2025/10/03

歯並びのガタガタが気になる

10代女性の矯正症例紹介

今回ご紹介する患者様は、最初にBK矯正を施術後、仕上げにインビザラインで矯正をさせていただきました。その後右前歯の歯並びが気になるとご相談があり、インビザラインで矯正を再開させていただきました。

治療前後の比較

BK矯正

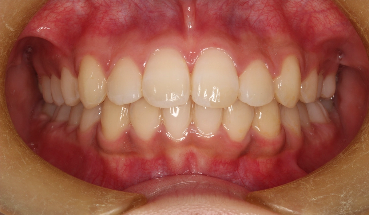
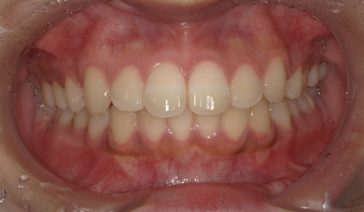
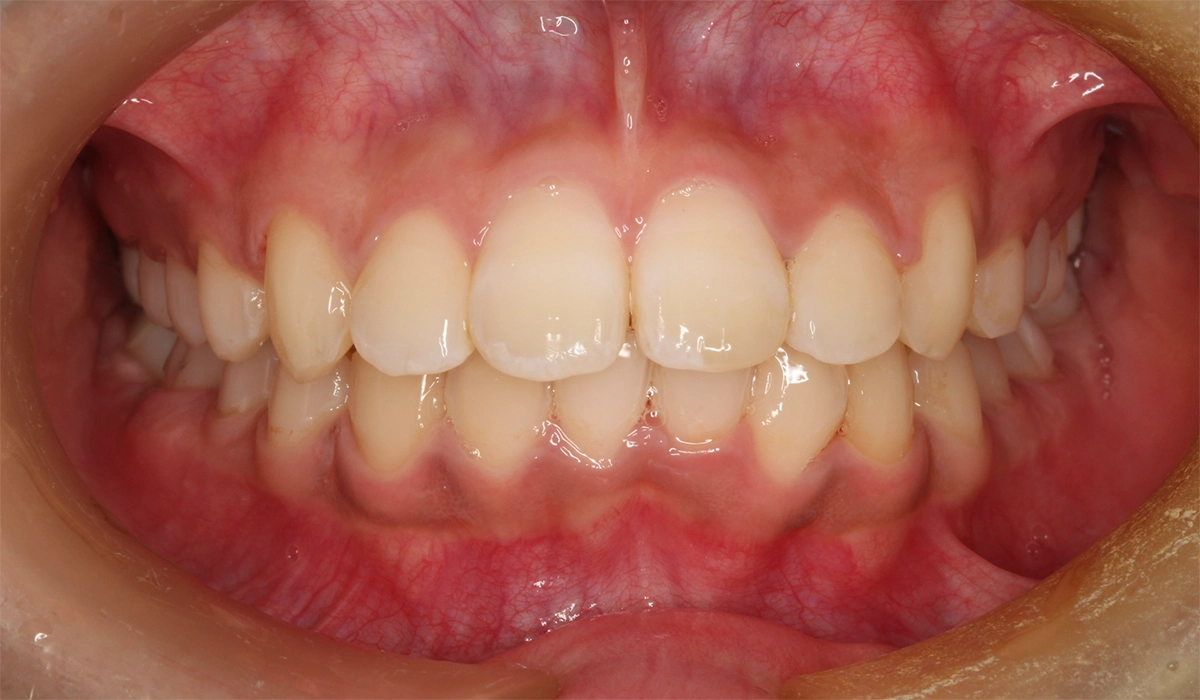
術前:正面

術前:正面

術後:正面

術後:正面

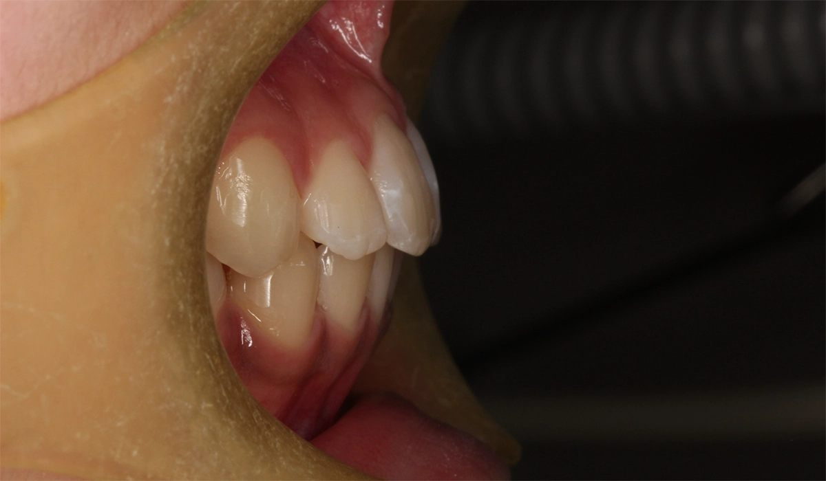
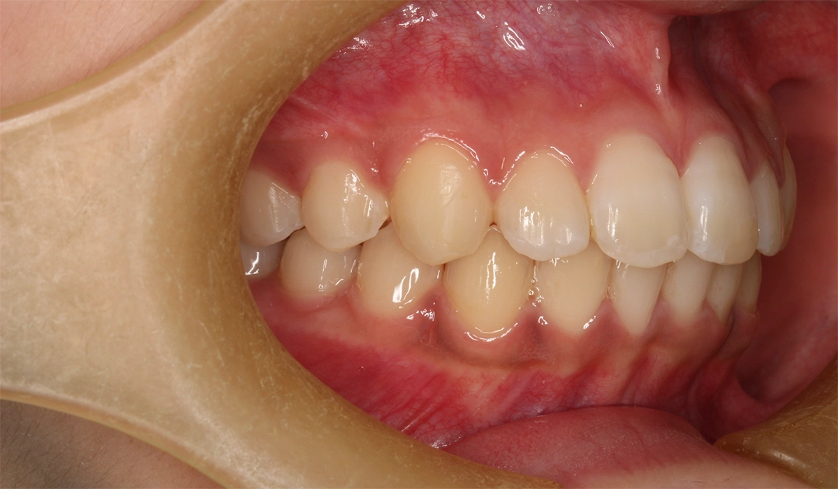
術前:右側

術前:右側

術後:右側

術後:右側

術前:左側

術前:左側

術後:左側

術後:左側

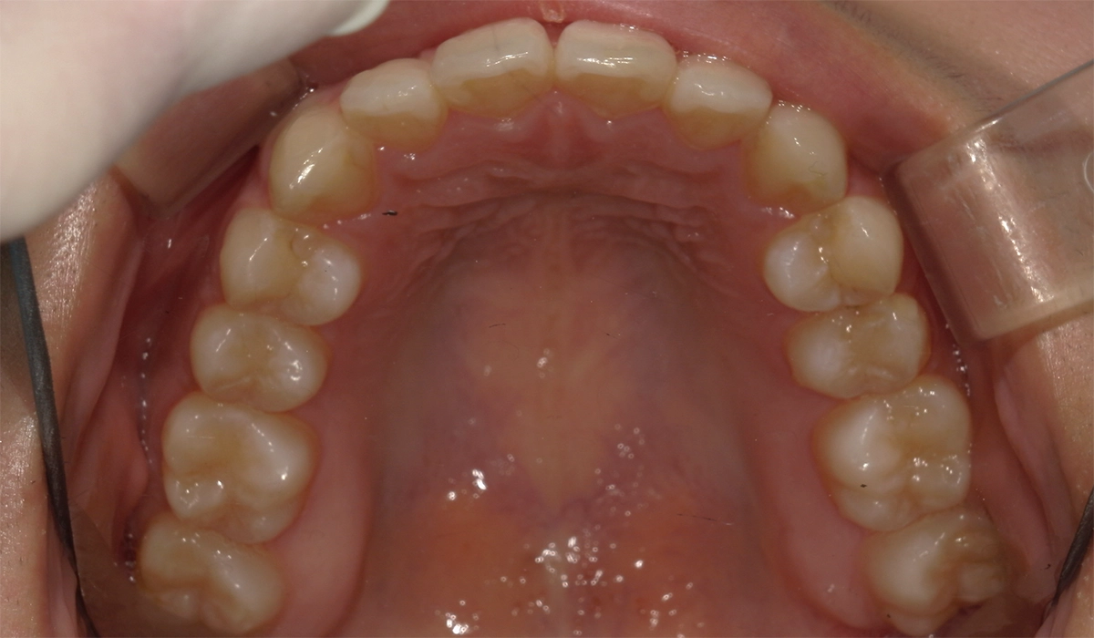
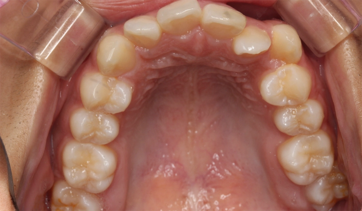
術前:上顎

術前:上顎

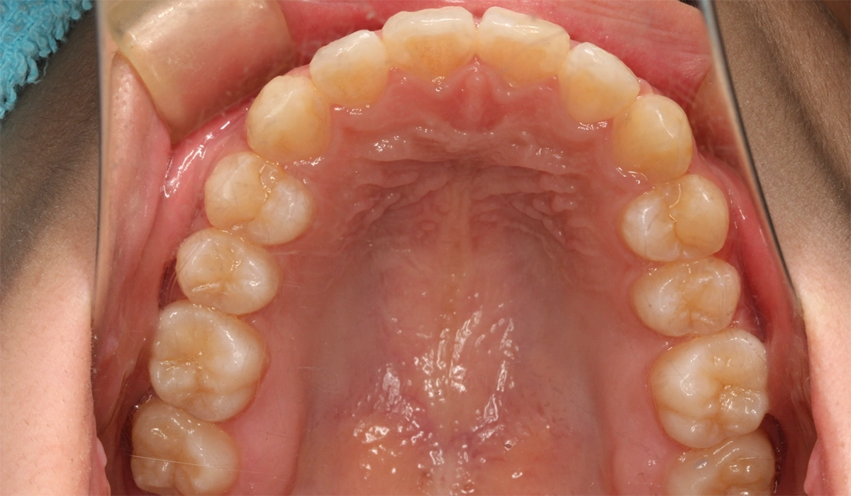
術後:上顎

術後:上顎

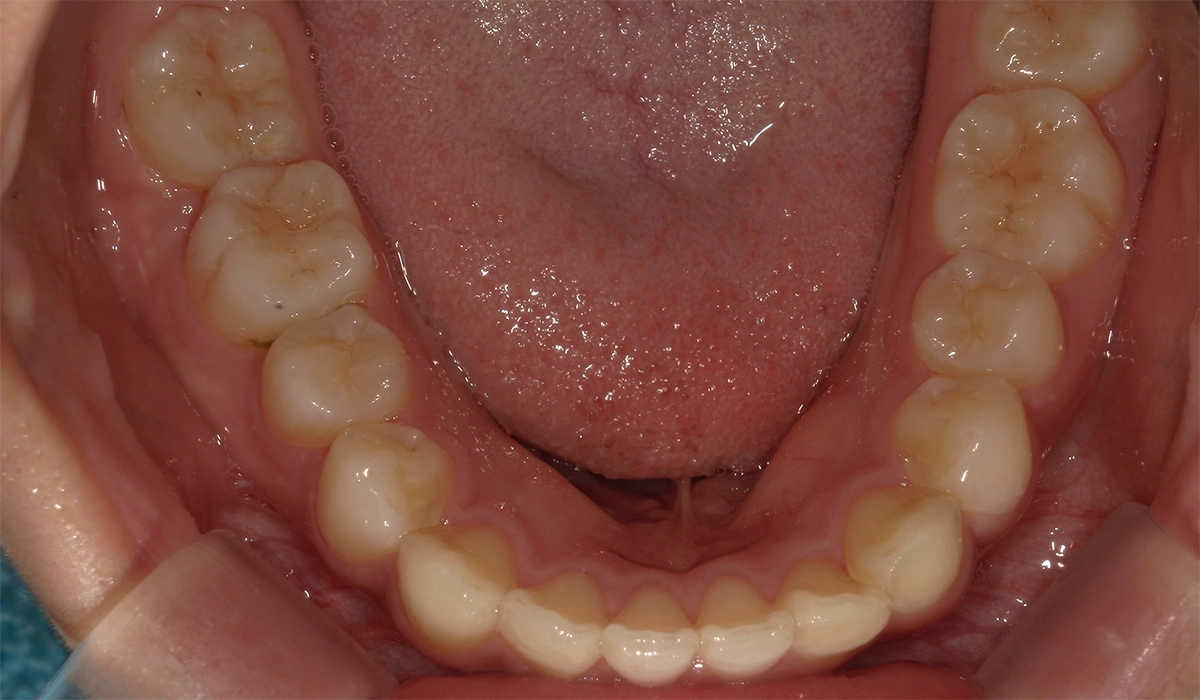
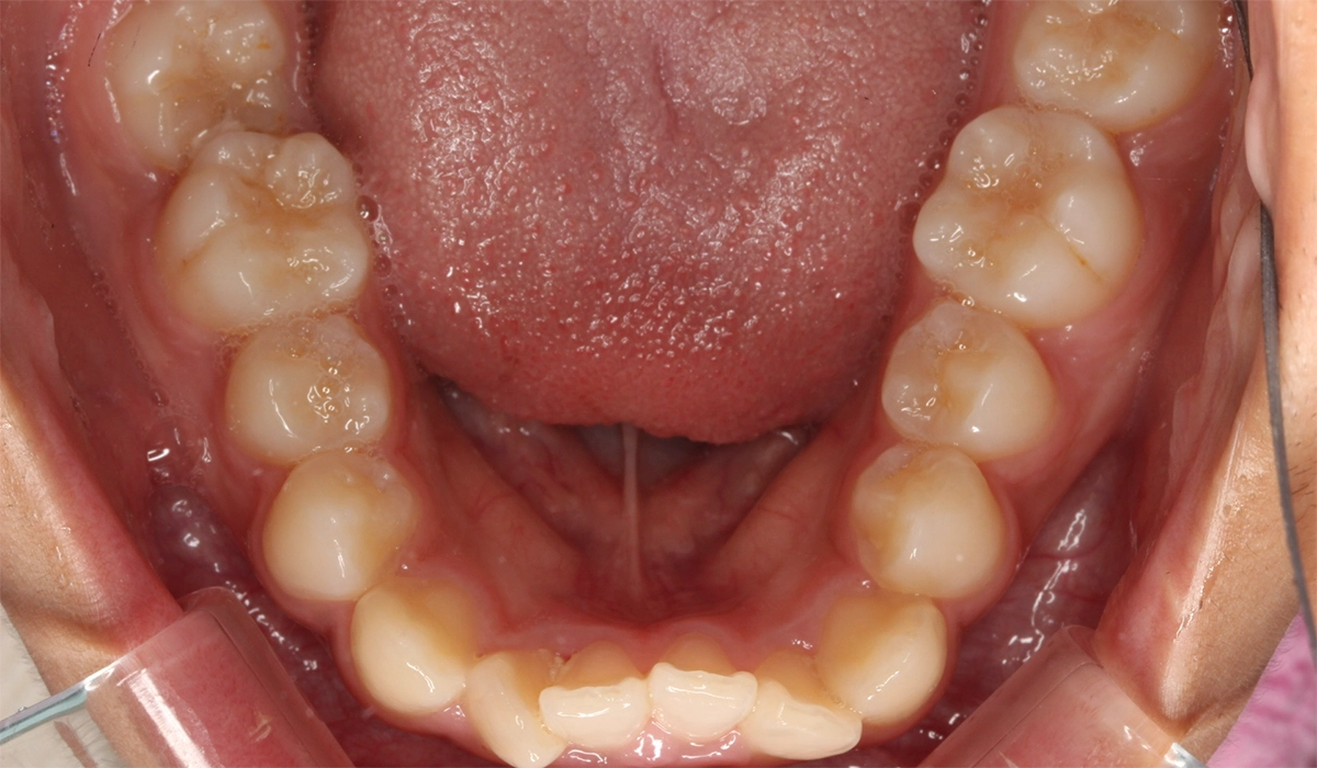
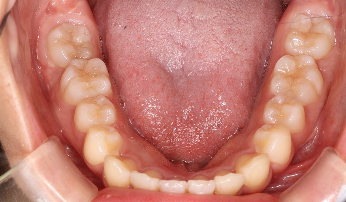
術前:下顎

術前:下顎

術後:下顎

術後:下顎

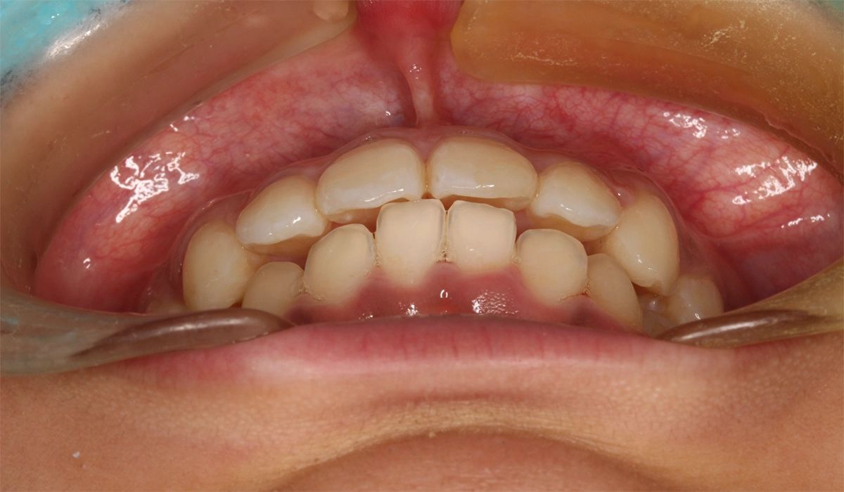
術前:前歯部あおり

術前:前歯部あおり

術後:前歯部あおり

術後:前歯部あおり

術前:オーバージェット

術前:オーバージェット

術後:オーバージェット

術後:オーバージェット

インビザライン(仕上げ)

術後:正面

術後:正面

術後:右側

術後:右側

術後:左側

術後:左側

術後:上顎

術後:上顎

術後:下顎

術後:下顎

術後:前歯部あおり

術後:前歯部あおり

術後:オーバージェット

術後:オーバージェット

インビザライン(再矯正)

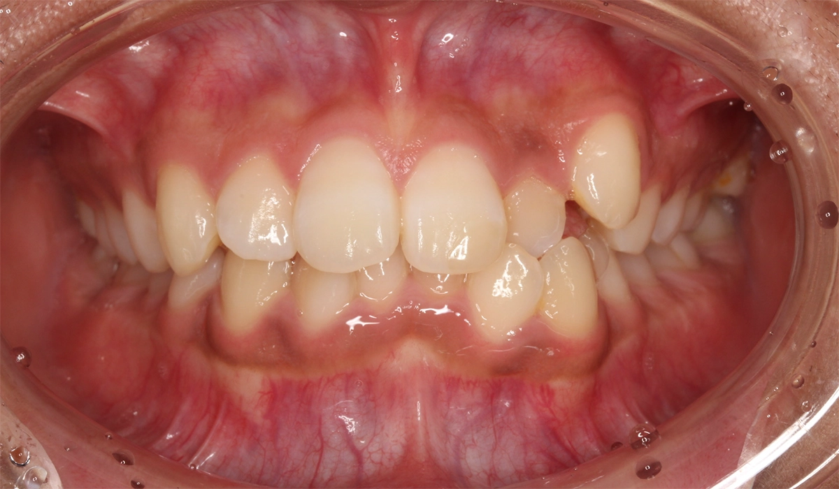
術前:正面

術前:正面

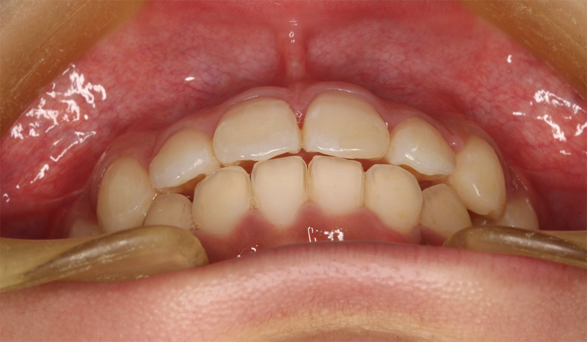
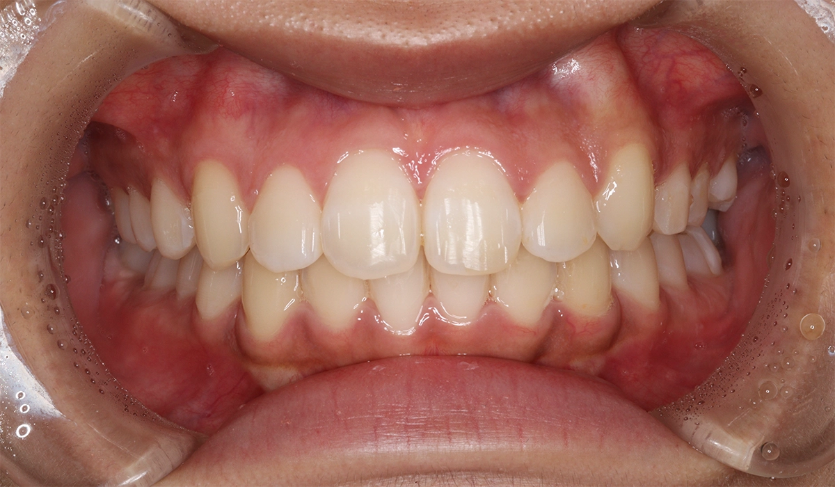
術後:正面

術後:正面

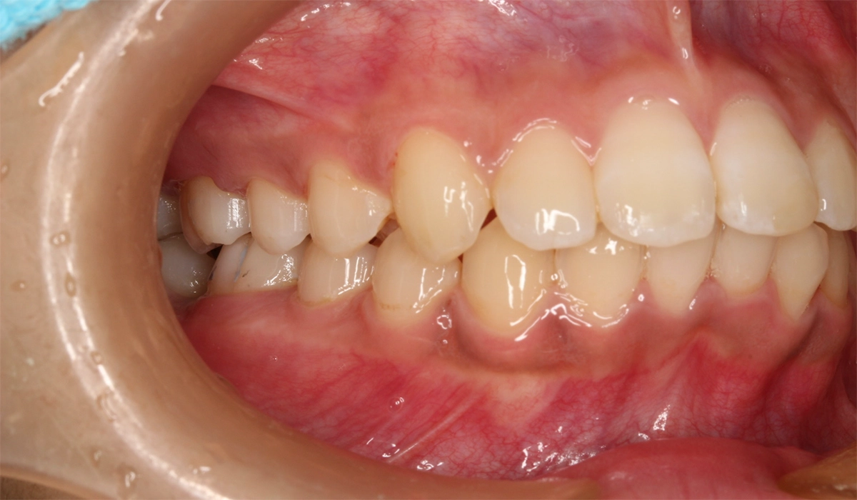
術前:右側

術前:右側

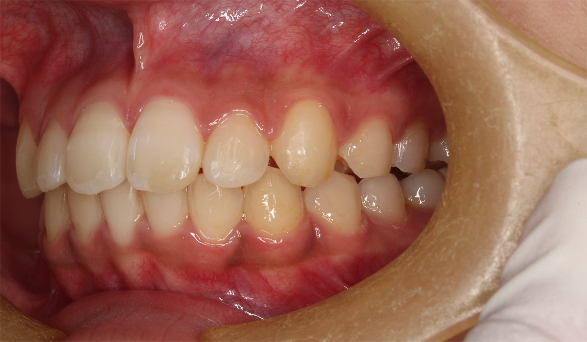
術後:右側

術後:右側

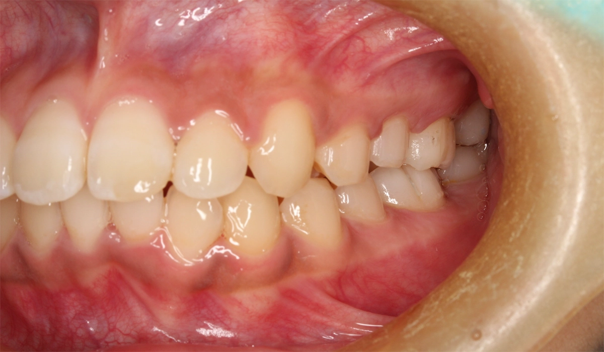
術前:左側

術前:左側

術後:左側

術後:左側

術前:上顎

術前:上顎

術後:上顎

術後:上顎

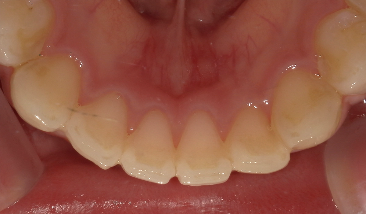
術前:下顎

術前:下顎

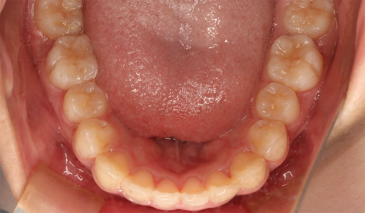
術後:下顎

術後:下顎

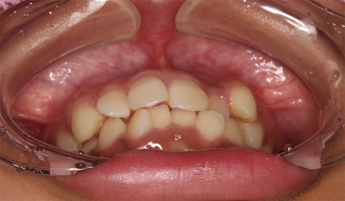
術前:上前歯部寄り

術前:上前歯部寄り

術後:前歯部あおり

術後:前歯部あおり

術前:下前歯部寄り

術前:下前歯部寄り

術後:オーバージェット

術後:オーバージェット

主訴 歯並びのガタガタが気になる
治療期間 ・BK矯正:8カ月
・インビザライン(仕上げ):5カ月
・インビザライン(再矯正):5カ月
治療費用 880,000円(税込)
※矯正開始時(再矯正時追加支払いなし)
治療内容 BK矯正、インビザラインで仕上げ矯正後、右前歯の歯並びを気にされており、インビザラインで矯正を再開させていただきました。
リスク・副作用 ・協力度(装着時間、来院、顎間ゴムの使用など)が治療機関や結果に影響します。
・事前のシミュレーションのゴールを目指し歯を移動させていく治療法ですが、歯の動きには個人差があるため確実に結果を保証するものではありません。
・食事に時間がかかり、歯ごたえのあるものが食べにくくなります。
・歯の移動に伴う痛みや装置による口内炎、関節音、閉口障害、頭痛、耳鳴り、筋の硬直などが生じることがあります。
・歯の動きに伴い、歯肉退縮や歯根吸収が生じることがあります。
・ブラックトライアングル(三角形の隙間)ができることがあります。
・歯の動かし方によっては詰め物やかぶせ物を外す可能性があります。外した場合は矯正終了まで仮の材料を入れ、終了後に新たに作り直す必要があります。

関連記事一覧