こども(小児)矯正

LINE無料矯正相談 受付中

無料相談はLINEで完結!
日本小児矯正研究会指導医の経験豊富な院長が回答
LINE無料矯正相談
無料相談はLINEで完結!
日本小児矯正研究会指導医の
経験豊富な院長が回答

お口の写真を送るだけ!

※奥歯でしっかり噛んで正面から上下の前歯が写るように撮影

気になるところを撮影して写真をLINEで送っていただければ院長が画像を確認して、矯正治療が本当に必要かどうか、適切な開始時期・治療方法・期間・費用の目安などについて回答いたします。

※LINE矯正相談は横浜市近隣にお住まいの方限定となります

LINE矯正相談はこちら

精密検査ご予約はこちら

お子さまのお口を診察・検査し、その結果をもとに詳しく分析して問題点を特定し、最適な解決策をご提案いたします。 検査診断費用:22,000円
※診断分析には2週間程度期間がかかります。
※当院で矯正治療を開始される場合は
検査診断費用は矯正治療費総額から割引いたします。

24時間受付精密検査WEB予約はこちら

三ツ境駅前スマイル歯科の
こども(小児)矯正について

三ツ境駅前スマイル歯科のこども(小児)矯正について
きれいな歯並びのための土台作りを早期から始めます

三ツ境駅前スマイル歯科で行っているこども(小児)矯正は、バイオセラピー(生物学的機能療法)とメカニカルセラピー(装置による治療)という2つを組み合わせることによって美しい顔を目指す治療です。お口の機能を改善し、歯がきれいに並ぶことができる環境を作ることで、お顔立ちも整えることができます。
当院では、日本小児矯正研究会指導医※の院長を中心として、お子さま一人ひとりの成長に合わせた専門的で丁寧な矯正治療を行っています。
美しい歯並びは、見た目を改善するだけでなく、歯周病やむし歯のリスクも低く抑えることができ、生涯にわたってお子さまのお口の健康を守ることができる可能性があります。

※:日本小児矯正研究会指導医は、日本小児矯正研究会が独自に定めた基準により認定された資格です。

このような場合は
ご相談ください

  • 子どもの歯並びが気になる
  • 歯が出っ歯で気になる
  • 歯が重なっている気がする
  • 歯の生え変わりが遅い気がする
  • 噛み合わせが悪い気がする
  • 矯正はいつ始めるべきか不明
  • 顎がズレている感じがする
  • 子どもの歯が生えてくるのが心配
  • 叢生(そうせい)

    叢生(そうせい)

    歯が重なり合ったり、ねじれたり、凸凹になりバラバラになっている状態。

  • 空隙歯列(すきっ歯)

    空隙歯列(すきっ歯)

    歯と歯の間に隙間ができてしまっている状態。

  • 下顎前突(受け口)

    下顎前突(受け口)

    上の前歯より下の前歯が前方に出てしまっている状態。

  • 開咬

    開咬

    奥歯は噛み合わさっているが、前歯が噛み合わさっていない状態。

  • 過蓋咬合

    過蓋咬合

    上下の前歯の重なり度合いが通常よりも大きすぎる状態。

  • 上顎前突(出っ歯)

    上顎前突(出っ歯)

    上の前歯が下の前歯より、前方に突き出しすぎている状態。

子どもの頃に
矯正治療を行うメリット
  • 顔立ちが整い印象が良くなる
  • 抜歯が必要になる可能性が低い
  • 鼻呼吸を獲得し免疫力や集中力が向上する
  • 後戻りが少ない
  • 噛み合わせがよくなる
  • 咀嚼効率が上がって胃腸の負担が軽減される
  • 運動能力が向上する可能性がある
  • 治療費が安く済むことが多い

*参考論文:実験的口呼吸が作業能率に及ぼす影響について(九州歯科大学2014岩鍋 光希子) *呼吸様式が認知機能に与える影響について(神奈川歯科大学)

  • 小さなこどもを診療
    8歳以上で自然に歯ならびが
    よくなることはありません

    歯が並ぶかどうかは、アゴの骨の成長の問題であり、アゴの骨の成長は8歳でほとんどが終わってしまいます。「まだ成長途中だから、そのうちキレイに並ぶのでは…」そう思っていた多くのご家族が10歳頃から慌てて治療するケースも多いです。

  • こどもが矯正器具を装着
    10歳以降だと治療にかかる期間と
    費用が大きくなります

    もう少し大きくなってから矯正治療しよう、とすると矯正費用が100万円以上かかるケースもあります。また、矯正治療の期間も2倍近くになり、お子さまにとっても大きなストレスとなってしまいます。
    また、10歳以降の本格矯正では、4〜6割のお子さまが永久歯を抜歯する必要があるとも言われており、抜歯のリスクが高まるほか、見た目が目立つ金属ワイヤーによる痛みや負担が増えることもあります。
    そのため、できるだけ早めに矯正治療を検討することが大切です。

歯科医師が口腔内を検査

小児矯正は
「どこで受けても同じ」ではありません。

成長段階にあるお子さまの矯正では、ドクターの経験値と技術力が特に重要です。
治療計画の立て方によって、歯並びの美しさはもちろん、顎の成長や将来の噛み合わせにも大きな差が生まれます。
当院には、他院の矯正治療を指導するレベルのドクターが在籍。これまでの1,000件以上の矯正実績(小児・成人を含む)をもとに、お子さまに最適な治療プランをご提案します。

三ツ境駅前スマイル歯科の
こども(小児)矯正の強み

  1. 院長が矯正計画を策定
    強み1

    日本小児矯正研究会指導医の院長が診
    断・治療計画の立案を行います

    日本小児矯正研究会が認定する、小児矯正歯科治療に関する豊富な知識と経験を持ち、他の歯科医師を指導するレベルの医師に与えられる資格です。

    当院では、たしかな実績と経験がある院長が中心となって、お口やお身体の発育状態、歯ならびや噛み合わせをしっかりと診断し、納得のいくご説明をします。

    日本小児矯正研究会指導医としての
    取り組み
    日本小児矯正研究会指導医として学会発表
    三ツ境駅前スマイル歯科 院長 樋田 秀一

    日本小児歯科学会において、5年連続で症例発表を行っております。「演題カテゴリー:顎顔面・頭蓋の発育、歯列および咬合の発育」部門にて、小児口腔育成と歯列矯正をテーマに毎年継続的に症例報告や学会発表を重ね、小児矯正の普及と若手歯科医師の育成にも積極的に取り組んでおります。

  2. こどもに矯正治療を説明
    強み 2

    お子さまの年齢や発達段階に応じた
    最適な矯正治療をご提案します

    お子さまの歯の生え方やアゴの成長には個人差があり、同じ年齢でも状況は大きく異なります。
    そのため、「そのお子さまに合ったタイミング」で治療を始めることがとても大切です。

    三ツ境駅前スマイル歯科では、これまでの豊富な症例経験を活かし、装置を使わないトレーニングからマウスピース型の装置まで、幅広い治療方法に対応しています。

    「どの治療が合っているのか」「今から始めるべきか」について丁寧に診断し、年齢や発達段階に応じた最適な治療をご提案します。

    安心して始められる
    こども(小児)矯正
    様々なタイプの小児矯正治療に対応可能

    身体の機能に働きかけるトレーニングから、
    装置による治療まで様々な治療のご提案が可能です。

    お子さまに合った最適な治療法を選択できる

    お口やお身体の発育状態、歯ならびや噛み合わせをしっかりと診断し、「できる限り歯を抜かずに・痛みを少なく・早く・子供が楽しくできる矯正治療」を提供します。

三ツ境駅前スマイル歯科の院長

ママとこどものはいしゃさん※に加盟
全国の加盟医院 約300院の中でも豊富な矯正件数
の実績があります。

※全国の「小児歯科・矯正」「審美歯科」「予防歯科」が得意な歯科医院
が加盟しているグループです。

豊富な実績・経験がある医院です

大人から子どもまで豊富な矯正治療実績がございます。
横浜市近隣で矯正治療を検討中の方は、当院までお気軽にご相談ください。

矯正治療実績1,238件
年度 矯正数(総数) 成人矯正数 小児矯正数
1,238 435 803
2010 7 2 5
2011 10 3 7
2012 14 5 9
2013 18 7 11
2014 22 9 13
2015 46 11 35
2016 47 13 34
2017 58 15 43
2018 70 18 52
2019 84 21 63
2020 100 29 71
2021 118 35 83
2022 137 43 94
2023 156 51 105
2024 188 70 118
2025 163 55 108

国内でも数少ない

インビザライン・
ダイヤモンド
プロバイダー認定

インビザライン年間症例数150例以上

インビザラインには、年間症例数に応じて付与される世界共通のプロバイダーステータスがあります。 当院が認定されている「ダイヤモンド・プロバイダー」は、年間150症例以上の実績を持つ医院に送られる国内でも数少ないステータスです。

ダイヤモンドプロバイダー認定

インビザライン矯正は、医師がいかに多くのパターンを経験し、シミュレーションの精度を高められるかが重要です。当院では豊富な症例経験をもとに、一人ひとりに合わせた「予測実現性の高い治療計画」を立案し、理想の歯並びをご提案します。

三ツ境駅前スマイル歯科の
こども(小児)矯正治療症例

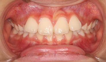
  • Case1

    上の前歯が出ているのが気になる

    Before
    After
    年齢
    10代男性
    治療期間・回数
    約7カ月間、6回
    費用
    総額660,000円(税込み)
    (検査・診断・矯正器具費用・管理費・通院費全て含む) ※自由診療となります。
    リスク・副作用
    成長や装置使用状況により治療計画が変更となる場合があります。保定装置は破損・変形で再製作が必要となり、追加矯正や費用が発生する可能性もあります。
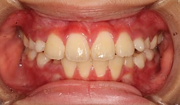
  • Case2

    上下の噛み合わせが悪い

    Before
    After
    年齢
    10代男性
    治療期間・回数
    約7カ月間、6回
    費用
    総額660,000円(税込み)
    (検査・診断・矯正器具費用・管理費・通院費全て含む) ※自由診療となります。
    リスク・副作用
    成長や装置使用状況により治療計画が変更となる場合があります。保定装置は破損・変形で再製作が必要となり、追加矯正や費用が発生する可能性もあります。
  • Case3

    下の歯並びの
    がたつきが気になる

    Before
    After
    年齢
    10代女性
    治療期間・回数
    約4カ月間、4回
    費用
    総額660,000円(税込み)
    (検査・診断・矯正器具費用・管理費・通院費全て含む) ※自由診療となります。
    リスク・副作用
    成長や装置使用状況により治療計画が変更となる場合があります。保定装置は破損・変形で再製作が必要となり、追加矯正や費用が発生する可能性もあります。
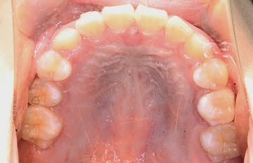
  • Case4

    全体的な歯並びの
    ガタツキが気になる

    Before
    After
    年齢
    10代女性
    治療期間・回数
    約8カ月間、8回
    費用
    総額660,000円(税込み)
    (検査・診断・矯正器具費用・管理費・通院費全て含む) ※自由診療となります。
    リスク・副作用
    成長や装置使用状況により治療計画が変更となる場合があります。保定装置は破損・変形で再製作が必要となり、追加矯正や費用が発生する可能性もあります。
矯正治療の症例をもっと見る
歯科検診でお手紙をもらった方へ

歯科検診で
お手紙をもらった方へ

2024年6月以降、学校歯科健診で「歯列・咬合の異常」と指摘された場合、矯正歯科の初回相談と検査診断が保険適用で受けられるようになりました。

まずは一度ご相談ください。

LINEで相談する

LINE無料矯正相談 受付中

無料相談はLINEで完結!
日本小児矯正研究会指導医の経験豊富な院長が回答
LINE無料矯正相談
無料相談はLINEで完結!
日本小児矯正研究会指導医の
経験豊富な院長が回答

お口の写真を送るだけ!

※奥歯でしっかり噛んで正面から上下の前歯が写るように撮影

気になるところを撮影して写真をLINEで送っていただければ院長が画像を確認して、矯正治療が本当に必要かどうか、適切な開始時期・治療方法・期間・費用の目安などについて回答いたします。

※LINE矯正相談は横浜市近隣にお住まいの方限定となります

LINE矯正相談はこちら

オンライン相談にも
対応しています

事前にお送りいただいたお口元のお写真をもとに、矯正治療の必要性の有無や、適切な治療方法・期間・費用についてビデオ通話でご説明します。(相談無料)当日は保護者様のみの参加で問題ございません。

こんな方におすすめです
  • お子さまの歯並びや噛み合わせが気になるけれど、受診を迷っている方
  • まずはご自宅で話を聞いてみたい方
  • 小さなお子さま連れや多忙で通院が難しい方
オンラインでの矯正相談

オンライン相談の流れ

簡単3ステップ
  1. LINEでオンライン相談を予約 1 LINEでご希望の日時を予約
  2. 口腔内の写真を撮影 2 事前にお口の写真を送信
  3. ビデオ通話で矯正治療について説明 3 予約時間にビデオ通話で相談

LINEから予約いただけます

オンライン矯正相談 予約
クリニックの女性スタッフの笑顔

こども(小児)矯正治療の流れ

  1. Step1 不正歯列の発見

    Step1不正歯列の発見

    「歯並びがおかしいな」と思ったら、なるべく早くご相談ください。定期検診で当院に通っている方は、歯科医師の判断で治療をご案内することもあります。
    こども矯正にはタイムリミットがあります。早くから矯正治療に取り組むことで選択肢が広がり、治療費を安く抑えることもできます。ご相談に来ていただいたら、まずはお口の中の診察と検査を行って問題点を探り解決策を考えていきます。
    矯正相談はLINEやオンラインでも承っております。「小さなお子さんを連れての来院が難しい」「まずは話を聞いてみたい」という方はぜひご活用ください。

  2. Step2 悪習癖の改善・食育

    Step2悪習癖の改善・食育

    頬杖やうつ伏せ寝、お口ポカンなどの悪習癖がある場合は、まずそれを治すところから始めます。お口がポカンと開いてしまう癖は、歯並びやむし歯のなりやすさに悪影響を与えるので、見つけたら注意してあげましょう。前歯でしっかり噛む、食事中は水をなるべく飲まないなど、食生活についても指導します。

  3. Step3 機能療法(バイオセラピー)

    Step3機能療法(バイオセラピー)

    お子様のお口の状態に合わせ、トレーニングを行ったり、装置を装着したりしてお口の周りの機能改善を目指します。悪癖を取り除くことで歯並びを悪化させる要素が解消され、バランスの取れたお口を目指すことができます。

  4. Step4 装置を使った治療(メカニカルセラピー)

    Step4装置を使った治療
    (メカニカルセラピー)

    床矯正・マウスピース矯正・ブラケット(ワイヤー)矯正などの装置を用いて顎や歯の位置を整え、きれいな歯並びへ導く治療です。
    初期には取り外しのできる床矯正装置を使用し、顎の幅を広げて歯が並ぶためのスペースを確保します。床装置は毎日14時間以上の装着が必要ですが、学校にいる間や食事・歯磨きの際は外すことができ、生活に合わせて使用が可能です。
    床矯正で顎のスペースを広げても、歯が自然に理想の位置に並ばない場合や、前歯が閉じない場合には、マウスピース矯正やブラケット(ワイヤー)矯正を組み合わせて歯並びを整えることもあります。また、矯正後にわずかな後戻りが起きた際には、一般矯正とは異なり歯の微調整にとどまるため、再使用の期間は比較的短く済むことが多いです。

院内の受付台

こども(小児)矯正の
主な治療方法

様々なタイプの小児矯正治療に
対応しています

当院で行うこども(小児)矯正はバイオセラピーとメカニカルセラピーを併用しています。身体の機能に働きかけるトレーニングから、装置による治療まで成長や口腔状況に応じて適切な治療法のご提案が可能です。治療中は歯科医師をはじめ歯科衛生士など専門のスタッフがサポートいたしますので、ご安心ください。

  • バイオセラピー

    矯正器具(マイオブレース)
    -プレオルソ        
    -MFTトレーニング(口腔筋機能療法)

    バイオセラピーとは、身体の機能を整えることで成長の方向を修正するためのトレーニングです。患者様のお身体の機能に働きかけ、お口の機能や成長方向を修正します。
    本来進むべき方向に成長を導いてあげることで、良い歯並びや綺麗な顔立ちを目指すことができます。お口の機能を改善するために、お口の体操や、器具(マイオブレース、プレオルソ等)を使ったトレーニング(MFTトレーニング(口腔筋機能療法))を行います。歯科医院で指導を行い、 ご自宅で毎日取り組んでいただきます。

  • メカニカルセラピー

    こどもが矯正器具を装着

    メカニカルセラピーとは、装置を使用して機械的に歯が並ぶスペースを確保するための治療です。悪習癖の改善やお口周りのトレーニングなどで治療が完了しない場合、バイオセラピーと並行して行うことで、より高い効果を発揮します。床装置を利用する場合は取り外しのできるオーダーメイドの装置を作製し、決まった時間お口の中に入れていただき、歯科医師の指示通り保護者の方に装置のネジを巻いていただくことで、歯列が拡大していきます。

    • 床矯正
      床矯正

      床矯正とは、取り外しのできる特殊な装置と日々のトレーニングによってお口のスペースを広げ、悪習癖を改善することによって、永久歯が綺麗に並ぶよう導く矯正治療の方法です。
      取り外し可能な装置を使うため、学校へ行くときなどは外しておくことができ、見た目も気になりません。歯並びの状態によっては、一般的な矯正治療で使用するブラケットを使うこともありますが、使用期間は一般矯正に比べて短くなることがほとんどです。
      また、お口の悪習癖を取り除くことで鼻呼吸を獲得し、免疫力や集中力の向上など全身にも良い影響があり、悪い歯並びに戻ってしまう後戻りもほとんどない、などのメリットもあります。

    • マウスピース矯正
      マウスピース矯正

      マウスピース矯正とは、目立ちにくい透明なマウスピースを使った矯正法です。食事や歯みがきの際には取り外せるため、お子さまの負担が少なく日常生活を気にせず治療が進められます。
      代表的な方法であるインビザライン・ファーストは、成長期のお子さま向けに開発されたマウスピース矯正で、軽度な歯並びの乱れを早期に改善し、成長に合わせた治療が可能です。

      当院は年間150症例以上の
      インビザライン治療実績を有する
      「ダイヤモンド・プロバイダー」に
      認定されています。
    • ブラケット(ワイヤー)装置
      ブラケット(ワイヤー)装置

      マウスピース型の装置や床矯正などで治療が完了しなかった場合には、一般矯正で使用するようなブラケット装置を使うこともあります。歯にブラケットと呼ばれるボタンのような装置を付け、ワイヤーでつなぐことで、歯が並ぶスペースを維持しながら歯並びを整えます。

      後戻りのお口の中は痛みを感じにくいため、違和感は一般矯正よりも少なく、装置を使用する期間も短くすみます。

三ツ境駅前スマイル歯科の子供用待合室

こども(小児)矯正の費用

精密検査・説明 ¥22,000
※検査費用は契約総額に充当されます ※学校検診で歯並びの指摘を受けた場合は、矯正検査が保険適応になる場合があります。
こども矯正 ¥440,000〜¥660,000 ※矯正管理費・保定装置(上下セット)の料金 含む ※症例により、多少前後する場合があります。
当院は総額提示制のため、
下記すべて含まれています!
  • 装置処置料
  • 保定処置料
  • 保定装置代金
  • 矯正装置代金
  • 診断料

想定していない追加料金があとからかかる心配がありません。
安心して治療を受けていただくため、当院では総額提示制を取り入れています。

デンタルローンでの分割払いにも
対応しています

デンタルローンのメリットは、年金利4.0%~8.0%程とカードローンに比べて金利が低いことです。追加借入はできませんが、その分返済計画は立てやすいです。そのため、高額な治療費の支払いに向いています。デンタルローンのデメリットは、お申し込みから融資を受けるまでに1日~数日、場合によっては1週間以上の時間がかかることです。また、デンタルローンに対応している歯科医院でしか使えないこともデメリットです。

※当院はデンタルローンに対応しており、優良医院として指定されているため融資の許可までの日数が平均1~2日となっております。
デンタルローンの書類記入

お支払方法

当院では、下記のお支払方法が可能です。

  1. 現金

    現金

  2. 銀行振込

    銀行振込

  3. クレジットカード

    クレジット
    カード

  4. デンタルローン

    デンタル
    ローン

医療費控除について

1年間(1月1日~12月31日)に10万円以上の医療費を支払った場合は、確定申告で医療費控除を申請することによって一定の金額の所得控除を受けることができます。ご自身の支払いに限らず、生計をともにするご家族が支払った医療費も対象となります。詳しくは国税庁のホームページをご覧ください。

国税庁のホームページ
医院スタッフが検査中

こども(小児)矯正の
よくある質問

小児矯正は痛いですか?

お子さまは適応能力が非常に高く、お口の中の感覚も大人に比べてやや鈍感です。そのため、痛みを感じることはほとんどありません。装置がお口に合わない場合は調整することもできます。

むし歯があっても矯正治療できますか?

むし歯がある場合でも、矯正治療と並行してむし歯治療を進めることが可能です。当院では精密なむし歯治療も行っていますので、ご相談ください。

旅行の時はどうしたら良いですか?

旅行中もなるべく装置は装着しておいてください。写真を撮る時などは、外しても大丈夫です。

小児矯正はいつから始めればいいですか?

矯正治療には「Ⅰ期治療(6〜12歳頃)」と「Ⅱ期治療(12歳頃〜)」があります。Ⅰ期治療は、歯並びや顎の成長を促すために、主に乳歯と永久歯の生え変わり時期に行います。この時期に早期に治療を始めることで、歯並びが整いやすくなります。その後、永久歯が全て生え揃った段階でⅡ期治療を行います。歯並びやお口の癖が気になった、なるべく早い時期にまずはご相談ください。

抜歯しないと矯正治療はできませんか?

小児矯正で永久歯を抜くことはほとんどありません。ただし、永久歯が生えてきても乳歯が残っている場合や、余分な永久歯がある場合は抜く可能性もあります。

治療期間はどれくらいですか?

小児矯正は、第一期(6〜12歳)と第二期(12歳以降)の2段階に分かれます。
当院では、第一期矯正の装置装着期間は約1〜1年半が目安です。その後、永久歯が生えそろうまでリテーナー(保定装置)による経過観察を行い、必要に応じて第二期矯正に移行することもあります。お子さまの成長や歯の状態により異なりますので、まずは一度ご相談ください。

食べ物に制限などはありますか?

特に制限はありません。前歯を使うおにぎりやお肉、きゅうりなどのかぶりつく野菜などを多く召し上がっていただくことで、矯正治療にも良い効果があります。

矯正は保険適用・高額療養費制度の対象になりますか?

矯正治療は基本的に保険適用外、高額療養費制度の対象外です。医療費控除は対象になりますので、詳しくは「医療費控除について」をご確認ください。