2025/10/24
下の前歯のガタガタが気になる
20代女性の矯正症例紹介
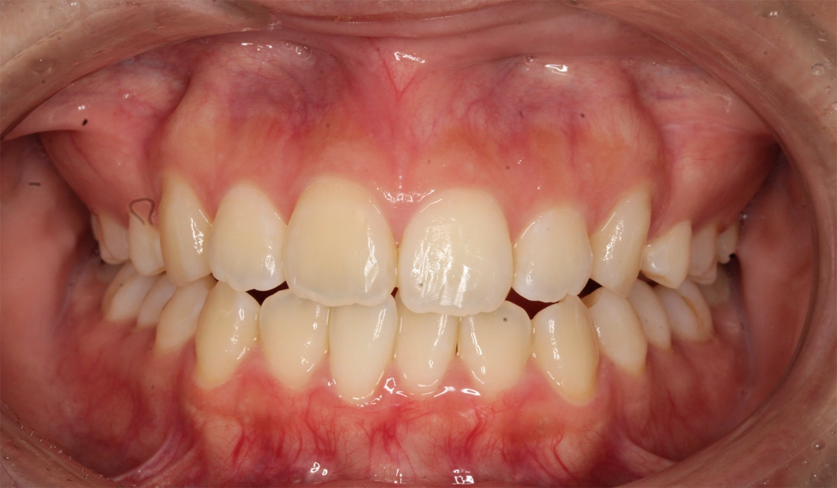
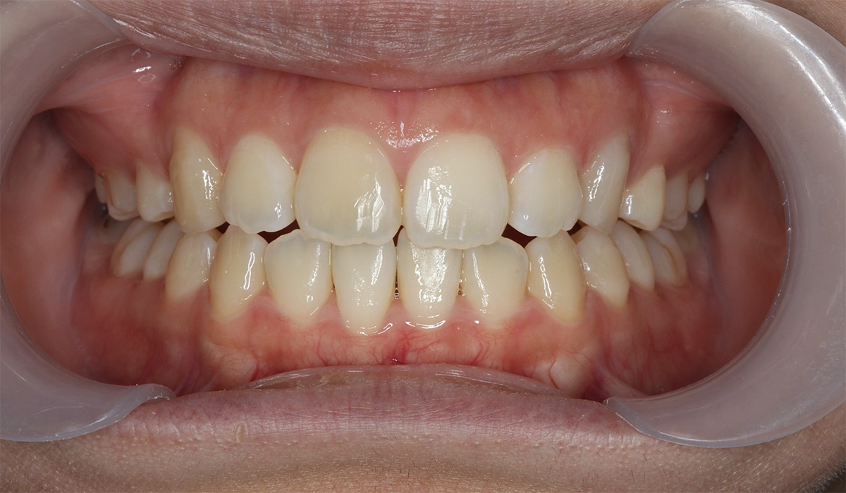
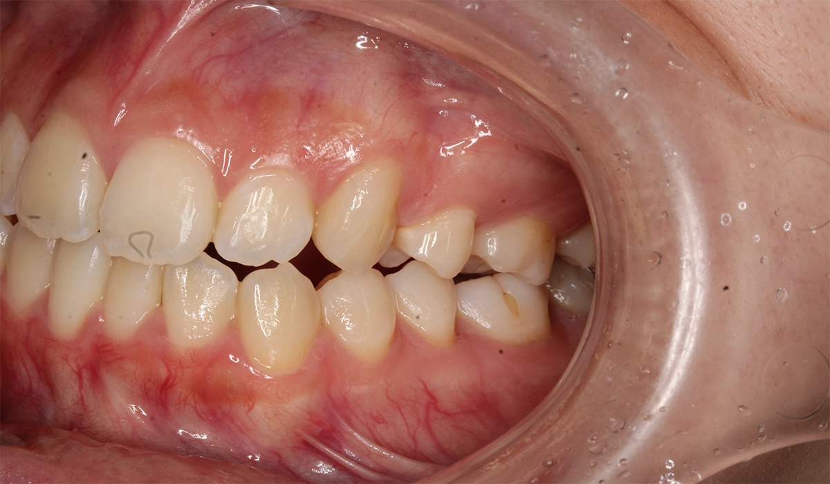
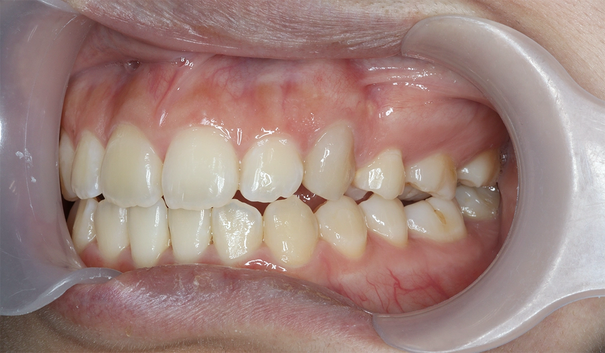
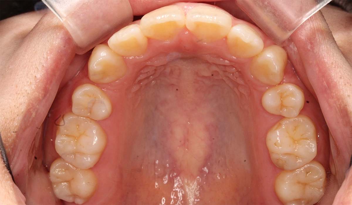
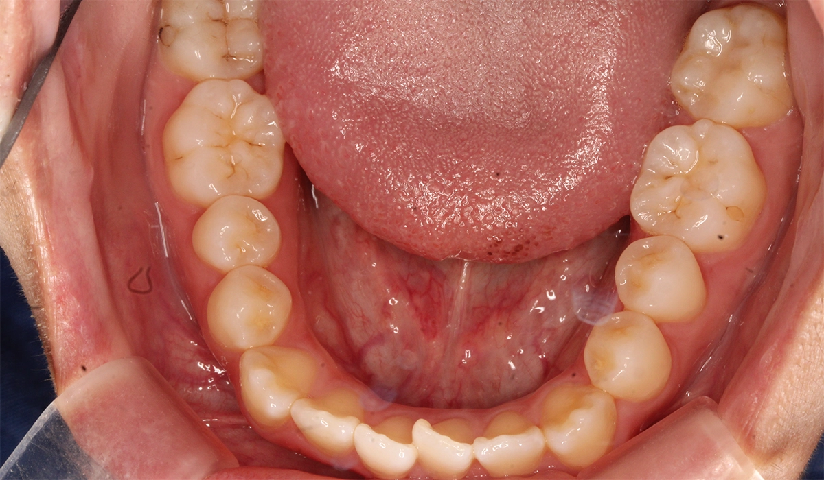
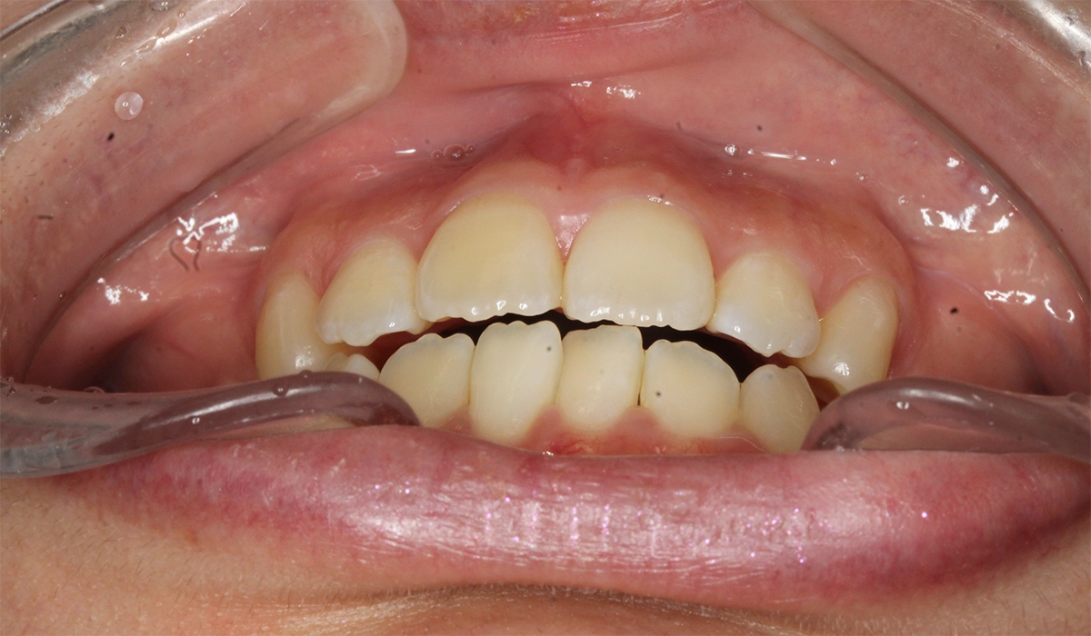
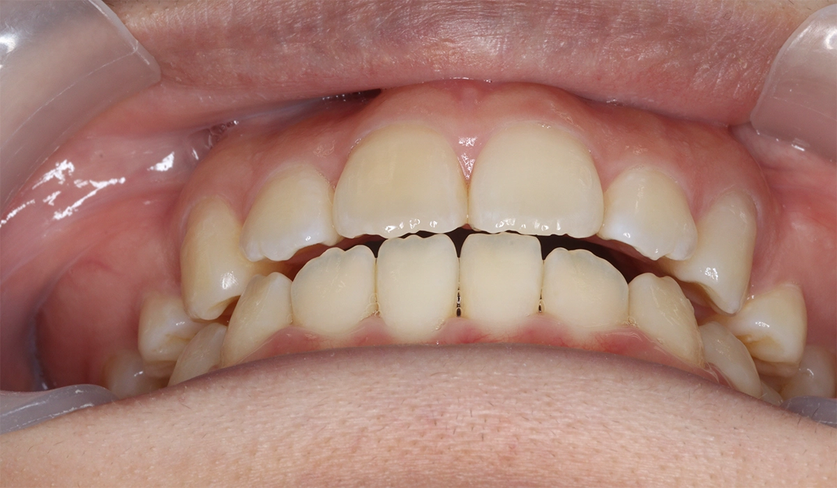
今回ご紹介する患者様は、下の前歯のガタガタを気にされており、矯正検査後叢生1級と診断いたしました。
治療前後の比較
術前:正面

術後:正面

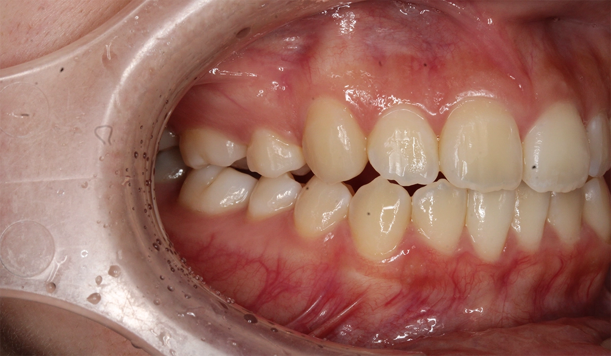
術前:右側

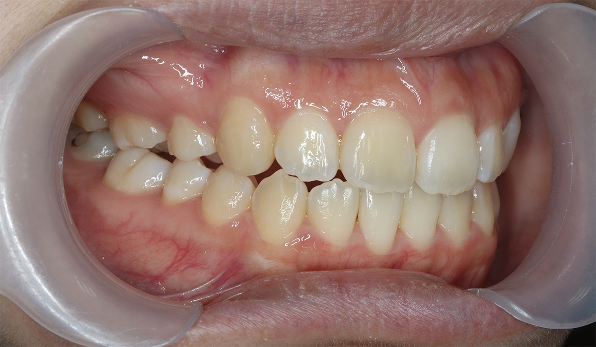
術後:右側

術前:左側

術後:左側

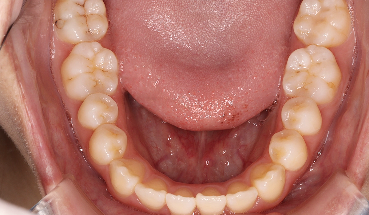
術前:上顎

術後:上顎

術前:下顎

術後:下顎

術前:前歯部あおり

術後:前歯部あおり

術前:オーバージェット

術後:オーバージェット

| 主訴 | 下の前歯のガタガタが気になる |
|---|---|
| 治療期間 | 3カ月 |
| 治療費用 | 550,000円(税込) 下IPR55,000円 合計605,000円 |
| 治療内容 | 下の前歯のガタガタを気にされており、矯正検査後叢生1級と診断いたしました。 |
| リスク・副作用 | ・協力度(装着時間、来院、顎間ゴムの使用など)が治療機関や結果に影響します。 ・事前のシミュレーションのゴールを目指し歯を移動させていく治療法ですが、歯の動きには個人差があるため確実に結果を保証するものではありません。 ・食事に時間がかかり、歯ごたえのあるものが食べにくくなります。 ・歯の移動に伴う痛みや装置による口内炎、関節音、閉口障害、頭痛、耳鳴り、筋の硬直などが生じることがあります。 ・歯の動きに伴い、歯肉退縮や歯根吸収が生じることがあります。 ・ブラックトライアングル(三角形の隙間)ができることがあります。 ・歯の動かし方によっては詰め物やかぶせ物を外す可能性があります。外した場合は矯正終了まで仮の材料を入れ、終了後に新たに作り直す必要があります。 |