成人矯正症例
(マウスピース・インビザライン)
-
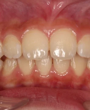
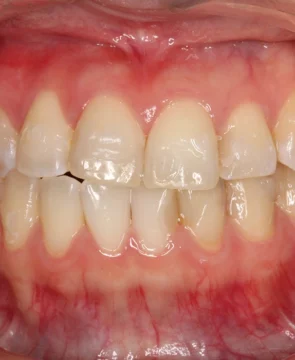
2025/05/09歯並びのがたつきが気になる12歳女性の矯正症例紹介 今回ご紹介する患者様は、患者様は歯並びのがたつきを気にされており、矯正検査後Ⅰ級叢生と診断いたしました。成長期におけるインビザライン矯正症例となります。 治療前後の比較 術前:正面 術後:正面 術前:右側 術後:右側 術前:左側 術後:左側 術前:上顎 術後:上顎 術前:下顎 術後:下顎 術前:前歯部あおり 術後:前歯部あおり 術前:オーバージェット 術後:オーバージェット 主訴 前歯のがたつきが気になる 治療期間 14ヶ月 治療費用 990,000円(税込) 治療内容 患…
... もっと見る -
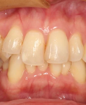
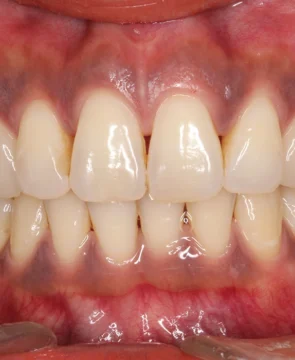
2025/04/11上下の歯並びのがたつきが気になる40代女性の矯正症例紹介 今回ご紹介する患者様は、上下の歯並びのがたつきを気にされており、矯正検査後叢生1級と診断いたしました。左側上下親知らずも抜歯いたしました。 治療前後の比較 術前:正面 術後:正面 術前:右側 術後:右側 術前:左側 術後:左側 術前:上顎 術後:上顎 術前:下顎 術後:下顎 術前:前歯部あおり 術後:前歯部あおり 術前:オーバージェット 術後:オーバージェット 主訴 上下の歯並びのがたつきが気になる 治療期間 14カ月 治療費用 550,000円(税込) 治療内容 上下の歯…
... もっと見る -
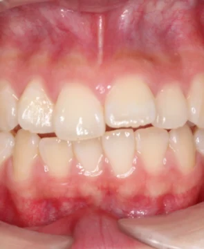
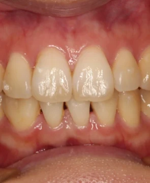
2025/03/28前歯の噛み合わせ・歯並びが気になる30代女性の矯正症例紹介 今回ご紹介する患者様は、前歯の噛み合わせの悪さ、歯並び、下の前歯が上の歯茎に当たることを気にされており、矯正検査後叢生Ⅰ級と診断いたしました。 治療前後の比較 術前:正面 術後:正面 術前:右側 術後:右側 術前:左側 術後:左側 術前:上顎 術後:上顎 術前:下顎 術後:下顎 術前:前歯部あおり 術後:前歯部あおり 術前:オーバージェット 術後:オーバージェット 主訴 前歯の噛み合わせ・歯並びが気になる 治療期間 4カ月 治療費用 935,000円(税込) 治療内容 前歯…
... もっと見る -
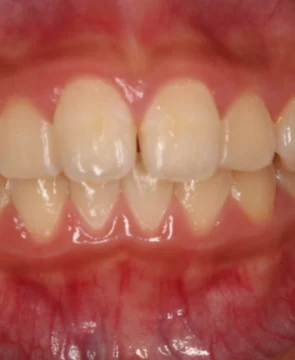
2025/03/21上下前歯部のがたつきが気になる30代女性の矯正症例紹介 今回ご紹介する患者様は、上下前歯部のがたつきを気にされており、検査後Ⅰ級叢生と診断いたしました。左上7番予後不良により抜歯し、左上8番を配列したためやや治療期間が長くなるも満足いく配列となり患者様も満足していただけました。 治療前後の比較 術前:正面 術後:正面 術前:右側 術後:右側 術前:左側 術後:左側 術前:上顎 術後:上顎 術前:下顎 術後:下顎 術前:上顎前歯部寄り 術前:下顎前歯部寄り 術後:前歯部あおり 術後:オーバージェット 主訴 上下前歯部のがたつきが気…
... もっと見る -
2025/03/14下顎の前歯のがたつきが気になる20代女性の矯正症例紹介 今回ご紹介する患者様は、下顎前歯のがたつきが気になっており、また出来るだけ目立たせずに治療したいため、インビザラインでの矯正を希望されました。検査後、Ⅰ級叢生と診断。右下2番を抜歯しスペースを確保して前歯3本仕上げをいたしました。治療期間も短く患者様も満足していただけました。 治療前後の比較 術前:正面 術後:正面 術前:右側 術後:右側 術前:左側 術後:左側 術前:上顎 術後:上顎 術前:下顎 術後:下顎 術前:前歯部 術後:前歯部 術前:オーバージェット 術後:オーバ…
... もっと見る -
2025/03/07上顎の歯並びのがたつきが気になる14歳女性の矯正症例紹介 今回ご紹介する患者様は、上顎の歯並びのがたつきを気にされており、矯正検査後Ⅰ級叢生と診断いたしました。矮小歯があるため個性を生かして配列。 治療前後の比較 術前:正面 術後:正面 術前:右側 術後:右側 術前:左側 術後:左側 術前:上顎 術後:上顎 術前:下顎 術後:下顎 術前:前歯部 術後:前歯部 術前:オーバージェット 術後:オーバージェット 主訴 上顎の歯並びのがたつきが気になる 治療期間 12カ月 治療費用 660,000円(税込) 治療内容 上顎の歯並びのがたつ…
... もっと見る -
2025/02/28全体的な歯のがたつきが気になる20代女性の矯正症例紹介 今回ご紹介する患者様は、患者様は全体的な歯のがたつきを気にされており、検査後Ⅰ級叢生と診断いたしました。 ブラケット矯正による抜歯矯正も検討しつつも口元の前突感がないため非抜歯にてマウスピース矯正で完了。※親知らずは抜歯している。 患者様のコンプライアンスが良好のため治療期間が24カ月の予定が18カ月で完了となりました。 治療前後の比較 術前:正面 術後:正面 術前:右側 術後:右側 術前:左側 術後:左側 術前:上顎 術後:上顎 術前:下顎 術後:下顎 術前:前歯部 術後…
... もっと見る -
2025/02/21全体的な歯列のがたつきが気になる20代女性の矯正症例紹介 今回ご紹介する患者様は、全体的な歯列のがたつきを気にされており、検査後Ⅰ級叢生と診断。 非抜歯と可能な限りIPRなしにこだわったため、大臼歯の遠心移動を主体としてスペースを確保したため治療期間がやや長くなるも18カ月で完了致しました。 治療前後の比較 術前:正面 術後:正面 術前:右側 術後:右側 術前:左側 術後:左側 術前:上顎 術後:上顎 術前:下顎 術後:下顎 術前:前歯部 術後:前歯部 術前:オーバージェット 術後:オーバージェット 主訴 全体的な歯列のがたつきが…
... もっと見る -
2025/02/07出っ歯とガタツキが気になる14歳女性の矯正症例紹介 今回ご紹介する患者様は、出っ歯とガタツキを気にされており、矯正検査後やや2級傾向の叢生と診断致しました。 治療前後の比較 術前:正面 術後:正面 術前:右側 術後:右側 術前:左側 術後:左側 術前:上顎 術後:上顎 術前:下顎 術後:下顎 術前:前歯部 術後:前歯部 術前:オーバージェット 術後:オーバージェット 主訴 出っ歯とガタツキが気になる 治療期間 12カ月 治療費用 770,000円(税込) 治療内容 患者様は、出っ歯とガタツキを気にされており、矯正検査後やや2…
... もっと見る -
2025/01/31前歯のがたつき・捩れが気になる20代女性の矯正症例紹介 今回ご紹介する患者様は、上下前歯部のがたつき、捻じれを気にされており、検査後Ⅰ級叢生と診断致しました。 治療前後の比較 術前:正面 術後:正面 術前:右側 術後:右側 術前:左側 術後:左側 術前:上顎 術後:上顎 術前:下顎 術後:下顎 術前:前歯部 術後:前歯部 術前:オーバージェット 術後:オーバージェット 主訴 前歯のがたつき・捩れが気になる 治療期間 6カ月 治療費用 550,000円(税込) 治療内容 患者様は、上下前歯部のがたつき、捻じれを気にされており、検査…
... もっと見る -
2025/01/24前歯の突出、捻じれが気になる19歳女性の矯正症例紹介 今回ご紹介する患者様は、前歯の突出、捻じれを気にされており、矯正検査後Ⅰ級叢生と診断いたしました。成人式までに改善したいとのことでマウスピース矯正にて早期治療を希望しておりました。コンプライアンス良好につき5カ月で治療完了。 治療前後の比較 術前:正面 術後:正面 術前:右側 術後:右側 術前:左側 術後:左側 術前:上顎 術後:上顎 術前:下顎 術後:下顎 術前:前歯部 術後:前歯部 術前:オーバージェット 術後:オーバージェット 主訴 前歯の突出、捻じれが気になる 治療…
... もっと見る -
2025/01/17下の歯のがたつきが気になる30代女性の矯正症例紹介 今回ご紹介する患者様は、矯正後の後戻りによる下の歯のがたつきを気にされており、矯正検査後叢生Ⅰ級と診断いたしました。 治療前後の比較 術前:正面 術後:正面 術前:右側 術後:右側 術前:左側 術後:左側 術前:上顎 術後:上顎 術前:下顎 術後:下顎 術前:前歯部 術後:前歯部 術前:オーバージェット 術後:オーバージェット 主訴 後戻りによる下の歯のがたつきが気になる 治療期間 3カ月 治療費用 440,000円(税込) 治療内容 患者様は矯正後の後戻りによる下の歯のが…
... もっと見る