2025/03/14
      下顎の前歯のがたつきが気になる
20代女性の矯正症例紹介
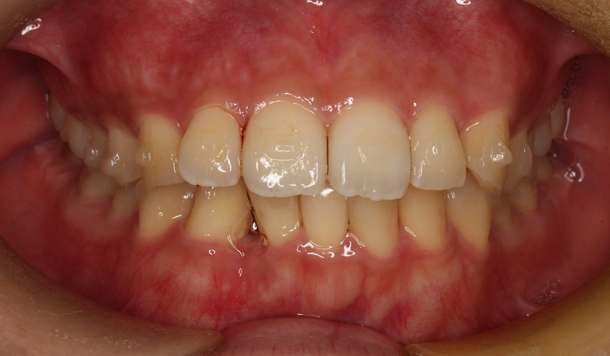
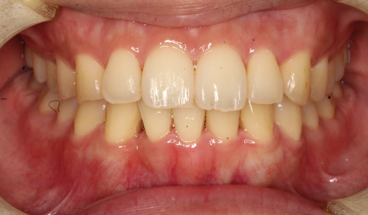
今回ご紹介する患者様は、下顎前歯のがたつきが気になっており、また出来るだけ目立たせずに治療したいため、インビザラインでの矯正を希望されました。検査後、Ⅰ級叢生と診断。右下2番を抜歯しスペースを確保して前歯3本仕上げをいたしました。治療期間も短く患者様も満足していただけました。
治療前後の比較
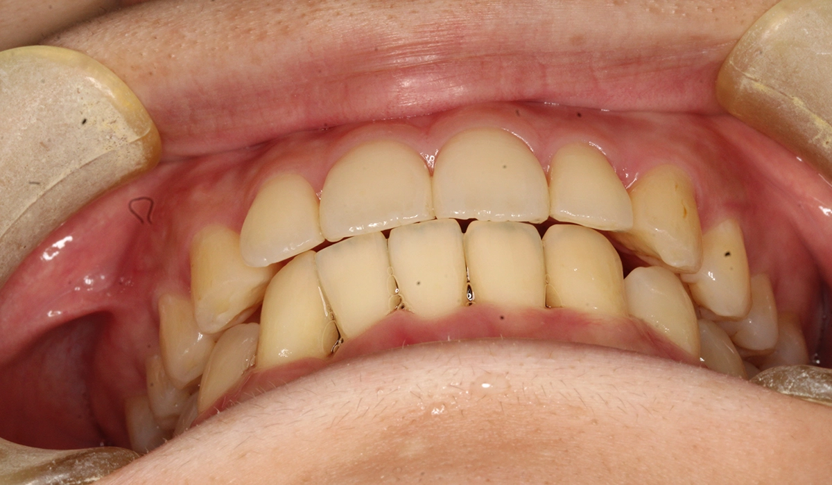
術前:正面
		 
	
術後:正面
		 
	
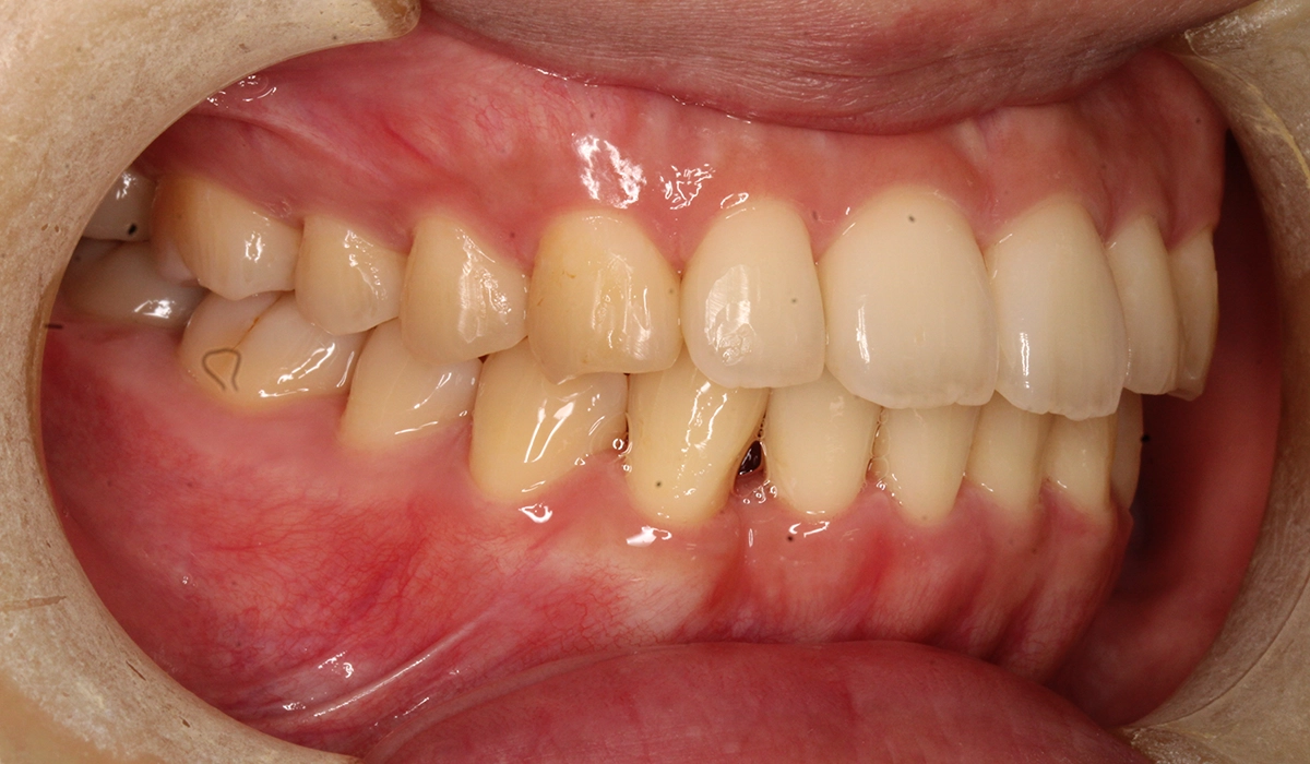
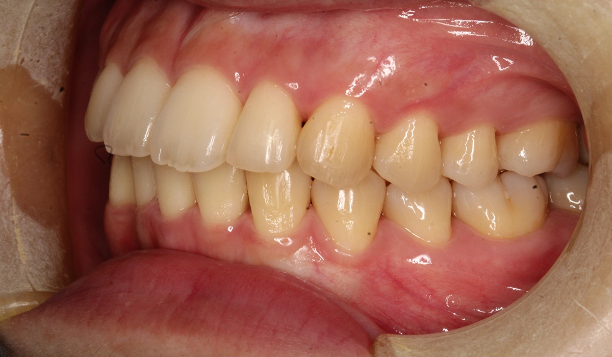
術前:右側
		 
	
術後:右側
		 
	
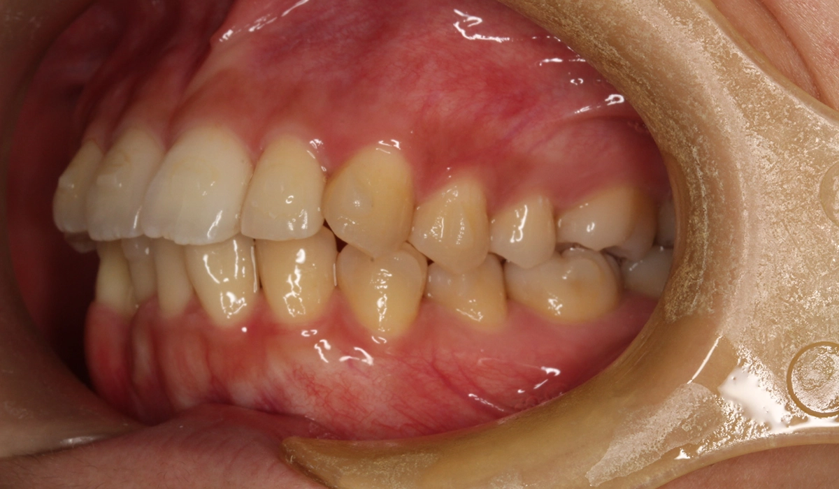
術前:左側
		 
	
術後:左側
		 
	
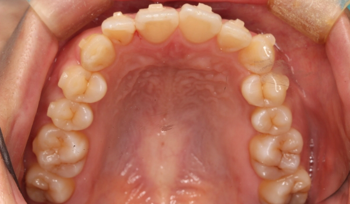
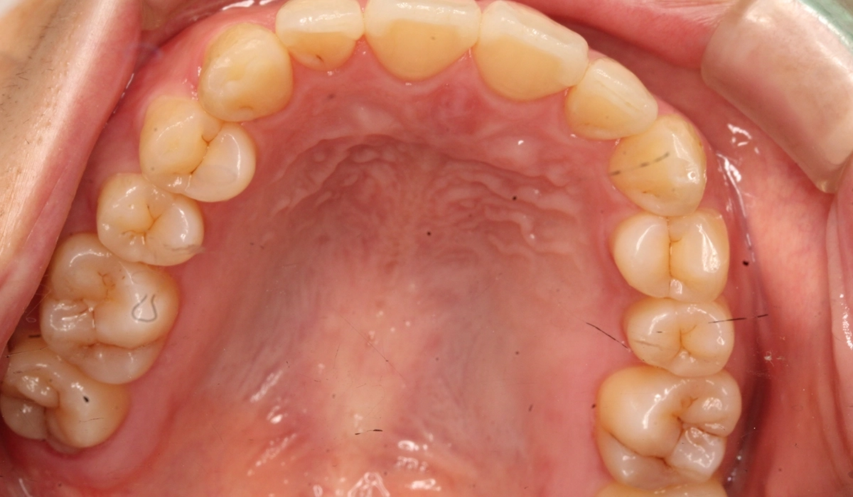
術前:上顎
		 
	
術後:上顎
		 
	
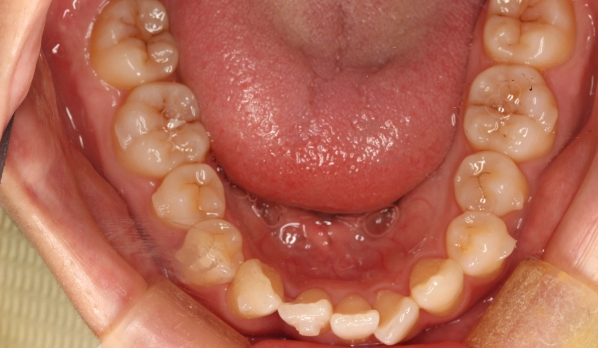
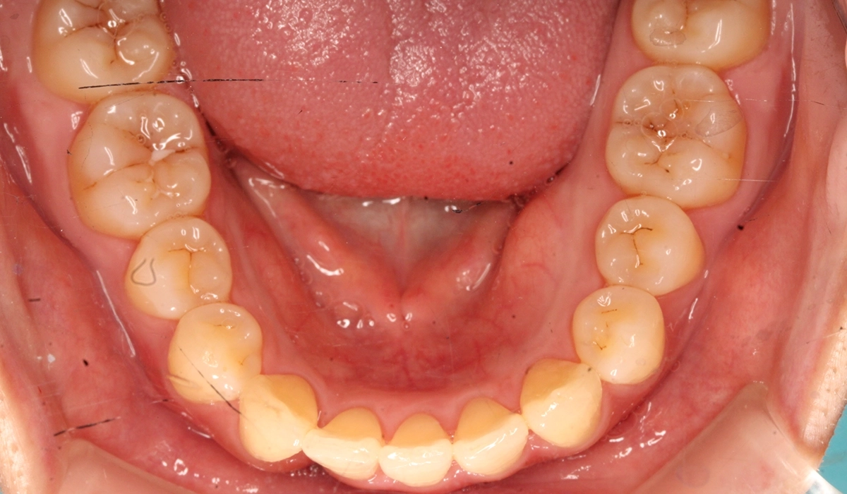
術前:下顎
		 
	
術後:下顎
		 
	
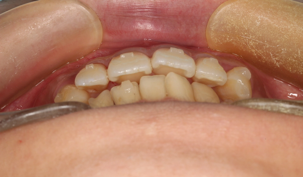
術前:前歯部
		 
	
術後:前歯部
		 
	
術前:オーバージェット
		 
	
術後:オーバージェット
		 
	
| 主訴 | 下顎の前歯のがたつきが気になる | 
|---|---|
| 治療期間 | 18カ月 | 
| 治療費用 | 990,000円(税込) | 
| 治療内容 | 下顎前歯のがたつきが気になっており、また出来るだけ目立たせずに治療したいため、インビザラインでの矯正を希望されました。検査後、Ⅰ級叢生と診断。右下2番を抜歯しスペースを確保して前歯3本仕上げをいたしました。治療期間も短く患者様も満足していただけました。 | 
| リスク・副作用 | ・協力度(装着時間、来院、顎間ゴムの使用など)が治療期間や結果に影響します。 ・事前のシミュレーションのゴールを目指し歯を移動させていく治療法ですが、歯の動きには個人差があるため確実に結果を保証するものではありません。 ・食事に時間がかかり、歯ごたえのあるものが食べにくくなります。 ・歯の移動に伴う痛みや装置による口内炎、関節音、閉口障害、頭痛、耳鳴り、筋の硬直などが生じることがあります。 ・歯の動きに伴い、歯肉退縮や歯根吸収が生じることがあります。 ・ブラックトライアングル(三角形の隙間)ができることがあります。 ・歯の動かし方によっては詰め物やかぶせ物を外す可能性があります。外した場合は矯正終了まで仮の材料を入れ、終了後に新たに作り直す必要があります。 | 
 
                       
                       
                      