インビザラインの抜歯が埋まるまでの期間は?隙間が目立つ場合の対処法も紹介

この記事を執筆した人:
三ツ境駅前スマイル歯科 院長 樋田秀一
院長の樋田は、インビザラインをはじめとしたマウスピース矯正に豊富な知識と経験を持つ歯科医師です。昭和大学歯学部卒業後、床矯正・ブラケット矯正・MEAWなど多領域の矯正理論を学び、2019年にインビザライン認定を取得。iTeroによる三次元解析を用いた精密診断と、咬合・骨格を統合的に評価する治療設計に定評があります。
所属学会は、日本小児矯正研究会(指導医)・国際歯周内科学研究会(指導医・理事)など多岐にわたり、科学的根拠に基づく臨床を重視。成長期の顎発育から成人の審美矯正までカバーし、専門性と信頼性の高い医療情報の発信にも取り組んでいます。
インビザライン矯正では、歯並びや噛み合わせを整えるために抜歯が必要になるケースがあります。その際に、「抜歯したすき間はいつ埋まるの?」「見た目は気にならないの?」と不安に感じる方も多いのではないでしょうか。実際、歯が移動して隙間が埋まるまでは一定の期間がかかり、その過程で気になるポイントもあります。
今回は、インビザライン矯正で抜歯した隙間が埋まるまでの一般的な期間や、隙間が目立つ場合の対処法についてわかりやすく解説します。
インビザラインで抜歯をする理由

インビザライン矯正で抜歯が行われる主な理由は、歯をきれいに並べるための「スペースを確保するため」です。顎と歯の大きさに調和がとれない場合、歯が重なったり前歯が突出したりすることがあります。このような状態では、歯をそのまま並べようとしても十分なスペースが確保できず、歯列や噛み合わせを整えることが難しくなることがあります。
インビザライン矯正では、スペースを確保する方法の一つとして、IPR(Interproximal Reduction)と呼ばれる処置を行うことがあります。これは、歯と歯の間のエナメル質を約0.2〜0.5mm程度、専用の器具で削る方法です。
しかし、IPRだけでは十分なスペースが確保できない場合には、4番目または5番目の小臼歯などを抜歯してスペースを作り、歯を計画的に移動させることで歯並びや噛み合わせを整える方法が選択されることもあります。
抜歯の必要性は歯並びや顎の状態によって異なるため、歯科医師による診断・治療計画の作成が必要になります。
インビザラインの抜歯と非抜歯の比較
矯正治療では、顎の大きさと歯のサイズのバランスによって歯を並べるスペースが不足することがあり、その場合は小臼歯などを抜歯してスペースを確保することがあります。これにより、歯を適切な位置に移動させ、より整った歯並びに仕上げることが可能になります。一方で、歯列の幅を広げたり、歯と歯の間をわずかに削る「IPR」などの方法によって、抜歯せずに治療できるケースもあります。
このように抜歯と非抜歯にはそれぞれ特徴があります。どちらが適しているかは、歯並びや噛み合わせの状態によって異なるため、精密検査を受けたうえで歯科医師と相談することが重要です。
| 比較項目 | 抜歯 | 非抜歯 |
|---|---|---|
| 仕上がり | 抜歯によって歯を並べるスペースを確保できるため、前歯の突出や重度の歯の重なりを改善しやすく、バランスのよい歯並びに仕上がりやすい | 歯を抜かないため自然な歯の本数を保てるが、スペースが不足している場合は歯列が前に出たり、並びがやや窮屈になることがある |
| 治療期間 | 抜歯したスペースを閉じる工程が必要なため、治療期間が長くなることがある | スペースを閉じる工程がないため、比較的短期間で治療できる場合がある |
| メリット | 歯を動かすスペースが確保できるため、重度の叢生や出っ歯など幅広い症例に対応しやすい | 健康な歯を抜かずに治療でき、抜歯による痛みや腫れのリスクがない |
| デメリット | 抜歯後の痛みや腫れが生じることがあり、隙間が埋まるまで見た目が気になることがある | スペースが不足すると歯列が広がり、口元が突出するなど仕上がりに影響する可能性がある |
インビザラインで抜歯が必要な歯並び
インビザライン矯正では、特に歯を並べるスぺースが不足しているケースで抜歯を行い、そのスペースを利用して歯を移動させ、歯並びや噛み合わせを整えます。抜歯の必要性は歯並びの状態や顎とのバランスによって判断されます。以下に、抜歯が必要とされる主な歯並びとその理由をご紹介します。
| 症例 | 抜歯が必要な理由 |
|---|---|
| 重度の叢生 | 歯が重なって並ぶスペースが不足しているため |
| 出っ歯(上顎前突) | 前歯が前方に突出している場合、前歯を後方に移動させるため |
| 受け口(下顎前突) | 上顎前突と同様に、突出している下顎の前歯を後方に下げるため |
| 噛み合わせのズレ | 噛み合わせのズレが大きい場合、上下の歯列のバランスを整えるため |
| 親知らず | 親知らずが他の歯を押すことで歯並びが乱れる可能性があるため |
▶親知らずの抜歯について詳しく知りたい方はこちらをご覧ください
インビザラインで抜歯した隙間が埋まる仕組み
インビザライン矯正で抜歯を行った場合、空いた隙間は歯を少しずつ移動させることで徐々に埋まっていきます。歯の移動は主に「傾斜移動」と「歯体移動」の2つの仕組みによって行われます。
傾斜移動
傾斜移動とは、歯の根元を支点にして歯が傾くように動く方法です。根本はほとんど動かさず、歯の頭(歯冠)が抜歯したスペースの方向へ倒れるように移動します。比較的短い期間で隙間を小さくできるため、治療の初期段階で起こることが多いです。
傾斜移動は歯を動かし始める段階で効率よくスペースを減らすことができますが、歯根の移動量が少ないため、やや歯が傾いているように感じる場合があります。
歯体移動
歯体移動とは、歯の頭と根の両方を同じ方向へ動かし、歯全体を水平に移動させる方法です。傾斜移動で縮まった隙間をさらに閉じながら、歯の角度や位置を整えることができます。インビザラインでは独自技術のアタッチメントを活用することで、歯に矯正力が伝わりやすくなり、より効果的に歯体移動を行うことができます。
この移動では、歯の根までしっかりと動かす必要があるため、傾斜移動よりも時間がかかる傾向があります。しかし、歯体移動によって歯を正しい位置に移動させることで、噛み合わせや歯列のバランスを整えることができます。
インビザラインでは、段階的に形状が異なるマウスピースを交換しながら歯に持続的な力を加え、傾斜移動と歯体移動を組み合わせて歯を動かしていきます。このような仕組みによって、抜歯によって生じた隙間は徐々に閉じ、最終的には自然な歯並びへと整えられていきます。
インビザラインで抜歯が埋まるまでの期間

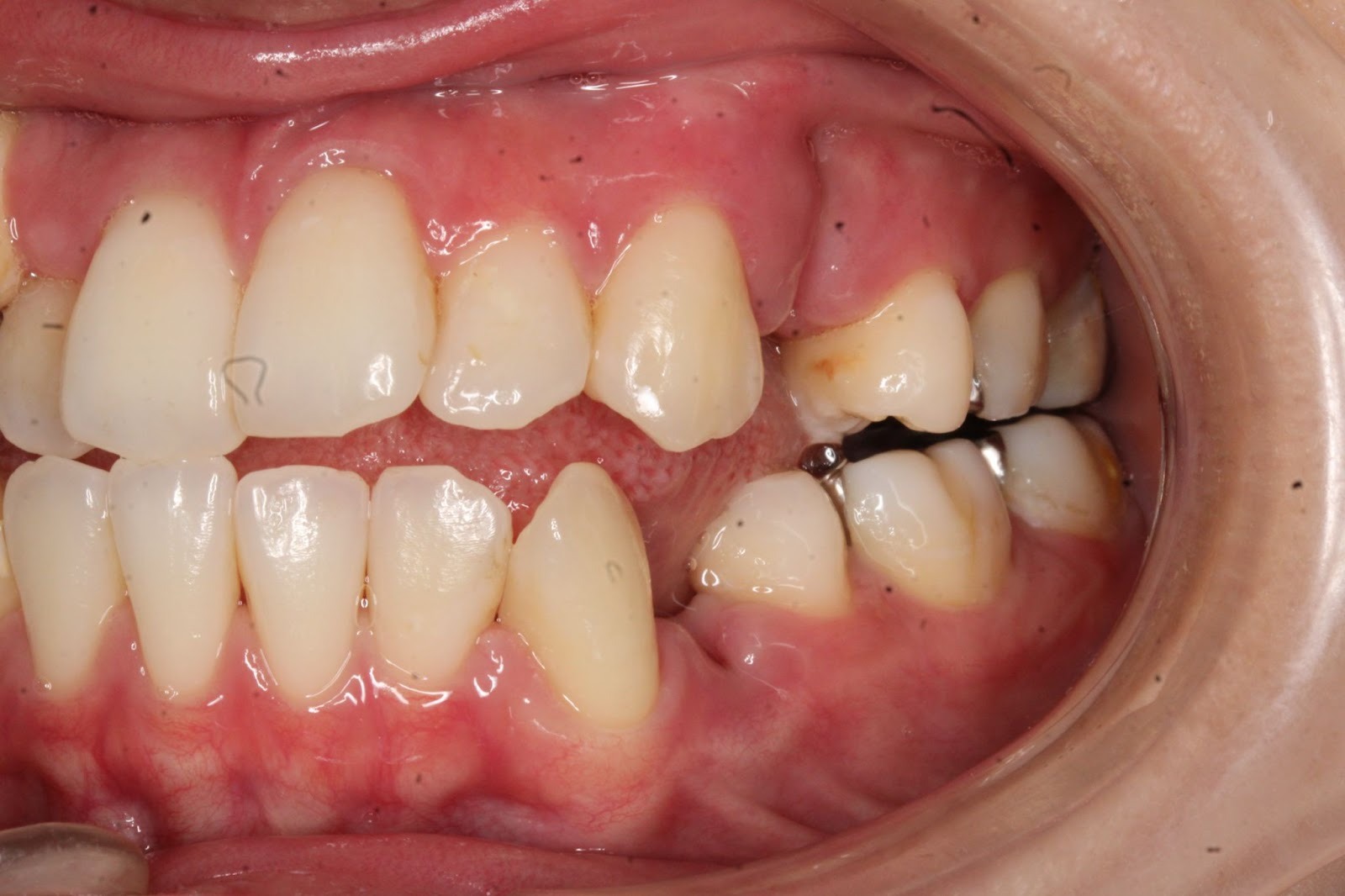
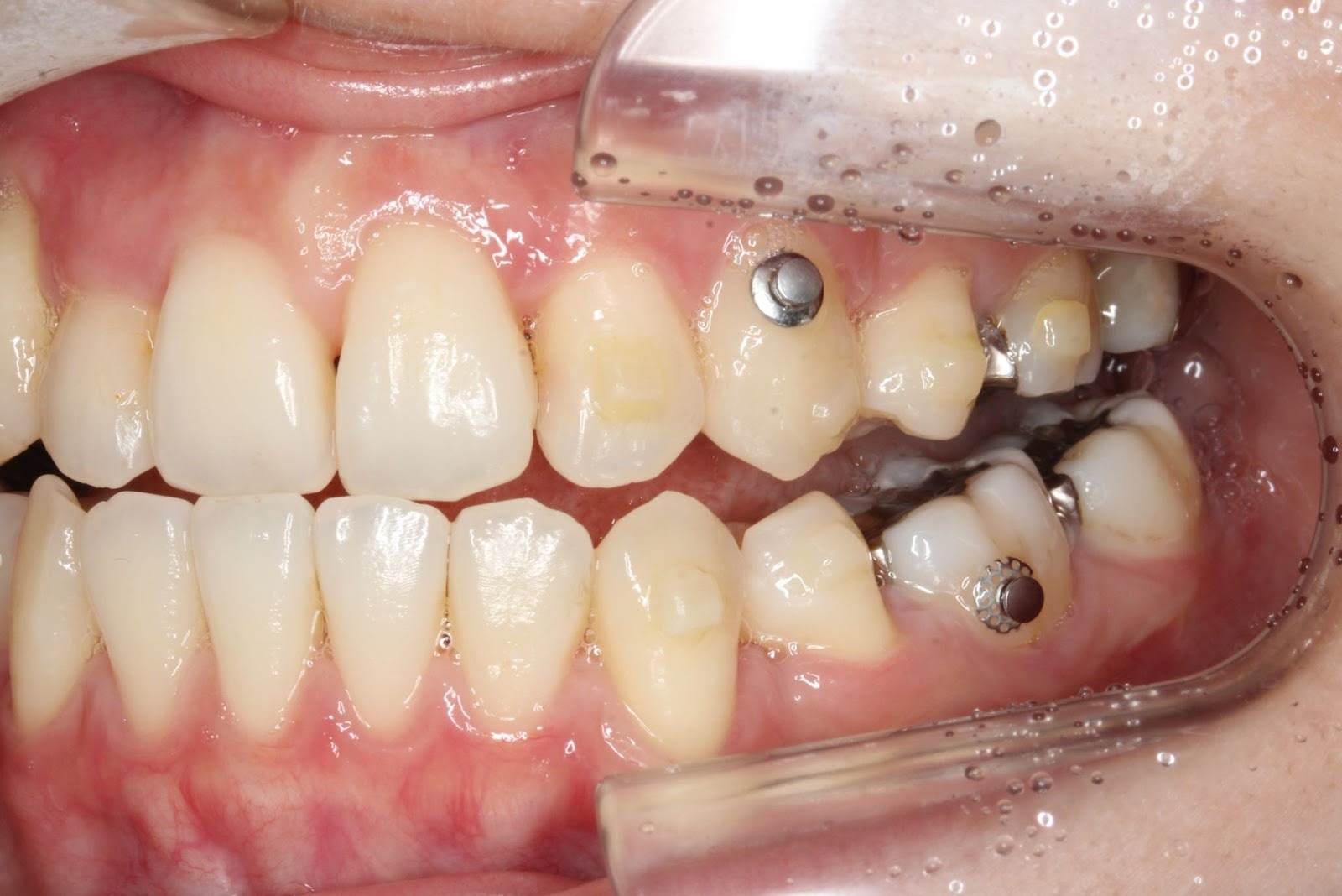
抜歯直後

抜歯から半年後
インビザライン矯正で抜歯した隙間が埋まるまでの期間は、一般的に約1年〜1年半程度とされています。歯の移動速度は個人差がありますが、インビザラインではマウスピース1枚あたり0.25㎜歯を動かすことができるため、通常1ヶ月に0.5〜1㎜程度のペースで動くといわれています。
そのため、治療開始から3〜6ヶ月ほど経過すると、抜歯した隙間が少しずつ小さくなってきたことを実感できるケースが多いです。ただし、この時点ではまだ完全に閉じておらず、その後、歯の根までしっかりと移動させる工程を経て、時間をかけて隙間を閉じていきます。
歯並びの状態や抜歯した本数、歯の移動量、マウスピースの装着時間などによって治療期間は異なります。
インビザラインの抜歯をした隙間が埋まるまでに時間がかかる理由
インビザライン矯正で抜歯した場合、歯並びや生活習慣などによって隙間が埋まるまでに予定よりも時間がかかる場合があります。ここでは、隙間が埋まるまでに時間がかかる主な理由をご紹介します。
マウスピースの装着時間が短い
インビザライン矯正では、1日20〜22時間程度マウスピースを装着することが推奨されています。装着時間が不足すると、歯に十分な矯正力がかからず、歯の移動が治療計画通りに進まなくなることがあります。
食後にマウスピースを装着するのを忘れてしまったり、長時間外したまま過ごしたりすると、歯の移動が遅れてしまう可能性があります。その結果、抜歯した隙間が閉じるまでの期間が長くなってしまいます。
歯根を動かすのに時間がかかる
抜歯したスペースを閉じるためには、歯の見えている部分(歯冠)だけでなく、歯の根(歯根)までしっかりと動かす必要があります。歯が傾くだけでは噛み合わせや見た目への影響も大きいため、歯全体を水平に移動させる「歯体移動」の動きが必要になります。
マウスピース矯正における歯体移動は時間がかかる傾向があり、抜歯によって生じたスペースを埋めるためには歯の移動量が大きくなるため、隙間が埋まるまでの期間が長く感じられることがあります。
歯が深く噛み込んでいる
上下の歯が深く噛みこんでいる「過蓋咬合(かがいこうごう)」の状態では、歯の移動がスムーズに進みにくい場合があります。歯が強く嚙み合っていると、抜歯スペースへ歯を移動させようとしても、噛み合わせが干渉して動きにくくなることがあるためです。
そのため、まずは噛み合わせを調整しながら歯の位置を整え、その後に抜歯スペースを閉じていくという段階的な治療が必要になる可能性があります。このような場合は、隙間が埋まるまで時間がかかることがあります。
上下の歯の幅が合っていない
上下の歯の幅が合っていない場合も、抜歯スペースが閉じるまでに時間がかかることがあります。例えば、上の歯の幅が下の歯の幅よりも大きい場合、下の歯が綺麗に並んでも上の歯の隙間は埋まりません。
このようなケースでは、歯と歯の間をわずかに削ってスペースを調整する「IPR」などの処置を行いながら、上下の歯のバランスを整えることもあります。その結果、隙間が埋まるまでに時間がかかる場合があります。
そもそもの治療計画に問題がある
治療計画の精度も歯の移動速度に影響を与えることがあります。インビザライン矯正ではデジタルシミュレーションをもとに歯の移動計画が立てられますが、歯の動きには個人差があるため、治療計画と実際の歯の動きと合っていないと、抜歯スペースが思うように閉じないことがあります。
このような場合には、追加のマウスピースを製作して、治療計画を調整する「リファインメント」を行う必要があります。再度歯の動きを調整することで、抜歯スペースを閉じながら歯並びを整えていきます。
インビザラインで抜歯をした隙間が目立つときの対処法
マウスピースにポンティックを入れる
インビザライン矯正で抜歯を行った場合、歯が移動して隙間が閉じるまでの間、抜歯した部分が目立って気になることがあります。そのような場合の対処法として、マウスピースに「ポンティック」と呼ばれる人工の歯の形をした樹脂を入れる方法があります。
ポンティックは、抜歯した部分のマウスピースに歯の色に近い素材を入れて見た目を補う処置です。マウスピースを装着すると歯があるように見えるため、笑った時や会話中でも隙間が目立ちにくくなります。
特に前歯に近い位置で抜歯した場合や、人前で話す機会が多い方にとっては見た目への影響に対する不安を軽減できる方法です。ポンティックは見た目を補うための処置であり、矯正治療の進行に合わせて調整しながら使用されます。
インビザラインを検討している方は、横浜市瀬谷区の「三ツ境駅前スマイル歯科」にご相談ください

今回は、インビザライン矯正で抜歯を行った後、スペースが埋まるまでの過程について詳しく解説しました。歯の移動速度には個人差があり、歯並びや生活習慣によっても変化するため、隙間が埋まるまでに時間がかかることもあります。
しかし、歯は少しずつ計画的に移動し、最終的には整った歯並びへと導かれていきます。また、治療中に隙間が気になる場合には、ポンティックなどを用いて見た目に配慮しながら治療を進めることも可能です。
三ツ境駅前スマイル歯科では、患者様一人ひとりのお悩みやご要望に加え、歯並びや噛み合わせの状態を総合的に判断したうえで、適切な治療計画をご提案しています。当院では、無料の矯正相談を行っており、LINE相談やオンライン相談にも対応しています。
インビザライン矯正や抜歯の必要性について不安や疑問のある方は、ぜひお気軽にご相談ください。新規矯正相談のご予約は公式LINEより受け付けております。
※LINEでの矯正相談は、横浜市近隣にお住まいの方限定となります