顎 矯正術前:下顎 矯正術後:下顎 矯正術前:前歯部あおり 矯正術後:前歯部あおり 矯正術前:オーバージェット 矯正術後:オーバージェット 主訴 全体的ながたつきと上の歯が出ていることが気になる 治療期間 …
... もっと見る -
2026/01/20下の前歯のガタつきが気になる9歳女児の矯正症例紹介 今回ご紹介する患者様は、下の前歯のがたつきを気にされており、矯正検査後叢生Ⅰ級と診断いたしました。 治療前後の比較 矯正術前:正面 矯正術後:正面 矯正術前:右側 矯正術後:右側 矯正術前:左側 矯正術後:左側 矯正術前:上顎 矯正術後:上顎 矯正術前:下顎 矯正術後:下顎 矯正術前:前歯部あおり 矯正術後:前歯部あおり 矯正術前:オーバージェット 矯正術後:オーバージェット 主訴 下の前歯のがたつきが気になる 治療期間 ・拡大床矯正:15カ月 治療費用 220…
... もっと見る -
2025/12/30上顎前歯部が出ていることが気になる8歳男児の矯正症例紹介 今回ご紹介する患者様は、上顎前歯部が出ていることを気にされており、検査後にⅠ級叢生と診断いたしました。 小児矯正適齢期における最適な時期に介入することで、短い治療期間で治療を終えることができました。 治療前後の比較 矯正術前:正面 矯正術後:正面 矯正術前:右側 矯正術後:右側 矯正術前:左側 矯正術後:左側 矯正術前:上顎 矯正術後:上顎 矯正術前:下顎 矯正術後:下顎 矯正術前:前歯部あおり 矯正術後:前歯部あおり 矯正術前:オーバージェット 矯正術後:オーバージェット …
... もっと見る -
2025/10/10上下の歯並びのがたつきが気になる6歳女子の矯正症例紹介 今回ご紹介する患者様は、上下の歯並びのがたつきを気にされており、矯正検査後叢生Ⅰ級と診断いたしました。床矯正開始から1年後、上手くネジ巻きができておらず、顎が広がる前にCが抜けて3番が生えてきてしまったため、インビザファーストに切り替えいたしました。 治療前後の比較 床矯正 術前:正面 術後:正面 術前:右側 術後:右側 術前:左側 術後:左側 術前:上顎 術後:上顎 術前:下顎 術後:下顎 術前:前歯部あおり 術後:前歯部あおり 術前:オーバージェット 術後:オーバージェッ…
... もっと見る -
2025/09/26前歯の捻れが気になる10歳男児の矯正症例紹介 今回ご紹介する患者様は、前歯の捻れを気にされており、矯正検査後叢生Ⅰ級と診断いたしました。 治療前後の比較 術前:正面 術後:正面 術後:正面 術前:右側 術後:右側 術後:右側 術前:左側 術後:左側 術後:左側 術前:上顎 術後:上顎 術後:上顎 術前:下顎 術後:下顎 術後:下顎 術前:前歯部あおり 術後:前歯部あおり 術後:前歯部あおり 術後:オーバージェット 術後:オーバージェット 主訴 前歯の捻れが気になる 治療期間 70カ月 治療費用 453,600円(税込)…
... もっと見る -
2025/08/22口元が前に出ていることが気になる10歳男性の矯正症例紹介 今回ご紹介する患者様は、上の歯が出ている、口元が前に出ていることを気にされており、検査後にⅠ級叢生と診断いたしました。成長期におけるインビザファースト症例となります。 治療前後の比較 術前:正面 術後:正面 術前:右側 術後:右側 術前:左側 術後:左側 術前:上顎 術後:上顎 術前:下顎 術後:下顎 術前:前歯部あおり 術後:前歯部あおり 術前:オーバージェット 術後:オーバージェット 主訴 口元が前に出ていることが気になる 治療期間 2カ月:ワイヤー矯正 8カ月:インビ…
... もっと見る -
2025/08/15前歯が出ているのが気になる10代女性の矯正症例紹介 今回ご紹介する患者様は、上顎の前歯が出ていることを気にされており、矯正検査後叢生1級と診断致しました。 治療前後の比較 術前:正面 術後:正面 術前:右側 術後:右側 術前:左側 術後:左側 術前:上顎 術後:上顎 術前:下顎 術後:下顎 術前:前歯部あおり 術後:前歯部あおり 術前:オーバージェット 術後:オーバージェット 主訴 前歯が出ているのが気になる 治療期間 10カ月 治療費用 770,000円(税込) 治療内容 上顎の前歯が出ていることを気にされており、矯正検査…
... もっと見る -
2025/05/30全体的な歯並びのガタツキが気になる10代女性の矯正症例紹介 今回ご紹介する患者様は、全体的な歯並びのガタツキを気にされており、矯正検査後叢生Ⅰ級と診断いたしました。 治療前後の比較 術前:正面 術後:正面 術前:右側 術後:右側 術前:左側 術後:左側 術前:上顎 術後:上顎 術前:下顎 術後:下顎 術前:前歯部あおり 術後:前歯部あおり 術前:オーバージェット 術後:オーバージェット 主訴 全体的な歯並びのガタツキが気になる 治療期間 8カ月 治療費用 660,000円(税込) 治療内容 全体的な歯並びのガタツキを気にされており、…
... もっと見る
- 1
- 2