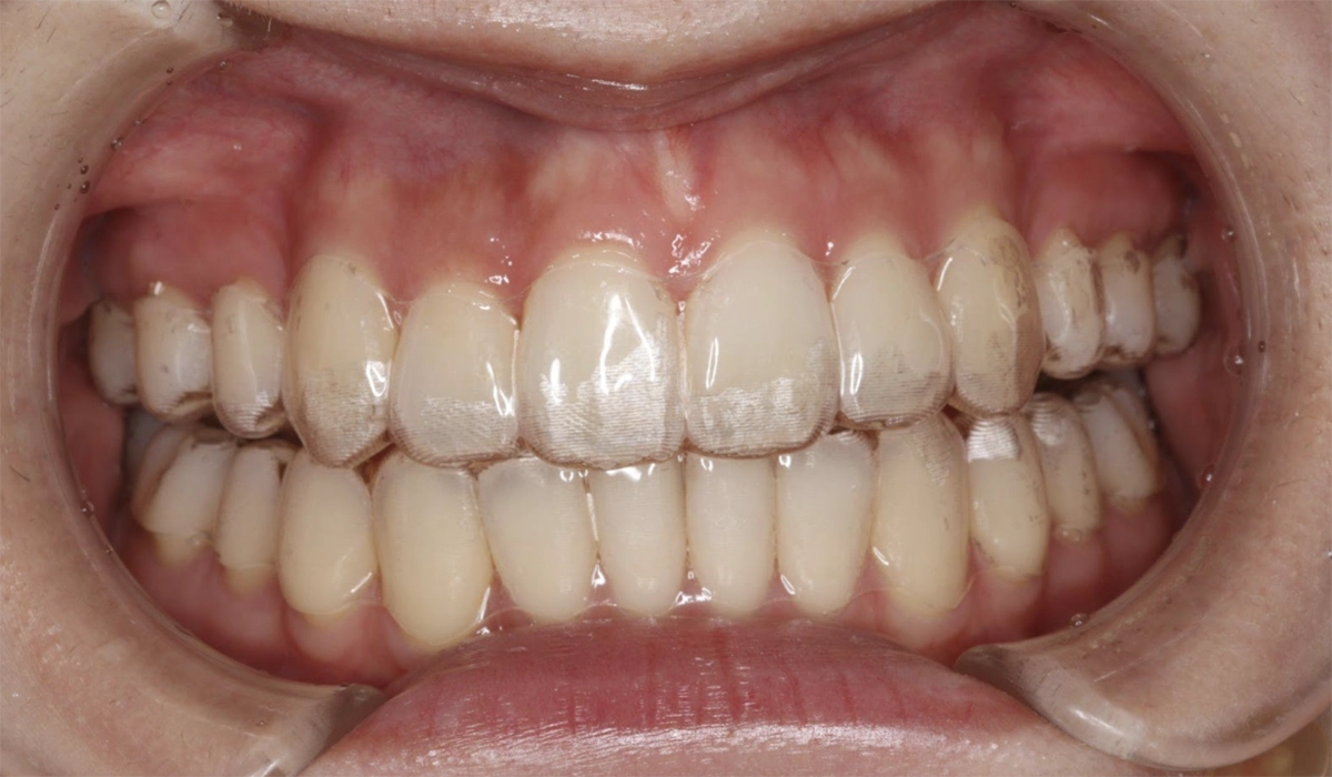
透明なマウスピース型の保定装置で、インビザライン矯正を終えた方は基本的にマウスピースタイプを使用します。インビザライン純正のものはビベラ・リテーナーと呼ばれ、矯正中のマウスピース(アライナー)と同様に取り外しが可能です。
アライナーよりも厚みがあるため丈夫で、歯茎に当たらないように作製されているため装着感も良好です。
矯正治療後はまだ歯が動きやすい状態のため、後戻りが起こってしまうことがあります。後戻りが起こる原因は様々です。後戻りを防ぐためには、「リテーナー」と呼ばれる保定装置を一定期間装着することが必要です。
今回は保定装置の種類や期間、費用について詳しく解説していきます。

矯正後は歯が動きやすい状態にあり、歯周組織が安定するまではどうしても歯が元の位置に戻ろうとしてしまいます。これを「後戻り」と呼び、後戻りを防ぐために使用するのが保定装置です。保定装置は「リテーナー」とも呼ばれ、矯正できれいに並んだ歯をその位置に定着させます。
保定装置は様々な種類がありますが、使用しているうちに劣化して、破損・変形することもあるため、定期的に作り直しが必要になります。
保定装置の種類について解説します。
透明なマウスピース型の保定装置で、インビザライン矯正を終えた方は基本的にマウスピースタイプを使用します。インビザライン純正のものはビベラ・リテーナーと呼ばれ、矯正中のマウスピース(アライナー)と同様に取り外しが可能です。
アライナーよりも厚みがあるため丈夫で、歯茎に当たらないように作製されているため装着感も良好です。
ワイヤータイプは基本的に歯の裏側にワイヤーを取り付けます。目立ちにくいですが、舌感が少し悪くなり、歯磨きもしにくくなります。
取り外しができないので、付け忘れなどの心配はありません。
プラスチックのプレートとワイヤーで構成されています。プレート部分は口腔内の色に合わせてピンク色であることが多いですが、ワイヤー部分は歯の表側に来るため目立ちやすいです。
マウスピースタイプと同様に取り外しが可能なため、歯磨きや食事に支障をきたしません。

インビザライン矯正後、後戻りが起きてしまう原因としては、以下のことが考えられます。
保定期間中、保定装置の装着時間は最低でも20時間以上確保する必要があります。矯正終了直後は後戻りのリスクが高く、保定装置の装着時間が長いほど後戻り防止の効果が高くなります。
保定装置を外している時間が長いと歯が動いてしまい、保定装置が不適合になってしまうこともあります。
基本的に矯正はその時生えている歯をきれいに並べることが目的です。矯正終了後に親知らずが生えると、親知らずの生えるスペースは確保されていない分、他の歯が親知らずに押されてせっかくきれいに並んだ歯がガタガタになってしまうことがあります。
医師の判断にもよりますが、生えてくる可能性のある親知らずは矯正前に抜歯することが推奨されます。
歯ぎしりや食いしばり、爪噛みや舌癖などは歯並びを悪くする原因でもありますが、後戻りの大きな原因のひとつにもなります。大人の場合は、口呼吸や片側だけで噛む癖などにも気をつけましょう。
また、頬杖やうつ伏せ寝なども歯列に圧力がかかってしまうので注意が必要です。口腔習癖の改善については、歯科医師に相談しアドバイスをもらうことがおすすめです。

インビザライン矯正後の保定期間は一般的に矯正と同じ期間といわれており、平均で2〜3年ほどです。また、一般的な保定期間が過ぎても保定装置を使用することで歯並びを維持することができます。
装着時間に関しては、後戻りの可能性が高い矯正後半年以上は最低でも1日20時間以上保定装置を装着するように心がけましょう。保定装置は一生使用するわけではなく、歯の位置が安定してきたら担当の歯科医師の指示のもと、装着時間を短くすることも可能です。
保定期間中の通院に関しては、3ヶ月に1回程度の検診で定期通院する必要があります。軽度の後戻りであれば再度矯正を始める際に期間や費用を抑えることができるので、早期の対応が必要です。自分では気づかない程度の後戻りをしている可能性もあるので、定期的に歯科医院で経過を観察してもらうのがおすすめです。
保定装置は劣化などにより寿命があるため、1年に1回など定期的に作り直さなければなりません。また、破損・変形している保定装置を使用していると十分な効果が得られず、後戻りの可能性が高くなります。装置や歯並びに関して気になることがある場合は、定期検診などを待たずに、早期に受診することが必要です。

保定装置の製作費用は矯正治療の総額に組み込まれていることもありますが、歯科医院によっては追加費用がかかることもあります。
また、1年に1回ほどの定期的な作り直しや、破損・紛失による作り直しは別途費用がかかることがほとんどです。上下3セットで4万〜6万円ほどが相場ですが、保定装置に関しても自費診療内での提供になるので、歯科医院によって価格は異なります。

インビザラインに限らず、矯正治療に後戻りは付き物です。後戻りを放置するとせっかくきれいに並んだ歯が元の位置に戻ってしまいます。そのため、保定装置の使用は必須になります。
保定装置には様々な種類がありますが、インビザライン矯正後はマウスピースタイプを使用することが多いです。保定期間は個人差がありますが、検診等で歯科医院に定期的に通院し、保定装置や歯並びの状態を歯科医師に確認してもらうことがおすすめです。
三ツ境駅前スマイル歯科では後戻りによる再矯正にも対応しています。また、保定装置や歯並びで気になることがある場合はLINEでの対応も行っています。
矯正後の後戻りに不安のある方、後戻りによる再矯正をご検討中のかたはぜひ、三ツ境駅前スマイル歯科にご相談ください。