2026/01/27
全体的な歯のがたつきが気になる
10代女性の矯正症例紹介
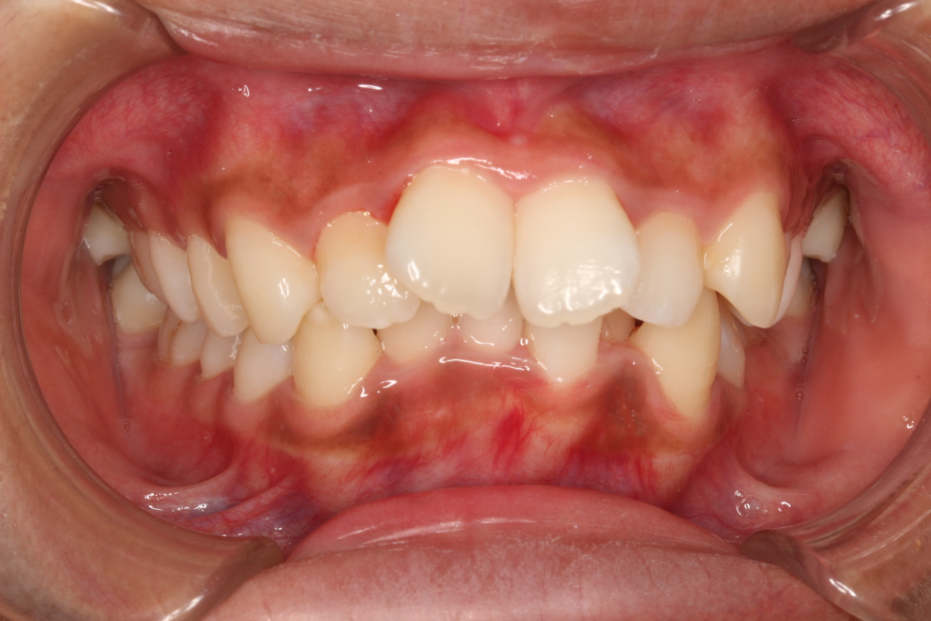
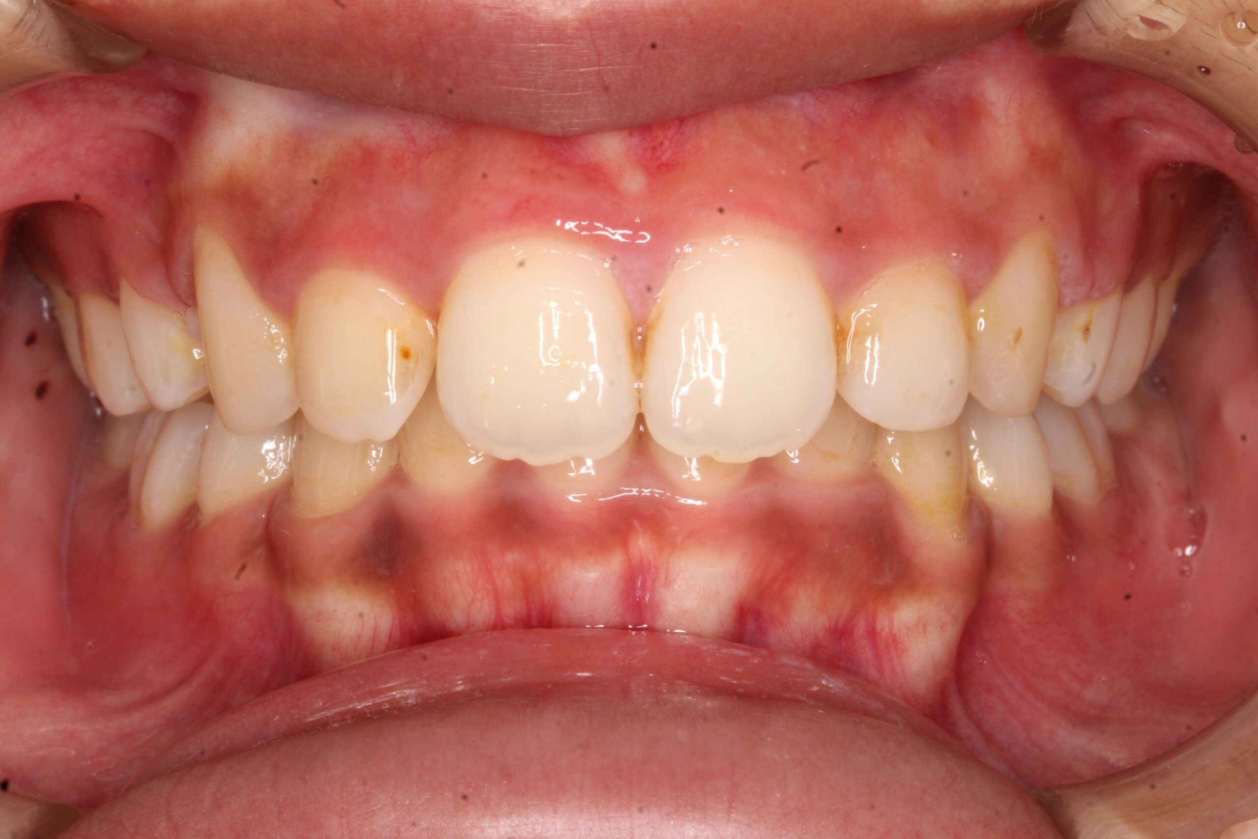
今回ご紹介する患者様は、全体的な歯のがたつきを気にされており、矯正検査後叢生Ⅰ級と診断いたしました。
矯正開始時に、上下の小臼歯を4本抜歯しております。
治療前後の比較
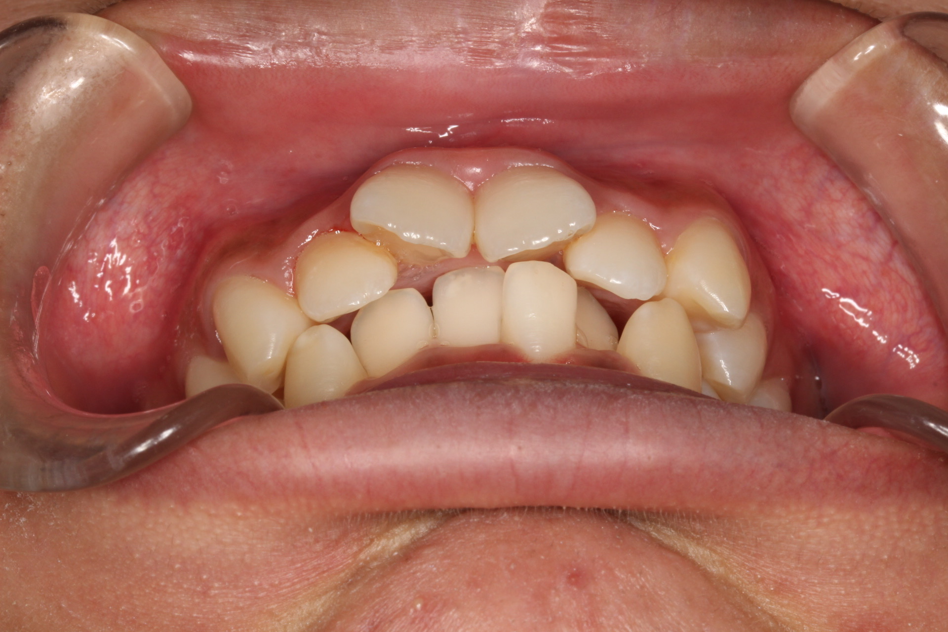
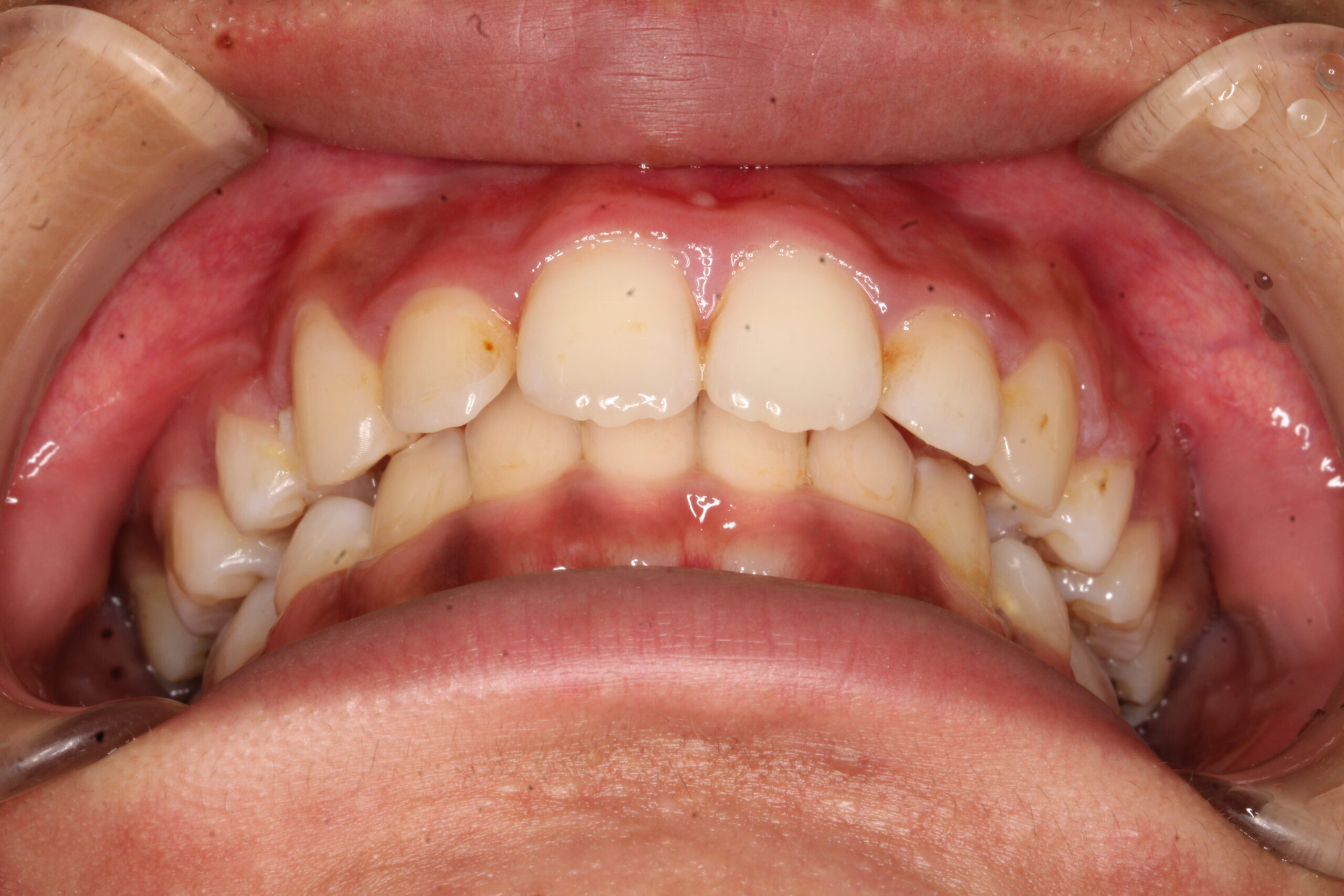
矯正術前:正面

矯正術後:正面

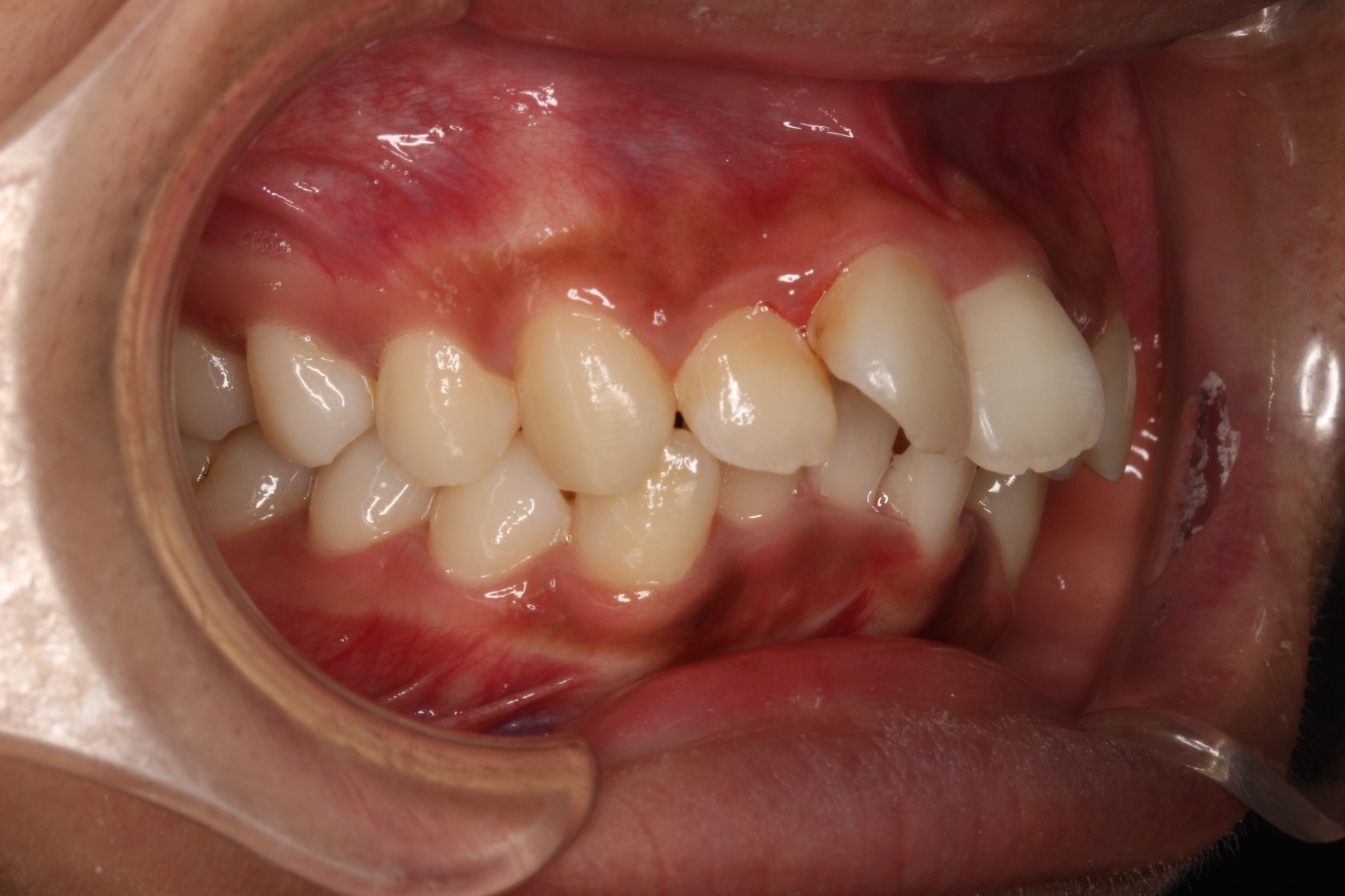
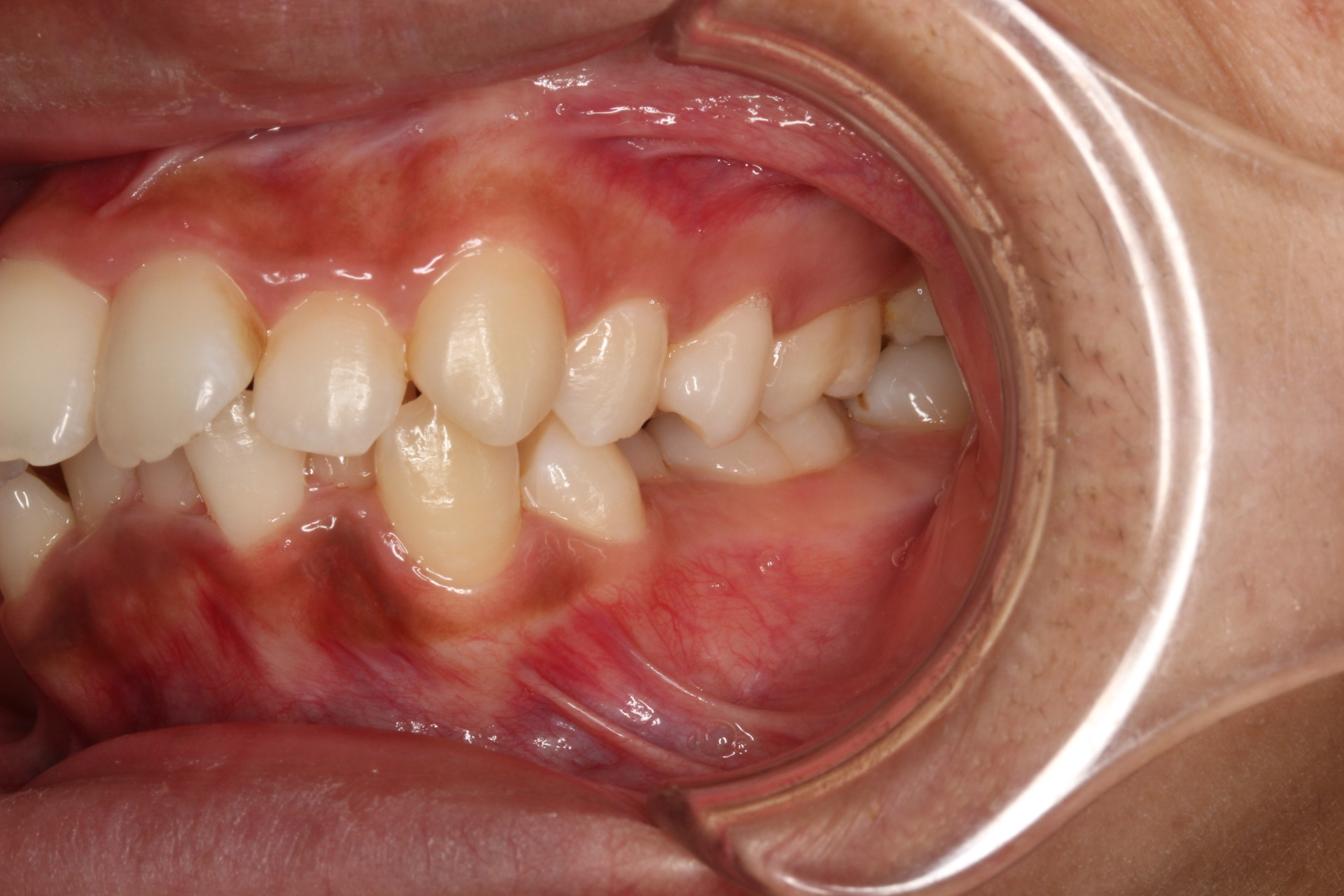
矯正術前:右側

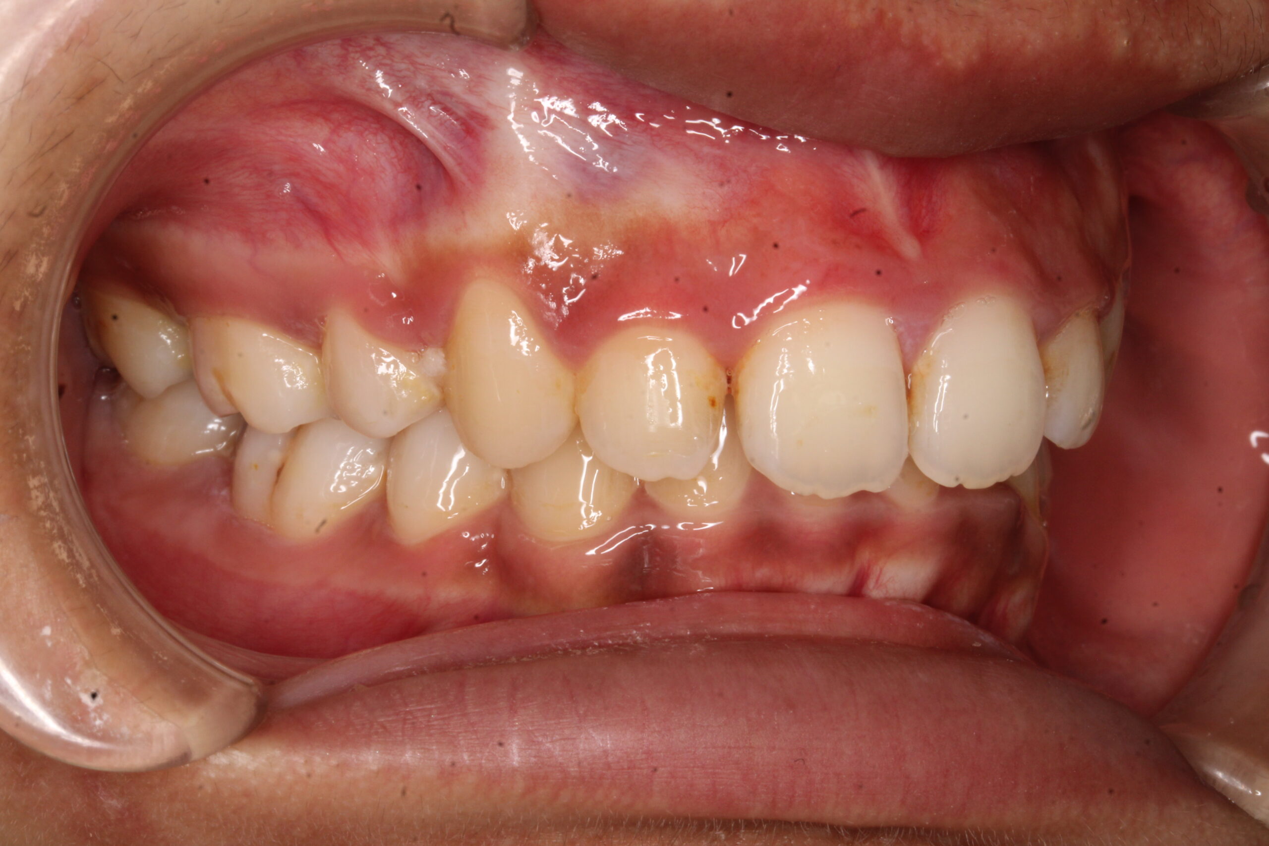
矯正術後:右側

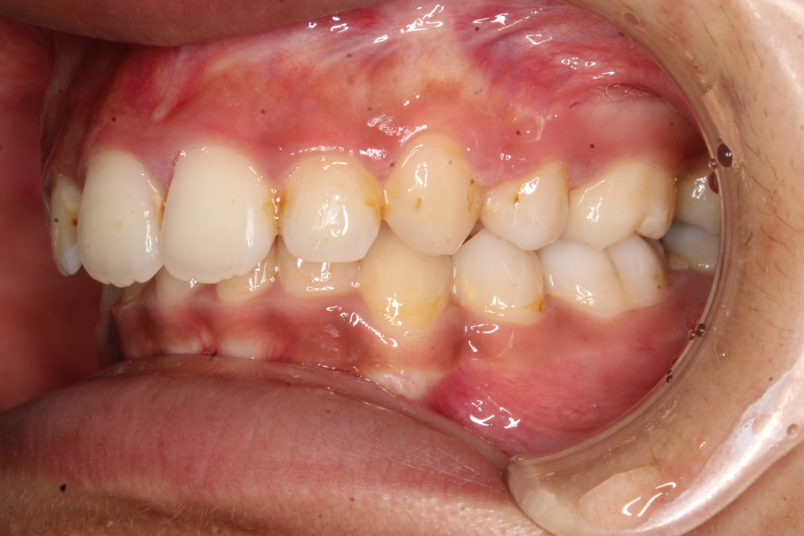
矯正術前:左側

矯正術後:左側

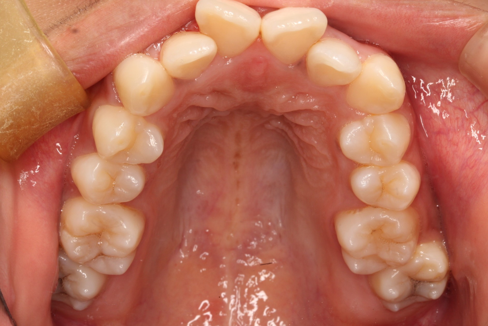
矯正術前:上顎

矯正術後:上顎

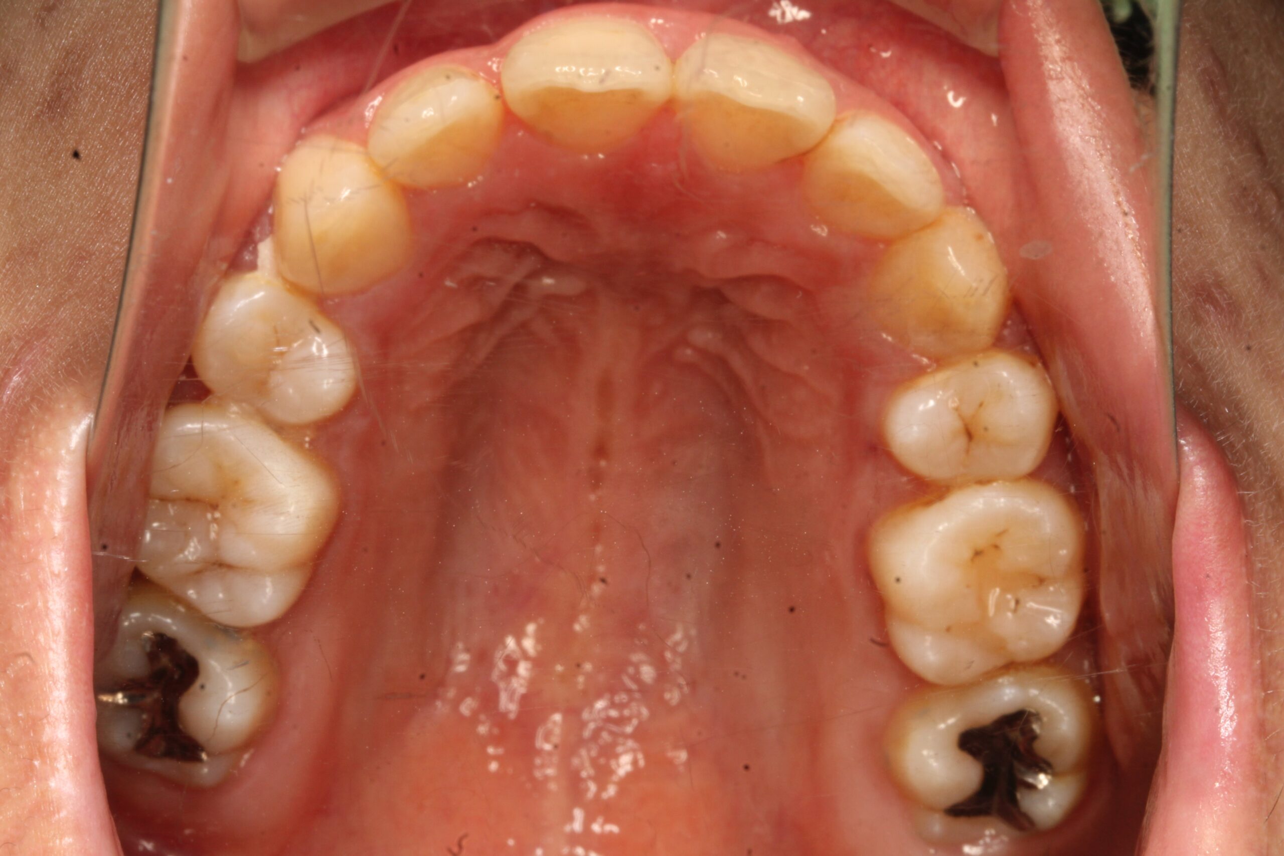
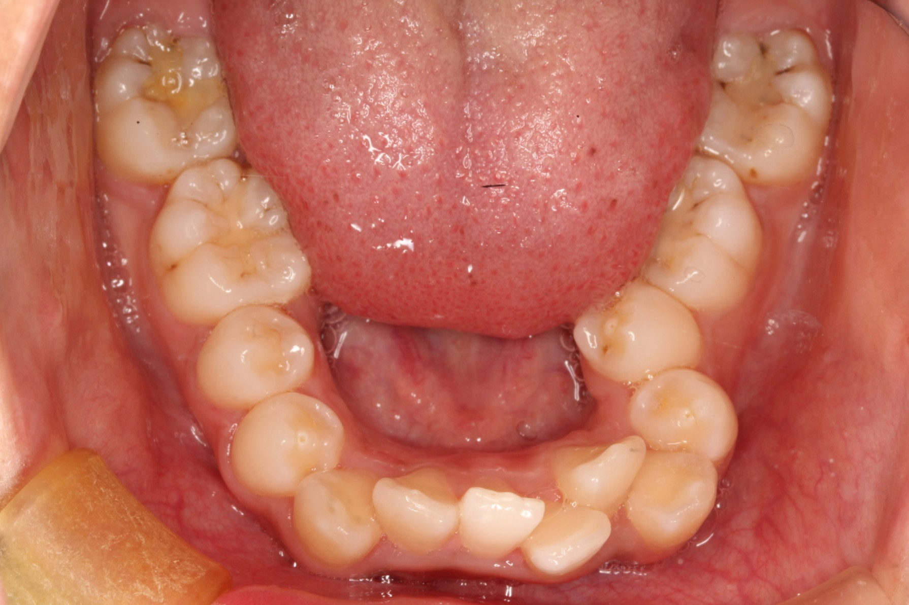
矯正術前:下顎

矯正術後:下顎

矯正術前:前歯部あおり

矯正術後:前歯部あおり

矯正術前:オーバージェット

矯正術後:オーバージェット

| 主訴 | 全体的な歯のがたつきが気になる |
|---|---|
| 治療期間 | ・ワイヤー矯正:15カ月 |
| 治療費用 | 660,000円(税込)※2021年時治療費 |
| 治療内容 | 患者様は、全体的な歯のがたつきを気にされており、矯正検査後叢生Ⅰ級と診断いたしました。矯正開始時に上下の小臼歯を4本抜歯しております。 |
| リスク・副作用 | ・矯正費用には、矯正以外の一般的な歯科治療費や親知らずの抜歯費用、開窓術などの外科的処置料(自費)は含まれません。
・矯正治療はむし歯や歯周病のリスクが高くなるため、矯正治療とは別日で、3ヵ月に1度の定期検診とメンテナンスを推奨しています。定期検診、メンテナンス日は別途保険診療での治療費がかかります。 ・協力度(来院、歯磨き、顎間ゴムの使用など)が治療期間や結果に影響を与えます。 ・協力度が低く、進捗状況が一定以上遅れてしまい、改善が難しい場合は、治療を中止させていただく場合があります。 ・矯正治療費は特別な理由がない限り、返金には対応できません。 ・矯正治療中に起こりうることの説明 ○食事に時間がかかり、歯ごたえがあるものは食べにくくなります。 ○歯の移動に伴う痛みや、装置による口内炎が生じる場合があります。 ○関節音、開口障害、頭痛、耳鳴り、筋の硬直などが生じる場合があります。 ・下記の理由にて再診断の上で治療計画を変更する場合があります。 ○矯正装置の材質によるアレルギー ○歯の癒着(歯の根と骨が癒着していて歯が動かない) ○成長に伴う顎の不調和などの理由による外科的処置が必要となった場合 ○異常習癖(指しゃぶり、歯ぎしりなど)の影響が強い場合やその他の予期せぬ理由 ・矯正治療後に起こりうることの説明 ○歯の移動に伴い、歯肉の退縮や歯根が短くなることがあります。 ○歯肉退縮によるブラックトライアングル(三角形の隙間)ができることがあります。 |