前歯の捻れが気になる CASE

2025.09.26

前歯の捻れが気になる

10歳男児の矯正症例紹介

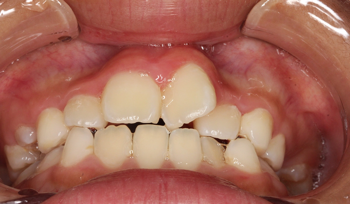
今回ご紹介する患者様は、前歯の捻れを気にされており、矯正検査後叢生Ⅰ級と診断いたしました。

治療前後の比較

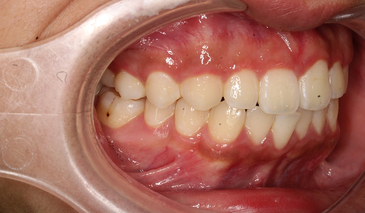
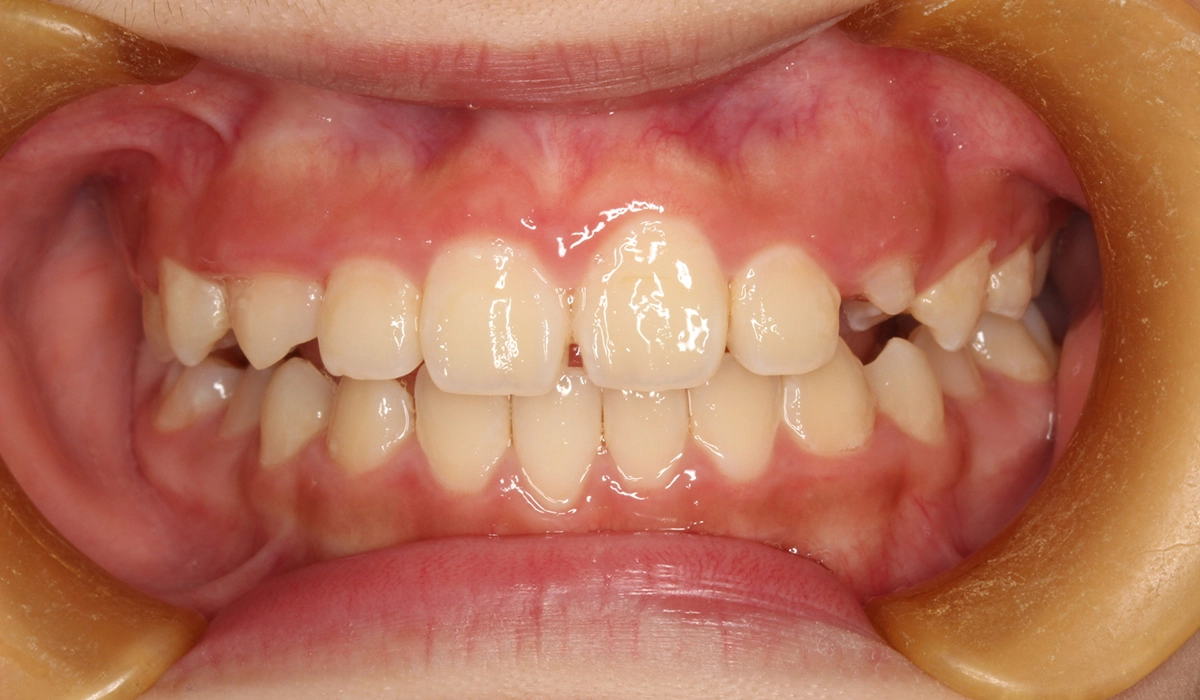
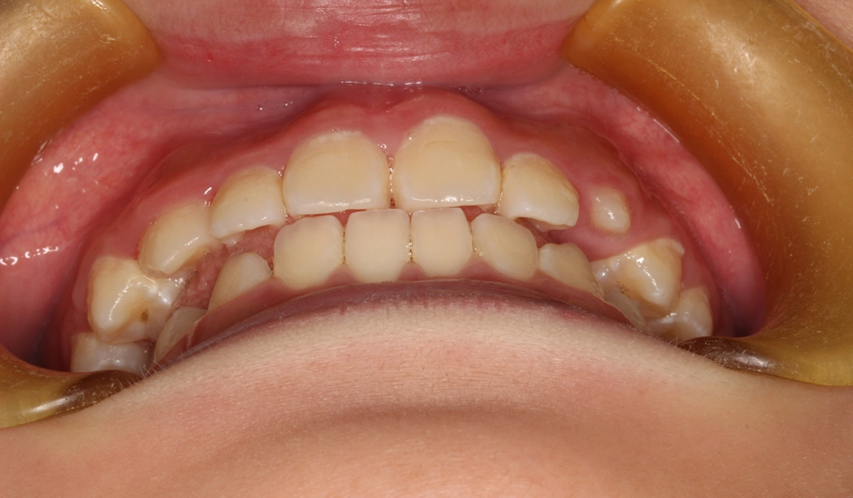
術前:正面

術前:正面

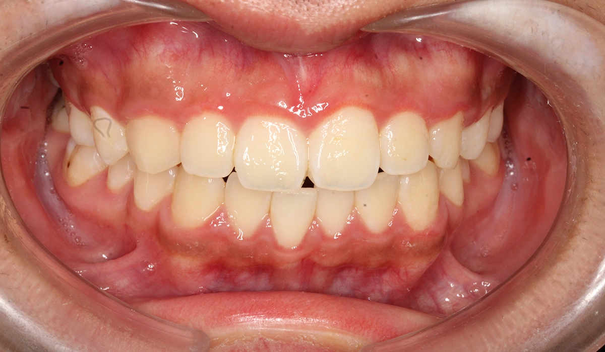
術後:正面

術後:正面

術後:正面

術後:正面

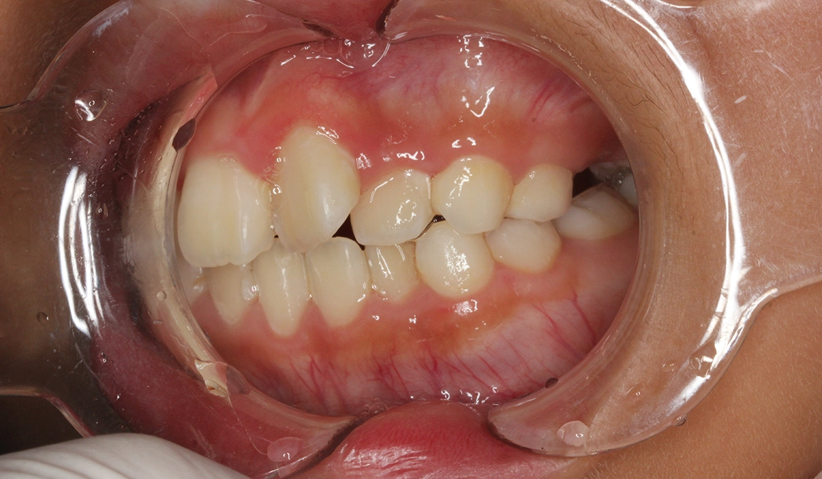
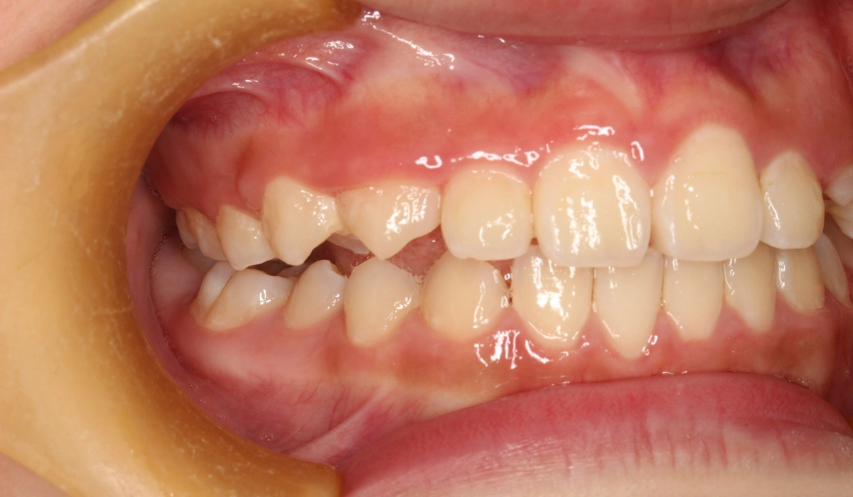
術前:右側

術前:右側

術後:右側

術後:右側

術後:右側

術後:右側

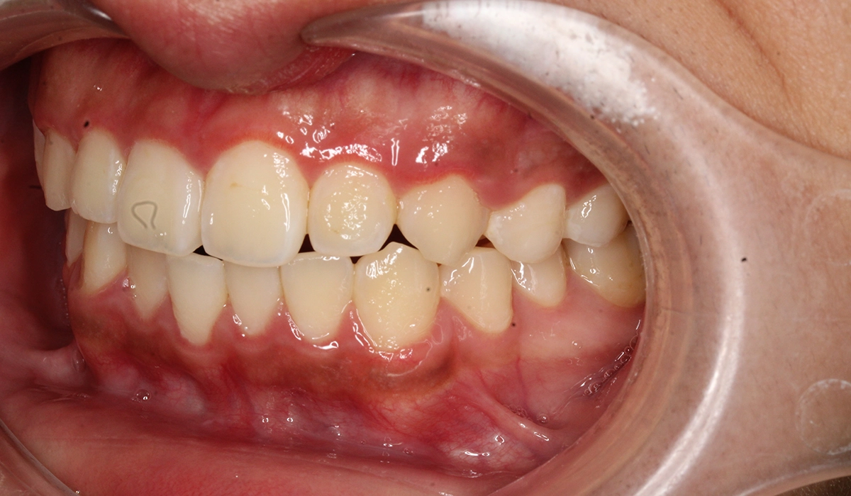
術前:左側

術前:左側

術後:左側

術後:左側

術後:左側

術後:左側

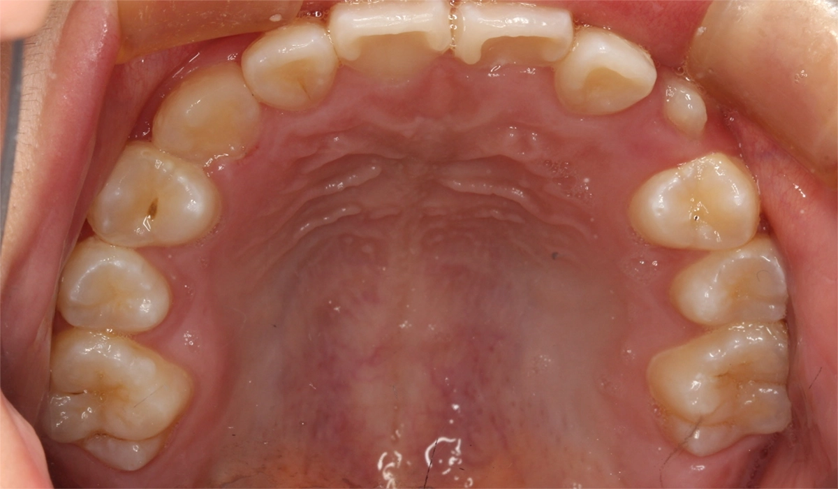
術前:上顎

術前:上顎

術後:上顎

術後:上顎

術後:上顎

術後:上顎

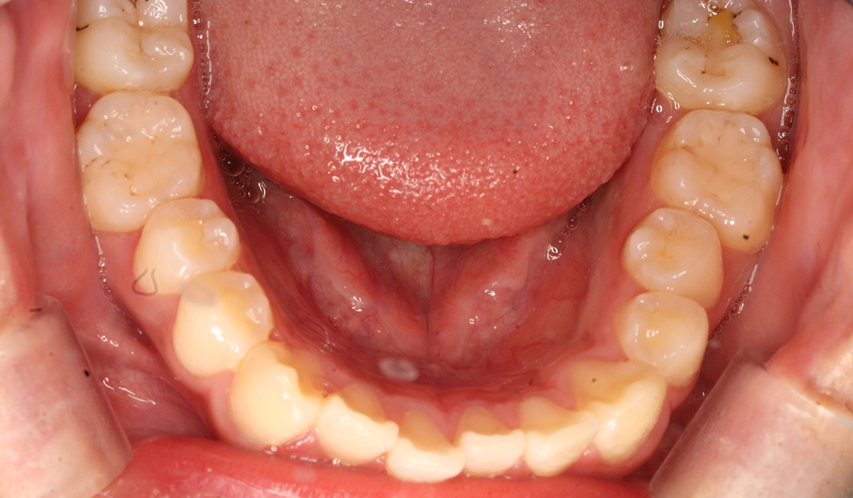
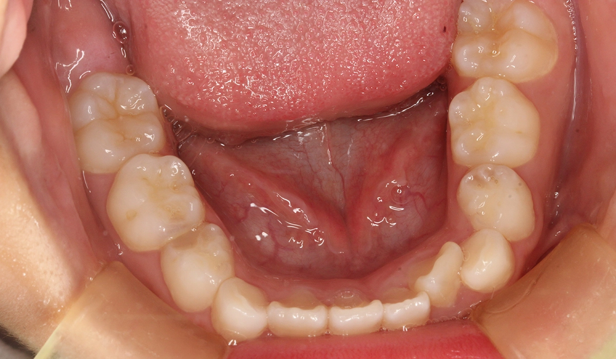
術前:下顎

術前:下顎

術後:下顎

術後:下顎

術後:下顎

術後:下顎

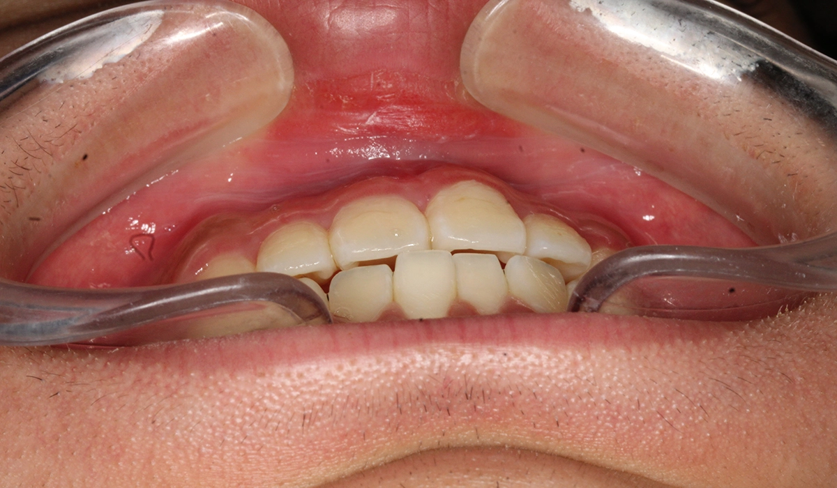
術前:前歯部あおり

術前:前歯部あおり

術後:前歯部あおり

術後:前歯部あおり

術後:前歯部あおり

術後:前歯部あおり

術後:オーバージェット

術後:オーバージェット

術後:オーバージェット

術後:オーバージェット

主訴 前歯の捻れが気になる
治療期間 70カ月
治療費用 453,600円(税込)※2019年時治療費
治療内容 前歯の捻れを気にされており、矯正検査後叢生Ⅰ級と診断いたしました。

リスク・副作用

治療目標に関する重要事項

・ご説明に使用している3Dシミュレーション画像は、矯正器具の設計です。安全のため、着脱を容易にするため「あそび」と呼ばれる隙間が必要です。実際にその通りに歯が動く可能性が高いことはわかっていますが、矯正結果にズレが生じる可能性があります。
矯正の効果は個人差があり、全ての期間と結果を保証できるわけではありません。特に小児矯正においては成長段階のため正中を合わせることは目標にできません。矯正装置を指示通りに装着することでシミュレーションに近づきます。

・小児矯正(1期矯正)は上顎前突、下顎前突などのかみ合わせのズレの改善と矯正開始時に萌出している歯並びを綺麗にして、平均的な大きさの永久歯が萌出するスペースを確保することを目標としています。顎骨の成長の余力がある小学生の間に永久歯を抜歯せずに歯が並ぶスペースを作ります。
必要に応じて乳歯の抜歯を行います。(乳歯抜歯は健康保険で対応します)後戻りを防ぐために余裕をもってスペースを確保しているため矯正治療後には歯と歯の間に食べ物が詰まりやすいなどの症状がおこることがありますが、成長と共にスペースが閉じていくこともありますし、スペースが残ることもあります。

・永久歯を並べるスペースを確保するためには歯と歯の間を緩めて並べておく必要があります。そのため矯正前よりも歯に物が詰まりやすくなります。

治療期間中に起こりうるリスクに関する重要事項

・矯正治療中、まれに顎関節症・むし歯が重篤になることがあり、治療する場合は別途料金(保険診療対応や必要に応じて口腔外科などへの紹介対応)が必要です。症状によってはその治療だけでなく矯正治療の一時中断または中断をおすすめすることがあります。その場合でも返金はありません。

・矯正治療は装置の不快感と多少の痛みを伴います。感じ方は人それぞれですが、通常は眠れないほどではありません。可撤式矯正装置は1日20時間の装着が必要です。
装置が合わず、継続使用が難しいと感じた場合はご連絡ください。装着時間が足りない場合や治療の中断があり、当初の計画通りに治療が進まず、必要な結果が得られないことがありますが、その場合でも返金はありません。また、治療の完了までの治療期間と料金が追加で必要になる場合もあります。

・可撤式装置だけで並ばない場合はドクターの判断で一時的にブラケット(固定式金具)を併用する場合があります。

追加治療に関する重要事項

・一旦小児矯正治療が完了しても、成長・親知らずの影響で八重歯、出っ歯、受け口等、歯並びが乱れる場合があります。反対に成長の影響で一度乱れた歯並びが改善することもあります。そのため、18歳までの間、乱れが気になるようであれば、1.5期矯正で対応します。

小児矯正後におこりうる問題点と予測される確率は下記になります。

①上下の歯の真ん中のずれ

②八重歯や出っ歯:永久歯萌出後に八重歯や出っ歯になる可能性20〜30%です

③反対咬合・開口の再発

※この解決には永久歯の抜歯をして追加治療や稀に外科矯正が必要となることもあります。

④永久歯が自然にはえてこない・はえる方向が著しく悪い、埋まったままはえてこない。

⑤お口を閉じた時のあごのしわ ※この問題の解決には永久歯の抜歯が必要になります。

小児矯正後に出っ歯、叢生の場合の追加治療の確率は20〜30%程度です。
小児矯正後に受け口、開咬が再発する可能性は40〜50%程度です。

治療協力度(コンプライアンス)に関する重要事項

・決められた装着時間、定期的な写真撮影(遠隔モニタリング)、定期的な来院にご協力いただけない場合は治療が予定通り進まない場合があります。コンプライアンス不良によって治療が予定通り進まず当初予定していたゴールに到達できない場合も返金はできません。
希望によっては追加費用で追加治療をお受けしますが、著しく協力度が低いと当院が判断した場合には追加治療をお断りする場合もあります。

歯肉退縮について

低い精度で自動的に生成された説明矯正治療において歯の移動に伴い歯茎がやせてしまうリスクは避けられません。矯正治療後に歯肉が若干痩せて歯が長く見えるようになってしまうことは矯正治療をする上でさけられません。術後に気になる場合は根面被覆術で修復することができますが、専門機関へ相談いただくことになります。また費用も自己負担となります。

歯根吸収について

矯正治療において歯の移動に伴い歯の根が短くなるリスクは避けられません。生まれつき根が短い方の場合は歯の動揺や脱落のリスクが高まることがあります。※根があきらかに短い場合はそもそも矯正治療の適応になりません。

歯の変色について

100人に1人ぐらいの可能性で歯の変色が起こる可能性があります。無菌的に変色した場合は、該当の歯への移動を軽減すれば、1カ月程度で色が戻ってくることが多いです。歯の亀裂・むし歯などで感染して変色した場合は痛み腫れが出る場合があり、歯髄処置をする必要があります。歯髄処置や被せ物の費用は実費がかかります。

ブラックトライアングルについて

矯正治療において歯の移動に伴いブラックトライアングルができるリスクは避けられません。歯の並びが真っ直ぐになると、歯と歯の間のすき間が目立つ場合があります。
なお、時間が経てば軽減する場合があります。ブラックトライアングルができやすい部分は3Dシミュレーションにてある程度予測ができますが、予測していない部分にブラックトライアングルができることもありますし、予測した部位にブラックトライアングルができないこともあります。

ブラックトライアングルの程度は歯肉の厚さや歯の移動量によって個人差があるので完全な予測はできません。※ブラックトライアングル改善には別途費用がかかります。

アクセス 24時間WEB予約 矯正相談予約 矯正相談予約