インビザライン治療は、まず歯科医師、担当スタッフとのカウンセリングから始まります。ここでは、歯並びや噛み合わせの悩みを相談し、インビザラインが適応可能かどうかを確認します。
治療の目的や希望をヒアリングし、メリットやデメリット、他の治療法との比較も含めて説明されます。
費用や治療期間の目安、治療中の生活の注意点についても詳しく案内されるため、この段階で不安や疑問を解消しましょう。
初回カウンセリングは無料や低額のクリニックが多いので、気軽に受けられます。
インビザライン矯正の治療は、カウンセリングから始まり、精密検査や3Dシミュレーションによる計画作成を経て、治療を開始する流れです。
治療中は数週間ごとにマウスピースを交換し、定期的に通院して進捗をチェックします。治療終了後は保定期間が設けられ、歯並びを安定させます。
症状によって具体的なステップや期間は異なるため、事前の説明をよく確認することが重要です。
今回はインビザライン治療の流れについて詳しく解説していきます。

インビザライン矯正の流れは、以下の9つのステップに分かれて進められます。それぞれのステップで行う内容を具体的に説明します。
インビザライン治療は、まず歯科医師、担当スタッフとのカウンセリングから始まります。ここでは、歯並びや噛み合わせの悩みを相談し、インビザラインが適応可能かどうかを確認します。
治療の目的や希望をヒアリングし、メリットやデメリット、他の治療法との比較も含めて説明されます。
費用や治療期間の目安、治療中の生活の注意点についても詳しく案内されるため、この段階で不安や疑問を解消しましょう。
初回カウンセリングは無料や低額のクリニックが多いので、気軽に受けられます。
カウンセリング後、インビザラインが適応可能と判断された場合、精密検査を行います。
主な内容は以下の通りです。
| 歯型採取 | 口腔内の状態を正確に記録するため、従来のシリコン素材か、最新のデジタルスキャンを用います。三ツ境スマイル歯科はデジタルスキャン(iTero)を導入しております。嘔吐反射(えづきやすい)のある方にも安心して検査を受けていただけます。 |
|---|---|
| X線撮影 | 顎骨や歯の根の状態を確認し、治療の安全性を高めます。 |
| 口腔内写真撮影 | 治療前後の状態を比較できるよう、口腔内の写真を撮影します。このデータをもとに、治療計画が立てられます。 |
精密検査のデータを基に、歯科医師が治療計画を作成します。ここでは、歯の動きの順序、使用するマウスピースの枚数、治療期間の見通しが決まります。
治療計画は治療のゴールが明確に設定されるため、さらに詳しい説明を受けることができます。
この段階で計画に納得できない場合、再調整を依頼することも可能です。
インビザラインの治療では、最新の3Dシミュレーション技術を使用し、歯が動く過程や治療後の歯並びを視覚的に確認できます。
たとえば、治療開始から終了までの各ステップでの歯並びが再現されるため、どのように治療が進むかを具体的に把握できます。
このシミュレーションにより、治療のゴールを明確にイメージできるだけでなく、治療に対する安心感も得られます。
3Dシミュレーションをもとに作成されたマウスピースが完成すると、治療がスタートします。患者様は指示された装着時間(1日20〜22時間)を守りながら、2週間ごとに新しいマウスピースに交換していきます。
この段階で重要なのは、食事や歯磨き時以外は常に装着し、計画通りに歯を動かすことです。
装着方法や注意点は、歯科医師・担当スタッフから詳しく説明されます。
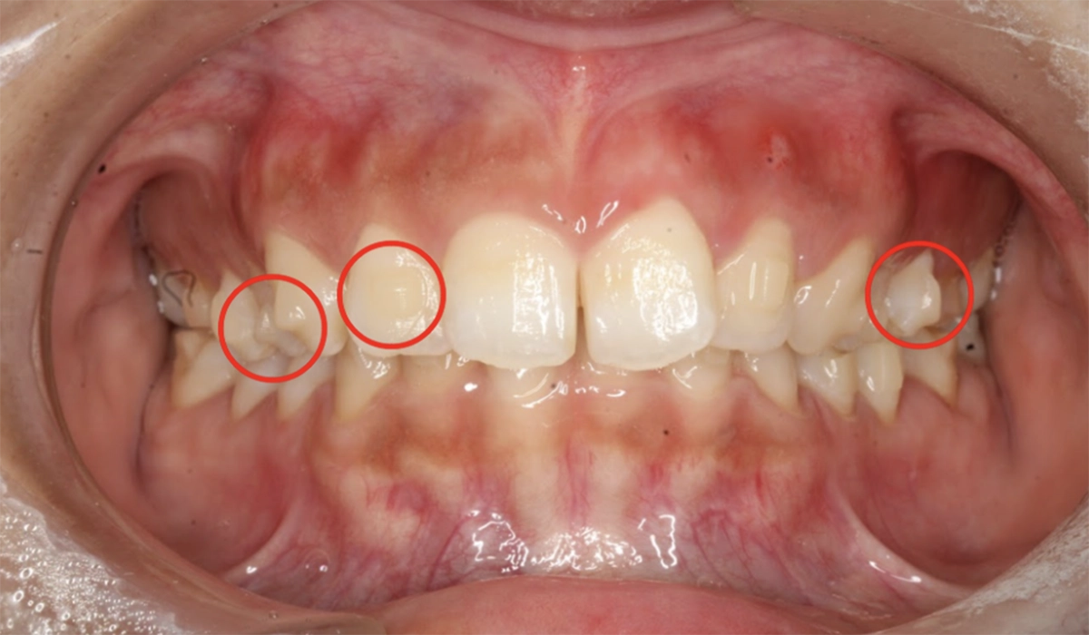
治療の進行に応じて、必要に応じて歯にアタッチメントと呼ばれる小さな突起物を装着します。
これは、マウスピースの力を効率的に歯に伝え、複雑な動きが必要な場合に対応するためのものです。
目立ちにくい素材で作られており、治療が進むにつれて取り外されます。
治療中は、4〜6週間ごとに歯科医院を訪れ、進捗状況をチェックします。
主なチェック内容は、
この通院のたびに、患者の状態に応じて計画の微調整が行われることもあります。通院頻度が少ない点は、忙しい方にとって大きなメリットです。
三ツ境駅前スマイル歯科では、「デンタルモニタリング」という最新のモニタリングシステムを導入しています。
専用のアプリと機械を使い、患者様にご自宅でお口の状態をスキャンしていただくと、遠隔で歯科医師がそのデータを確認することができます。
このシステムを活用することで、来院回数を大幅に減らすことが可能となります。
治療期間は平均6ヶ月〜2年で、計画通りに歯並びが整うと治療が終了します。
この最終ステップでは、歯科医師が噛み合わせや見た目のバランスを確認します。
患者様が満足する結果を得られた場合、治療完了となります。
治療終了後、歯並びを安定させるための保定期間が必要です。リテーナーと呼ばれる保定装置を装着し、治療後の歯並びが元に戻らないようにします。
保定期間は約1〜2年ですが、歯科医師の指示に従ってリテーナーを適切に使用することで、矯正の成果を長く保つことができます。
インビザライン矯正は、患者様に合わせた治療の提案が可能で、最先端の技術を駆使した治療法です。
各ステップでの透明性や丁寧なサポートがあるため、不安を解消しながら治療を進められます。
歯科医師との密な連携を保ちながら、理想の歯並びを目指しましょう。

インビザライン矯正では、各ステップに応じて異なる期間と費用がかかります。それぞれのステップに分けて詳細に解説します。
| 期間 | 初回カウンセリングは1日で完了します。歯並びや噛み合わせに関する悩みを相談し、治療が適応可能かどうかを確認します。治療のメリットやデメリット、おおよその期間、費用の見通しが説明され、不安や疑問を解消する場でもあります。 |
|---|---|
| 費用 | 無料または3,000〜5,000円程度が一般的で、クリニックによって異なります。 |
| 期間 | 検査の予約から結果の分析まで1〜2週間程度かかります。この段階で歯型採取、口腔内スキャン、X線撮影、写真撮影などが行われ、歯や顎の状態を詳細に把握します。これにより、治療の安全性や適応の有無を確認します。 |
|---|---|
| 費用 | 3万〜5万円が目安。これにはスキャンや撮影などの費用が含まれ、治療費に組み込まれる場合が多いです。 |
三ツ境駅前スマイル歯科では、初回カウンセリングと同日に精密検査を受けることができます。初回カウンセリング時に5,500円をお支払いいただくと、精密検査代、検査結果の説明等は無料で受けることができます。
| 期間 | 精密検査のデータをもとに、3Dシミュレーション技術を用いて治療計画が作成されます。治療後の歯並びや歯の動きを視覚的に確認できるため、具体的なイメージを持ちながら治療を進める判断ができます。シミュレーション完成後、患者が計画に同意するとマウスピースの作製が始まります。 |
|---|---|
| 費用 | この段階の費用は通常、検査費用に含まれます。 |
| 期間 | 患者様の歯並びの状態により、治療期間は軽度の場合6ヶ月、通常は1年半〜2年程度が一般的です。治療は数週間ごとにマウスピースを交換し、少しずつ歯を動かしていきます。1日20〜22時間の装着が推奨されます。 |
|---|---|
| 費用 | 総額70万〜100万円程度です。複雑な症例の場合は100万円以上になることもあります。この費用には、マウスピース作製費用や治療中の定期通院費が含まれる場合が多いです。 |
| 期間 | アタッチメント装着は30分〜1時間程度で完了します。歯に取り付ける小さな突起物で、治療中に歯を正確に動かす役割を果たします。複雑な症例で特に効果的です。 |
|---|---|
| 費用 | 通常、アタッチメント費用は治療費に含まれます。 |
| 期間 | 4〜6週間ごとに通院し、治療の進捗を確認します。1回の通院時間は30分程度で、治療の進行状況やマウスピースの適合具合をチェックします。必要に応じて新しいマウスピースを受け取ります。 |
|---|---|
| 費用 | 通院費は治療費に含まれる場合が多いですが、1回5,000〜10,000円が別途必要な場合もあります。 |
| 期間 | 矯正終了後、歯並びを安定させるための保定期間が設けられます。リテーナー(保定装置)を1〜2年間装着し、歯並びが元に戻らないようにします。 |
|---|---|
| 費用 | リテーナーの作製費用は3万〜10万円程度が相場です。これも治療費に含まれるか、別途請求されるかはクリニックによります。 |
| 総額 | インビザライン矯正の総費用は、一般的な症例で70万〜100万円程度です。複雑な症例では100万円を超えることもあります。 |
|---|---|
| 分割払い | 多くのクリニックで分割払いが可能で、月々1〜3万円程度の支払いで済む場合もあります。 |
インビザライン矯正は、カウンセリングから治療開始、保定までの全プロセスが明確に計画されており、各ステップごとに期間と費用が設定されています。
費用には検査費、マウスピース作製費、定期通院費が含まれることが一般的ですが、リテーナーの費用が別途発生する場合もあるため、事前に確認することが重要です。
歯並びの状態や希望に応じて、最適な治療プランを選びましょう。

三ツ境駅前スマイル歯科では豊富な治療実績を元に、患者様一人ひとりのご希望に沿った治療をご提案させていただきます。
また、治療開始前はもちろん、治療中もご不安やお悩みをお聞きし、安心して治療を受けていただけるよう、心がけております。
LINEで新規の矯正相談を承っておりますので、横浜市周辺でインビザラインでの矯正をお考えの方はぜひ、三ツ境駅前スマイル歯科にご相談ください。