成人矯正症例
(マウスピース・インビザライン)
-
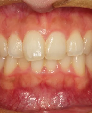
2025/08/01前歯の突出が気になる30代男性の矯正症例紹介 今回ご紹介する患者様は、上顎前歯の突出を気にされており、矯正検査後叢生Ⅰ級と診断いたしました。 治療前後の比較 術前:正面 術後:正面 術前:右側 術後:右側 術前:左側 術後:左側 術前:上顎 術後:上顎 術前:下顎 術後:下顎 術前:前歯部あおり 術後:前歯部あおり 術前:オーバージェット 術後:オーバージェット 主訴 前歯の突出が気になる 治療期間 7カ月 治療費用 550,000円(税込) 治療内容 上顎前歯の突出を気にされており、矯正検査後叢生Ⅰ級と診断いたしまし…
... もっと見る -
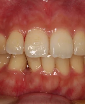
2025/07/25左上の歯並びが気になる10代女性の矯正症例紹介 今回ご紹介する患者様は、左上の歯並びを気にされており、矯正検査後叢生Ⅰ級と診断しました。 治療前後の比較 術前:正面 術前:正面 術前:右側 術後:右側 術前:左側 術後:左側 術前:上顎 術後:上顎 術前:下顎 術後:下顎 術前:上顎前歯部寄り 術後:前歯部あおり 術前:下顎前歯部寄り 術後:オーバージェット 主訴 左上の歯並びが気になる 治療期間 14カ月 治療費用 880,000円(税込) 治療内容 左上の歯並びを気にされており、矯正検査後叢生Ⅰ級と診断しました。 リ…
... もっと見る -
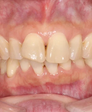
2025/07/19上下前歯の捻じれが気になる20代女性の矯正症例紹介 今回ご紹介する患者様は、上下前歯の捻じれを気にされており、矯正検査後叢生Ⅰ級と診断いたしました。 治療前後の比較 術前:正面 術後:正面 術前:右側 術後:右側 術前:左側 術後:左側 術前:上顎 術後:上顎 術前:下顎 術後:下顎 術前:前歯部あおり 術後:前歯部あおり 術前:オーバージェット 術後:オーバージェット 主訴 上下前歯の捻じれが気になる。 治療期間 17カ月 治療費用 880,000円(税込) 治療内容 上下前歯の捻じれを気にされており、矯正検査後叢生Ⅰ級と…
... もっと見る -
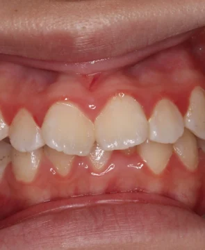
2025/07/11下の歯並びのガタツキと、左上犬歯の突出が気になる50代女性の矯正症例紹介 今回の患者様は下の歯並びのガタツキと、左上犬歯の突出を気にされており、矯正検査後叢生Ⅰ級と診断しました。 治療前後の比較 術前:正面 術後:正面 術前:右側 術後:右側 術前:左側 術後:左側 術前:上顎 術後:上顎 術前:下顎 術後:下顎 術前:前歯部あおり 術後:前歯部あおり 術前:オーバージェット 術後:オーバージェット 主訴 下の歯並びのガタツキと、左上犬歯の突出が気になる。 治療期間 7カ月 治療費用 880,000円(税込) 治療内容 患者様は下の歯並びのガタツ…
... もっと見る -
2025/07/04反対咬合が気になる50代女性の矯正症例紹介 患者様は反対咬合を気にされており、矯正検査後下顎前突と診断しました。 治療前後の比較 術前:正面 術後:正面 術前:右側 術後:右側 術前:左側 術後:左側 術前:上顎 術後:上顎 術前:下顎 術後:下顎 術前:上顎前歯部寄り 術後:前歯部あおり 術前:下顎前歯部寄り 術後:オーバージェット 主訴 反対咬合が気になる 治療期間 23カ月 治療費用 990,000円(税込) 治療内容 患者様は上顎前歯の突出、全体的な歯並びのガタツキを気にされており、矯正検査後叢生1級と診断し…
... もっと見る -
2025/06/27上顎前歯の突出と全体的な歯並びのガタツキが気になる10代女性の矯正症例紹介 今回の患者様は上顎前歯の突出、全体的な歯並びのガタツキを気にされており、矯正検査後叢生1級と診断しました。 治療前後の比較 術前:正面 術後:正面 術前:右側 術後:右側 術前:左側 術後:左側 術前:上顎 術後:上顎 術前:下顎 術後:下顎 術前:前歯部あおり 術後:前歯部あおり 術前:オーバージェット 術後:オーバージェット 主訴 上顎前歯の突出、全体的な歯並びのガタツキ 治療期間 8カ月 治療費用 770,000円(税込) 治療内容 患者様は上顎前歯の突出、全体的な歯…
... もっと見る -
2025/06/20上顎の前歯が出ている10代男性の矯正症例紹介 患者様は上顎の前歯が出ていることを気にされており、矯正検査後叢生Ⅰ級と診断しました。(矯正経験あり) 治療前後の比較 術前:正面 術後:正面 術前:右側 術後:右側 術前:左側 術後:左側 術前:上顎 術後:上顎 術前:下顎 術後:下顎 術前:前歯部あおり 術後:前歯部あおり 術前:オーバージェット 術後:オーバージェット 主訴 上顎の前歯が出ていることが気になる 治療期間 6カ月 治療費用 550,000円(税込) 治療内容 患者様は過去に矯正経験がありましたが、上顎の前…
... もっと見る -
2025/06/13下の歯並びのガタツキが気になる10代女性の矯正症例紹介 今回ご紹介する患者様は、下の歯並びのガタツキを気にされており、矯正検査後叢生Ⅰ級と診断いたしました。 治療前後の比較 術前:正面 術後:正面 術前:右側 術後:右側 術前:左側 術後:左側 術前:上顎 術後:上顎 術前:下顎 術後:下顎 主訴 下の歯並びのガタツキが気になる 治療期間 6カ月 治療費用 550,000円(税込) 治療内容 下の歯並びのガタツキを気にされており、矯正検査後叢生Ⅰ級と診断し、インビザラインにて矯正治療を行いました。 リスク・副作用 ・協力度(装着…
... もっと見る -
2025/06/06出っ歯とガタガタが気になる50代女性の矯正症例紹介 今回ご紹介する患者様は、上の前歯が突出してきたこと、下の歯並びもガタガタであることを気にされており、矯正検査後叢生Ⅰ級と診断いたしました。 治療前後の比較 術前:正面 術後:正面 術前:右側 術後:右側 術前:左側 術後:左側 術前:上顎 術後:上顎 術前:下顎 術後:下顎 術前:前歯部あおり 術後:前歯部あおり 術前:オーバージェット 術後:オーバージェット 主訴 出っ歯とガタガタが気になる 治療期間 4カ月 治療費用 550,000円(税込) 治療内容 上の前歯が突出し…
... もっと見る -
2025/05/09歯並びのがたつきが気になる12歳女性の矯正症例紹介 今回ご紹介する患者様は、患者様は歯並びのがたつきを気にされており、矯正検査後Ⅰ級叢生と診断いたしました。成長期におけるインビザライン矯正症例となります。 治療前後の比較 術前:正面 術後:正面 術前:右側 術後:右側 術前:左側 術後:左側 術前:上顎 術後:上顎 術前:下顎 術後:下顎 術前:前歯部あおり 術後:前歯部あおり 術前:オーバージェット 術後:オーバージェット 主訴 前歯のがたつきが気になる 治療期間 14ヶ月 治療費用 990,000円(税込) 治療内容 患…
... もっと見る -
2025/04/11上下の歯並びのがたつきが気になる40代女性の矯正症例紹介 今回ご紹介する患者様は、上下の歯並びのがたつきを気にされており、矯正検査後叢生1級と診断いたしました。左側上下親知らずも抜歯いたしました。 治療前後の比較 術前:正面 術後:正面 術前:右側 術後:右側 術前:左側 術後:左側 術前:上顎 術後:上顎 術前:下顎 術後:下顎 術前:前歯部あおり 術後:前歯部あおり 術前:オーバージェット 術後:オーバージェット 主訴 上下の歯並びのがたつきが気になる 治療期間 14カ月 治療費用 550,000円(税込) 治療内容 上下の歯…
... もっと見る -
2025/03/28前歯の噛み合わせ・歯並びが気になる30代女性の矯正症例紹介 今回ご紹介する患者様は、前歯の噛み合わせの悪さ、歯並び、下の前歯が上の歯茎に当たることを気にされており、矯正検査後叢生Ⅰ級と診断いたしました。 治療前後の比較 術前:正面 術後:正面 術前:右側 術後:右側 術前:左側 術後:左側 術前:上顎 術後:上顎 術前:下顎 術後:下顎 術前:前歯部あおり 術後:前歯部あおり 術前:オーバージェット 術後:オーバージェット 主訴 前歯の噛み合わせ・歯並びが気になる 治療期間 4カ月 治療費用 935,000円(税込) 治療内容 前歯…
... もっと見る