成人矯正症例
(マウスピース・インビザライン)
-
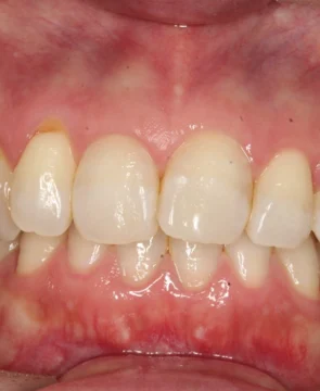
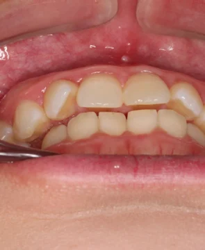
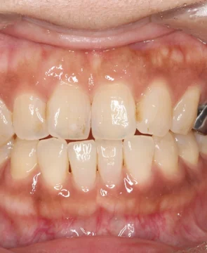
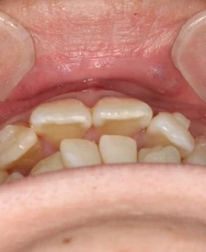
2026/03/10上下の前歯のがたつきが気になる19歳男性の矯正症例紹介 今回ご紹介する患者様は、上下の前歯のがたつきを気にされており、矯正検査後叢生Ⅰ級と診断しました。 治療前後の比較 矯正術前:正面 矯正術後:正面 矯正術前:右側 矯正術後:右側 矯正術前:左側 矯正術後:左側 矯正術前:上顎 矯正術後:上顎 矯正術前:下顎 矯正術後:下顎 矯正術前:前歯部あおり 矯正術後:前歯部あおり 矯正術前:オーバージェット 矯正術後:オーバージェット 主訴 上下の前歯のがたつきが気になる。 治療期間 ・マウスピース矯正:9カ月 治療費用 770,00…
... もっと見る -
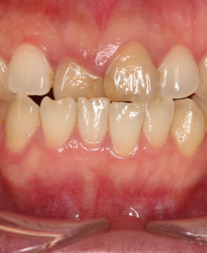
2026/02/17上顎前歯の離開、左下に残っている乳歯が気になる20代女性の矯正症例紹介 今回ご紹介する患者様は、上顎前歯の離開、左下に残っている乳歯を気にされており、矯正検査後叢生Ⅰ級と診断し、矯正前に左下の乳歯を抜歯いたしました。 治療前後の比較 矯正術前:正面 矯正術後:正面 矯正術前:右側 矯正術後:右側 矯正術前:左側 矯正術後:左側 矯正術前:上顎 矯正術後:上顎 矯正術前:下顎 矯正術後:下顎 矯正術前:前歯部あおり 矯正術後:前歯部あおり 矯正術前:オーバージェット 矯正術後:オーバージェット 主訴 上顎前歯の離開、左下に残っている乳歯が気になる…
... もっと見る -
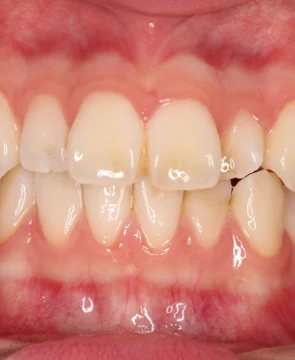
2026/01/13全体的な歯並びのがたつきが気になる30代女性の矯正症例紹介 今回ご紹介する患者様は、全体的な歯並びのがたつきを気にされており、矯正検査後叢生1級と診断いたしました。 治療前後の比較 矯正術前:正面 矯正術後:正面 矯正術前:右側 矯正術後:右側 矯正術前:左側 矯正術後:左側 矯正術前:上顎 矯正術後:上顎 矯正術前:下顎 矯正術後:下顎 矯正術前:前歯部あおり 矯正術後:前歯部あおり 矯正術前:オーバージェット 矯正術後:オーバージェット 主訴 全体的な歯並びのがたつきが気になる 治療期間 ・マウスピース矯正:16カ…
... もっと見る -
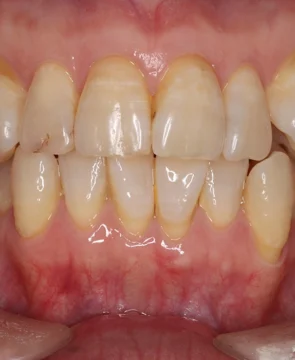
2026/01/06噛み合わせのズレ、上顎前歯の突出が気になる10代女性の矯正症例紹介 今回ご紹介する患者様は、噛み合わせのズレ、上顎前歯の突出を気にされており、矯正検査後骨格Ⅲ級、歯性は叢生Ⅱ級と診断いたしました。 治療前後の比較 矯正術前:正面 矯正術後:正面 矯正術前:右側 矯正術後:右側 矯正術前:左側 矯正術後:左側 矯正術前:上顎 矯正術後:上顎 矯正術前:下顎 矯正術後:下顎 矯正術前:前歯部あおり 矯正術後:前歯部あおり 矯正術前:オーバージェット 矯正術後:オーバージェット 主訴 噛み合わせのズレ、上顎前歯の突出が気になる 治療期間 ・マウス…
... もっと見る -
2025/12/23上顎前歯の突出が気になる40代女性の矯正症例紹介 今回ご紹介する患者様は、上顎前歯の突出を気にされており、矯正検査後叢生Ⅰ級と診断いたしました。 治療前後の比較 矯正術前:正面 矯正術後:正面 矯正術前:右側 矯正術後:右側 矯正術前:左側 矯正術後:左側 矯正術前:上顎 矯正術後:上顎 矯正術前:下顎 矯正術後:下顎 矯正術前:前歯部あおり 矯正術後:前歯部あおり 矯正術前:オーバージェット 矯正術後:オーバージェット 主訴 上顎前歯の突出が気になる 治療期間 ・マウスピース矯正:13カ月 治療費用 770,000円(税…
... もっと見る -
2025/12/16下顎の前歯のガタツキが気になる20代男性の矯正症例紹介 今回ご紹介する患者様は、下顎の前歯のガタツキを気にされており、矯正検査後叢生Ⅰ級と診断いたしました。 治療前後の比較 矯正術前:正面 矯正術後:正面 矯正術前:右側 矯正術後:右側 矯正術前:左側 矯正術後:左側 矯正術前:上顎 矯正術後:上顎 矯正術前:下顎 矯正術後:下顎 矯正術前:前歯部あおり 矯正術後:前歯部あおり 矯正術前:オーバージェット 矯正術後:オーバージェット 主訴 下顎の前歯のガタツキが気になる 治療期間 ・マウスピース矯正:4カ月 治療費用 550,0…
... もっと見る -
2025/12/09上顎前歯部の重なりが気になる10代女性の矯正症例紹介 今回ご紹介する患者様は、上顎の前歯部が重なっていることを気にされており、矯正検査後2級傾向の叢生と診断いたしました。 治療前後の比較 矯正術前:正面 矯正術後:正面 矯正術前:右側 矯正術後:右側 矯正術前:左側 矯正術後:左側 矯正術前:上顎 矯正術後:上顎 矯正術前:下顎 矯正術後:下顎 矯正術前:前歯部あおり 矯正術後:前歯部あおり 矯正術前:オーバージェット 矯正術後:オーバージェット 主訴 上顎前歯部の重なりが気になる 治療期間 ・マウスピース矯正:15カ月 治療…
... もっと見る -
2025/10/24下の前歯のガタガタが気になる20代女性の矯正症例紹介 今回ご紹介する患者様は、下の前歯のガタガタを気にされており、矯正検査後叢生1級と診断いたしました。 治療前後の比較 術前:正面 術後:正面 術前:右側 術後:右側 術前:左側 術後:左側 術前:上顎 術後:上顎 術前:下顎 術後:下顎 術前:前歯部あおり 術後:前歯部あおり 術前:オーバージェット 術後:オーバージェット 主訴 下の前歯のガタガタが気になる 治療期間 3カ月 治療費用 550,000円(税込) 下IPR55,000円 合計605,000円 治療内容 下の前歯…
... もっと見る -
2025/10/18上顎前歯の突出と全体的な歯並びのがたつきが気になる20代女性の矯正症例紹介 今回ご紹介する患者様は、上顎前歯の突出、全体的な歯並びのがたつきを気にされており、矯正検査後叢生2級と診断いたしました。 治療前後の比較 術前:正面 術後:正面 術前:右側 術後:右側 術前:左側 術後:左側 術前:上顎 術後:上顎 術前:下顎 術後:下顎 術前:前歯部あおり 術後:前歯部あおり 術前:オーバージェット 術後:オーバージェット 主訴 上顎前歯の突出、全体的な歯並びのがたつきが気になる 治療期間 22カ月 治療費用 990,000円(税込) 治療内容 上顎前歯…
... もっと見る -
2025/09/19全体的な歯並びのがたつき、噛み合わせが悪い40代女性の矯正症例紹介 今回ご紹介する患者様は、全体的な歯並びのがたつき、噛み合わせが悪いことを気にされており、矯正検査後叢生1級と診断いたしました。 治療前後の比較 術前:正面 術後:正面 術前:右側 術後:右側 術前:左側 術後:左側 術前:上顎 術後:上顎 術前:下顎 術後:下顎 術前:前歯部あおり 術後:前歯部あおり 術前:オーバージェット 術後:オーバージェット 主訴 全体的な歯並びのがたつき、噛み合わせが悪いことが気になる 治療期間 16カ月 治療費用 880,000円(税込) 治療内…
... もっと見る -
2025/09/10前歯の捻じれが気になる40代女性の矯正症例紹介 今回ご紹介する患者様は、前歯の捻じれを気にされており、矯正検査後叢生1級と診断いたしました。 治療前後の比較 術前:正面 術後:正面 術前:右側 術後:右側 術前:左側 術後:左側 術前:上顎 術後:上顎 術前:下顎 術後:下顎 術前:前歯部あおり 術後:前歯部あおり 術前:オーバージェット 術後:オーバージェット 主訴 前歯の捻じれが気になる 治療期間 10カ月 治療費用 550,000円(税込) 治療内容 前歯の捻じれを気にされており、矯正検査後叢生Ⅰ級と診断いたしまし…
... もっと見る -
2025/09/05上下の歯並びのガタツキが気になる20代女性の矯正症例紹介 今回ご紹介する患者様は、上下の歯並びのガタツキを気にされており、矯正検査後叢生Ⅱ級と診断いたしました。 治療前後の比較 術前:正面 術後:正面 術前:右側 術後:右側 術前:左側 術後:左側 術前:上顎 術後:上顎 術前:下顎 術後:下顎 術前:前歯部あおり 術後:前歯部あおり 術前:オーバージェット 術後:オーバージェット 主訴 上下の歯並びのガタツキが気になる 治療期間 20カ月 治療費用 660,000円(税込) 治療内容 上下の歯並びのガタツキを気にされており、矯正…
... もっと見る