通常アタッチメントは、歯科医師が個別に設計・配置を決めるアタッチメントで、形は主に四角形や楕円形、丸型、長方形などです。このタイプのアタッチメントは、力の方向や目的に応じて自由に配置できる反面、効果の出方は歯科医師の技術や経験に依存する部分もあります。
たとえば、歯を前後に動かしたい場合、移動の方向に合わせて長方形のアタッチメントを縦や横に付けることで、矯正力が正しく歯に伝わります。
インビザライン治療において、治療の効率を高めることができるのがアタッチメントです。
今回は、そもそもアタッチメントとはどんなものなのか、アタッチメントの種類やトラブルについても詳しく解説していきます。

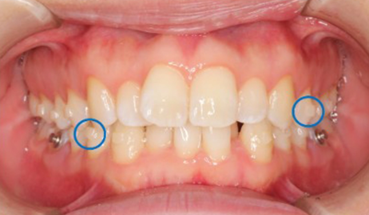
アタッチメントとは、インビザライン治療の効率を高めるために歯の表面に付ける突起物のことです。歯と同じような色の樹脂(レジン)を使用するため、目立ちにくく、治療後にはきれいに除去されます。歯の表面につけるため、舌で触った際には違和感がありますが、普段はマウスピースで覆われるので、それほど気にならなくなります。
アタッチメントは、歯をより正確に動かすための“取っ手”のような存在になります。マウスピースによる矯正力をよりフィットさせ、正確に歯に伝えることで、細かな調整も可能になります。基本的には治療終了まで装着しますが、治療途中で形状や位置を変更することもあります。
インビザライン治療で使用されるアタッチメントには様々な種類があり、それぞれ役割が異なります。以下に、アタッチメントの種類と役割について詳しくご紹介します。
通常アタッチメントは、歯科医師が個別に設計・配置を決めるアタッチメントで、形は主に四角形や楕円形、丸型、長方形などです。このタイプのアタッチメントは、力の方向や目的に応じて自由に配置できる反面、効果の出方は歯科医師の技術や経験に依存する部分もあります。
たとえば、歯を前後に動かしたい場合、移動の方向に合わせて長方形のアタッチメントを縦や横に付けることで、矯正力が正しく歯に伝わります。
最適アタッチメントは、インビザライン社の独自アルゴリズムにより、自動的に形状・位置・大きさが決定されるアタッチメントです。これは歯の動きに必要な力の方向や大きさ、角度を解析し、それに合わせて理想的な形に設計されます。
最適アタッチメントは、より効率的かつ安定的に歯を動かすために開発されており、「目的別」にいくつかのサブタイプが存在します。
回転用アタッチメントは、歯の軸を中心にねじるような動き(回転)を補助するためのものです。
特に円形に近い小臼歯や犬歯などはアライナーだけでは回転しにくいため、このアタッチメントでアライナーとの摩擦を強め、確実に力を伝えます。
歯の根の位置(ルート)をコントロールするために設計されています。歯の頭部だけでなく、根元まで正しい位置に移動させる必要がある場面で使われ、歯列全体のバランスや咬み合わせを整える際に重要です。
特に抜歯後のスペースを閉じるような症例で力を発揮します。
「ディープバイト」とは、上の前歯が下の前歯を過剰に覆い隠している状態です。この改善を目的としたアタッチメントは、前歯を圧下(歯を歯ぐき方向に押し込む動き)させることで、深い咬み合わせを改善します。アタッチメントによって適切な力がかかり、前歯の圧下と同時に奥歯の挺出(歯を引っ張り出す動き)もコントロールされることがあります。
「オープンバイト」とは、奥歯が噛んでいても前歯が閉じない(隙間がある)状態です。この改善には、前歯を挺出させて噛み合わせを作る力が必要となり、その動きを助けるようなアタッチメントが用いられます。
「アンカレッジ」とは、歯の動きの支点・固定源となる概念です。アンカレッジ用アタッチメントは、特定の歯を動かさずに固定する、あるいは動きを制御するために使われます。例えば奥歯を動かさずに前歯だけを後方に引っ張るような治療の際、奥歯にアンカレッジ用アタッチメントを設置し、力が逃げないように補強します。

インビザラインのアタッチメントで起こるトラブルをご紹介します。
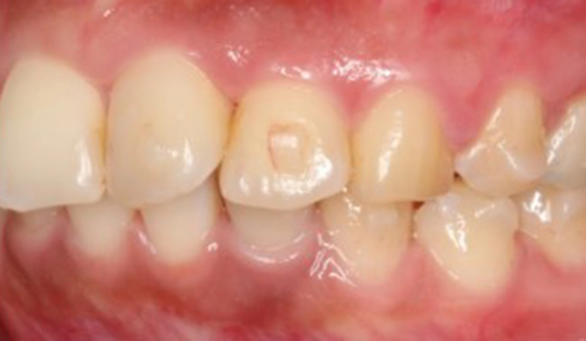
インビザラインのアタッチメントには着色することがあります。アタッチメント自体は歯と同じような色のレジン(歯科用樹脂)でできているため、装着直後は目立ちにくいです。しかし、色素の強い飲み物や食べ物を口にすることが多い方や喫煙者、磨き残しがあるとアタッチメントの変色、周囲の着色が目立つようになります。
着色しやすい飲食の後には素早く歯磨きを行い、アタッチメント周囲も意識してブラッシングしましょう。歯科医院での定期的なメンテナンスを受けることも効果的です。極端な変色がある場合には、歯科医師の判断でアタッチメントの再装着を行う場合もあります。
インビザラインのアタッチメントが原因で口内炎ができることがあります。ただし、頻繁に起こるわけではなく、特定の条件下で発生することが多いです。アタッチメントは小さな突起物ですが、特に前歯や犬歯付近にあると、話す・食べる・笑うときに頬や唇の内側に当たって摩擦を起こしやすく、口内炎ができる原因となります。また、マウスピースを外す際、アタッチメントが引っかかって内側の粘膜をこすってしまい、傷ができて口内炎につながるケースもあります。
一時的に話し方をゆっくりにしたり、食べ方を工夫することで摩擦を減らすことで口内炎の発生を防ぐことができます。何度も同じ場所に口内炎ができる場合や、アタッチメントの角や表面が鋭く感じる場合には早めに歯科医師に相談しましょう。

アタッチメントに関するよくある質問に対して、わかりやすくお答えします。
アタッチメントは、歯の表面に小さく盛り上げるように装着されるため、それ自体が痛みを引き起こすことは通常ありません。ただし、装着初日やアライナーの交換直後には、歯が動く際の違和感や軽い痛みを感じることがあります。これはアタッチメントが歯に適切な力をかけるためであり、多くの場合、数日で慣れる程度の不快感です。
また、稀にアタッチメントが頬の内側や唇に接触して口内炎の原因になることもあります。その場合は、歯科医院で形状を調整してもらうことで刺激を軽減することが可能です。
アタッチメントは歯に近い色のレジンで作られており、基本的には目立ちにくいです。ただし、前歯など見えやすい位置に複数つく場合や、口を大きく開けたときには多少見えることもあります。それでも、従来の金属ブラケットに比べるとかなり目立ちにくいです。
着色については、コーヒーやカレーなどの色素が強い食品を頻繁に摂取すると、アタッチメントが変色することがあります。着色が気になる方は、飲食後はすぐにうがいや歯磨きをするなど、日頃のケアを心がけるとよいでしょう。
アタッチメントが外れてしまうことは、少なくありません。特に硬い食べ物をかじったときや、アライナーの着脱時に強く引っかけた際に外れることがあります。アタッチメントが1個外れた程度では治療に影響を与えることは少ないですが、そのまま放置していると、歯の移動が予定通りに進まず、最終的な仕上がりに影響が出る可能性があります。
そのため、アタッチメントが取れたことに気付いた場合は、できるだけ早く歯科医院に連絡し、すぐに再装着が必要かどうか確認しましょう。再装着は比較的短時間で完了し、痛みもほとんどありません。

今回はインビザライン治療で装着するアタッチメントについて解説しました。アタッチメントは歯を効率よく動かすために重要な働きをします。様々な種類や役割があり、基本的に治療終了まで装着するものですが、口内炎や着色などのトラブルの原因になることもあります。普段の口腔ケアはもちろん、歯科医院での定期的なメンテナンスも受けるようにしましょう。
三ツ境駅前スマイル歯科では豊富な知識と経験をもつ歯科医師によるインビザライン治療だけでなく、クリーニングや一般治療も含めたお口のトータルケアをさせていただきます。インビザラインに関して不安のある方はぜひ、三ツ境駅前スマイル歯科にご相談ください。
LINEでの新規矯正相談予約も承っております。
※ご相談は横浜近隣にお住まいの方限定となります