インビザライン矯正では、歯並びの状態により抜歯が必要なケースと不要なケースがあります。抜歯によりスペースが確保できる一方、治療期間が延びる可能性もあります。
抜歯が必要かどうかは専門の診断が重要です。今回はインビザライン矯正における抜歯のメリット・デメリットをご紹介します。
インビザラインで
抜歯が必要な歯並び

インビザライン治療における抜歯は、症例ごとに異なる判断基準があり、虫歯・歯周病の進行、スペース不足、歯の向きが大きく影響します。
これらの判断は、患者様の歯列や健康状態に応じて専門の歯科医師が行い、最適な治療計画を立てるために欠かせません。
インビザライン矯正における抜歯が必要な場合について詳しく紹介します。
1.虫歯や歯周病が進行している場合
インビザライン矯正を行う前に、虫歯や歯周病が進行している場合は、抜歯が必要になることがあります。
矯正治療をする際、歯や歯茎の健康状態は非常に重要で、特に進行した虫歯や歯周病があると矯正の力で歯が動く際に負担がかかり、症状が悪化するリスクが高まります。
進行した虫歯の場合、虫歯部分を治療しても再発の可能性が高くなるため、抜歯が選択されることもあります。
また、歯周病によって歯を支える骨や歯茎が損なわれている場合も、矯正による歯の移動が難しくなるため、その歯を抜歯して治療を進めるケースもあります。
そのため、矯正治療の前には歯科医師がしっかりと歯や歯茎の状態を診断し、必要に応じて抜歯の判断をします。
2.スペースが極端に不足している場合
歯並びが悪く、スペースが極端に不足しているケースでは、インビザライン治療の際に抜歯が必要になることが多いです。
歯が密集していると、矯正器具だけでは歯が並ぶスペースが確保できず、理想的な位置に歯を移動することが困難です。
特に、前歯が重なっているケースや顎が小さいために歯が並びきらないケースでは、抜歯によってスペースを作り、歯並びを整えやすくします。
また、抜歯によるスペース確保によって矯正の効果がより高まり、治療期間も短縮できる可能性があります。
抜歯を伴うインビザライン治療は歯並びや噛み合わせの改善に大きく貢献するため、歯科医師が歯列の状態を見ながら総合的に判断することが重要です。
3.歯の生える向きが悪い場合
歯の生える向きが悪い場合も、インビザライン矯正では抜歯が推奨されることがあります。
特に、横向きに生えている親知らずや、顎のスペースに対して不自然な角度で生えている歯は、周囲の歯に悪影響を及ぼしやすく、矯正治療の妨げとなります。
インビザラインはワイヤー矯正と異なり、複雑な歯の向きの修正が難しいため、抜歯することでスムーズな治療が可能になります。
また、親知らずが奥歯の並びに影響している場合や、前歯が大きく突出している場合も、抜歯によって歯列を整えやすくなるため、結果的に治療の効果が高まります。
このようなケースでは、抜歯が患者様の口元のバランスを整えるためにも有効です。
インビザラインで
抜歯が不要な歯並び
インビザライン矯正において抜歯が不要となるケースには、IPRで対応可能な場合、歯列の拡大ができる場合、奥歯を後方に動かせる場合などがあります。
これらの方法を用いることで、抜歯せずに理想的な歯並びを目指すことが可能です。
患者様一人ひとりの歯並びや顎の状態に応じて、適切な方法を選択するためには歯科医師の診断が重要です。
インビザライン矯正における抜歯が不要な場合について詳しく説明します。
1.IPRで対応可能な場合
IPR(Interproximal Reduction)とは、歯と歯の間をわずかに削ることで隙間を作り、歯を移動しやすくする方法です。
インビザライン矯正において、歯列全体のスペースが若干不足している程度であれば、IPRで対応できることが多く、抜歯せずに矯正治療が進められます。IPRは、特に前歯や軽度の重なりのあるケースで効果を発揮し、歯並びをスムーズに整えるためのスペースが確保されます。また、IPRは痛みが少なく、治療期間の短縮にもつながるため、患者様にとっても負担が少ないメリットがあります。
ただし、削る量には限度があり、歯に大きなスペースが必要な場合や重度の歯列不正の場合には適用が難しいとされています。
2.歯列を拡大できる場合
歯列の拡大(アーチエクスパンション)も、インビザライン矯正において抜歯を避けるための有効な方法です。歯列を拡大することで、狭くて重なっている歯のスペースを増やし、理想的な歯並びに整えやすくなります。
歯列の拡大は、特に子どもや若年層において効果が出やすいですが、大人でも適応できるケースがあります。具体的には、顎の骨が柔軟であることが条件の一つであり、この条件が整っていれば抜歯せずに治療を進めることが可能です。
また、アーチエクスパンションを用いると顔貌にもプラスの影響が出やすく、口元の自然なふくらみを保ちながら歯列を整えられる点が魅力とされています。
3.奥歯を後方に動かせる場合
奥歯を後方へ移動させる方法(ディスタライゼーション)も、インビザライン治療でスペースを確保するために有効な手段です。
前歯にスペースがない場合、奥歯を後方に動かすことで前歯に必要な空間を作り出せるため、重なりのある歯を抜歯せずに治療することが可能です。奥歯を後方へ動かす処置は、特に上顎において効果が期待できます。ディスタライゼーションが可能な場合、歯並びを整えるだけでなく、顎のバランス改善にもつながり、顔全体の調和を図ることができます。
ただし、奥歯を後方に動かすには骨の構造や口腔内の状態が適している必要があるため、専門の診断が不可欠です。
インビザラインで
抜歯をするメリット

インビザライン矯正で抜歯を行うことで、複雑な歯並びの改善が可能になり、歯肉の健康を守りつつ、治療計画を効率的に進めることができます。
抜歯が必要かどうかは症例によって異なるため、専門の歯科医師の診断のもとで最適な治療方法を選択することが重要です。
以下ではインビザライン矯正で抜歯を行うメリットについて詳しく説明します。
1.さまざまな歯並びを改善できるようになる
インビザライン矯正において抜歯を行うことで、より複雑な歯並びの症例にも対応できるようになります。
特に、重度の歯列不正や前歯の突出(出っ歯)、歯の重なりが多い場合には、スペースが不足しているため、歯を並べるために十分な空間が必要です。
このようなケースでは抜歯によりスペースを確保することで、歯並びが整いやすくなり、矯正治療の効果を最大限に引き出すことが可能です。
また、抜歯によって歯が自然に並ぶスペースができるため、歯を無理に移動させる必要が減り、歯にかかる負担を抑えることができるというメリットもあります。
結果的に、抜歯によるスペース確保で、患者様が望む理想的な歯並びを実現しやすくなります。
2.歯肉の退縮を防ぐことができる
歯の移動に十分なスペースがないまま無理に歯を動かすと、歯肉の退縮(歯茎が下がること)が起こりやすくなります。歯肉の退縮は見た目の問題だけでなく、歯の根元が露出することで知覚過敏や虫歯のリスクも高まるため、長期的な健康に影響を及ぼす可能性があります。
しかし、抜歯によって歯列に必要なスペースを確保すれば、歯を無理なく移動させることができ、歯肉の退縮を防ぐことが可能です。
特に、前歯部で抜歯を行うことで、口元のバランスが整い、歯肉が下がるリスクを抑えつつ矯正を進めることができます。
さらに、歯肉の退縮を防ぐことで、矯正終了後も歯と歯茎の健康を維持しやすくなるため、将来的な歯周病の予防にもつながります。
3.治療計画を立てやすくなる
抜歯を行うことで、インビザライン矯正の治療計画が立てやすくなります。歯列に十分なスペースが確保されるため、歯の移動がスムーズに行え、治療計画の通りに進行しやすくなります。
特に、スペースが不足している場合には、無理に歯を動かそうとすると、予定通りに治療が進まなくなったり、治療が長期化することが考えられます。
抜歯を伴う場合、歯の移動の方向やスピードが予測しやすくなるため、歯科医師は治療期間を適切に見積もることができ、患者さんも治療のゴールを把握しやすくなります。
さらに、スペースがある分、矯正治療全体の精度が向上し、最終的な仕上がりにも大きく影響します。
治療計画が立てやすいことで、患者の負担軽減やトータルの治療期間短縮にもつながる点が、抜歯の大きなメリットの一つです。
インビザラインで
抜歯をするデメリット

インビザライン矯正で抜歯を行うデメリットとして、健康な歯を抜く必要がある場合があること、治療期間が長引きやすいことが挙げられます。
これらのデメリットを十分に理解した上で、自身に適した治療法を選ぶことが大切です。
以下ではインビザライン矯正で抜歯を行うデメリットについて詳しく説明します。
1.健康な歯を抜かなければならない
インビザライン矯正で抜歯を行うデメリットの一つは、健康な歯を抜かなければならない場合があることです。
矯正治療において、スペースを確保するために抜歯が必要になることが多くありますが、治療のために虫歯や痛みがない健康な歯を抜く決断は、患者様にとって心理的な負担となりやすいです。
また、抜歯によって周囲の歯や顎の骨に影響を与えるリスクもあり、今後の口腔内の健康にも配慮が必要です。
さらに、健康な歯の抜歯に対して抵抗を感じる患者様も多く、実際に抜歯後に「他の方法で矯正できたのではないか」という後悔が生じることも少なくありません。
抜歯は矯正治療の一環として効果的な場合もありますが、歯科医師から十分な説明を受け、他の方法で対応が可能かも含めて慎重に判断することが重要です。
2.治療期間が長引きやすくなる
インビザライン矯正で抜歯を行うと、治療期間が長引く傾向があります。
抜歯をすると、その空間を埋めるために歯を計画的に移動させる必要があり、特に大きなスペースを埋める際には少しずつ歯を動かさなければならないため、治療全体が長期化する可能性が高まります。
また、抜歯によるスペースを埋める過程では、予定通りに歯が動かない場合や歯列全体のバランスを調整する必要が出てくるため、治療計画が複雑になりやすく、追加のアライナーが必要となるケースもあります。
さらに、治療期間が長くなることで、モチベーションや装着の継続も課題となり、予定外の調整や処置が必要になることも考えられます。
このように、抜歯を伴う矯正治療は効果が高い一方で、治療期間や計画が長期化するリスクも理解しておく必要があります。
インビザライン矯正で抜歯を行うデメリットとして、健康な歯を抜く必要がある場合があること、治療期間が長引きやすいことが挙げられます。
これらのデメリットを十分に理解した上で、自身に適した治療法を選ぶことが大切です。
インビザラインで
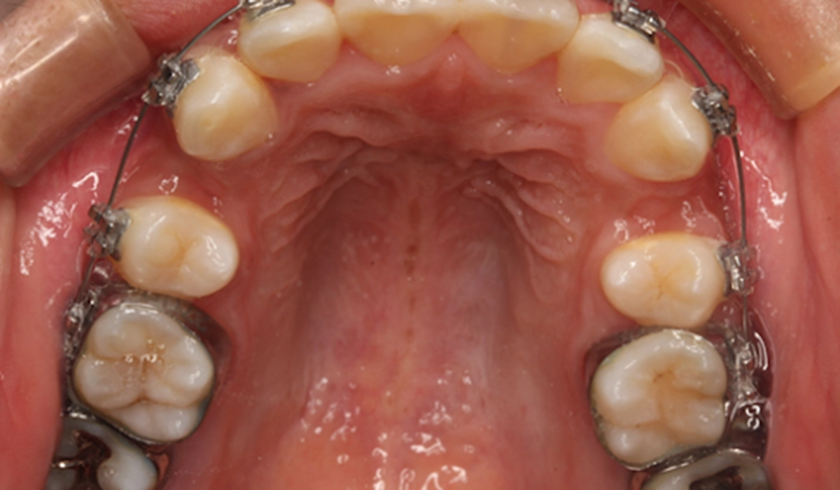
抜歯を行うタイミングとは?

インビザライン治療において抜歯が必要な場合は、治療開始前が一般的です。歯のスペース確保が必要な際、抜歯を事前に行い、治療を円滑に進められるようにします。
親知らずの抜歯が必要な場合は、設備の整った病院で行うこともあります。
また、抜歯の時期や必要性は、個々の歯並びや状態によるため、事前にしっかりとした診断を受けましょう。
インビザラインで抜歯する場合の治療期間はどれくらい?

インビザラインで抜歯を行う場合、治療期間は通常約1年から2年半です。
部分矯正であれば1年未満で完了することもありますが、抜歯によってスペースを確保するため、全体矯正の場合は通常2年から2年半ほどが目安となります。
抜歯の有無や歯の状態によって、治療期間が長くなる場合もあれば、短くなる場合もあるため、担当医から詳細な説明を受けましょう。
インビザラインで抜歯する場合の治療費用はいくら?

インビザライン治療における抜歯の費用は、1本あたり5,000円から1万円程度が一般的です。矯正治療目的の抜歯は保険適用外となるため、虫歯や歯周病治療としての抜歯と比べて高額になる傾向があります。
また、抜歯の本数が多い場合にはさらに費用が増えることがあります。費用はクリニックによって異なるため、治療前に確認が必要です。
抜歯が必要か知りたい方は、
横浜市瀬谷区の「三ツ境駅前スマイル歯科」にご相談ください

インビザライン矯正での抜歯には人によってメリット・デメリットが違います。詳しい検査と歯科医師による正しい診断を受けることがとても大切です。
三ツ境駅前スマイル歯科では経験豊富な歯科医師と歯科衛生士が担当し、患者様一人ひとりに合わせた治療を行っています。
インビザラインでの抜歯について詳しく知りたい方はぜひ、三ツ境駅前スマイル歯科でインビザライン矯正についてご相談ください。
LINEで新規の矯正相談を承っています。お気軽にご相談ください。