どうしてもインビザライン治療で効果が出にくい場合や、治療が長期化する見込みがある場合は、他の矯正治療法への切り替えも検討しましょう。
たとえば、部分的にワイヤー矯正を併用する「ハイブリッド矯正」や、ブラケット矯正に変更するケースもあります。
インビザラインは万能な矯正装置ではなく、特定の歯の動き(大きな回転、圧下、歯のねじれなど)には限界があります。担当歯科医師と相談のうえ、目標とする歯並びや治療期間を踏まえて、最も効果的な方法を選択することも重要です。
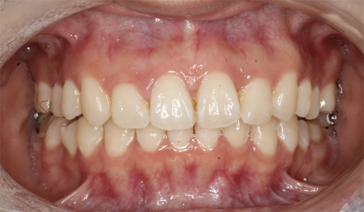
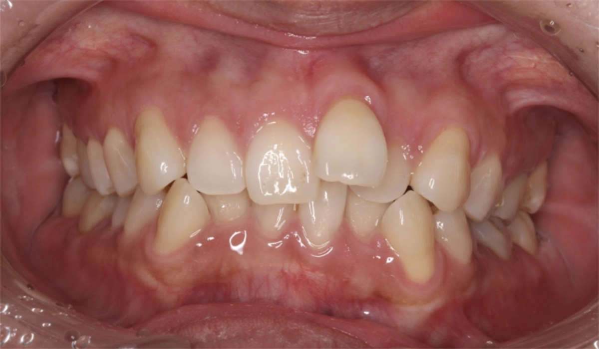
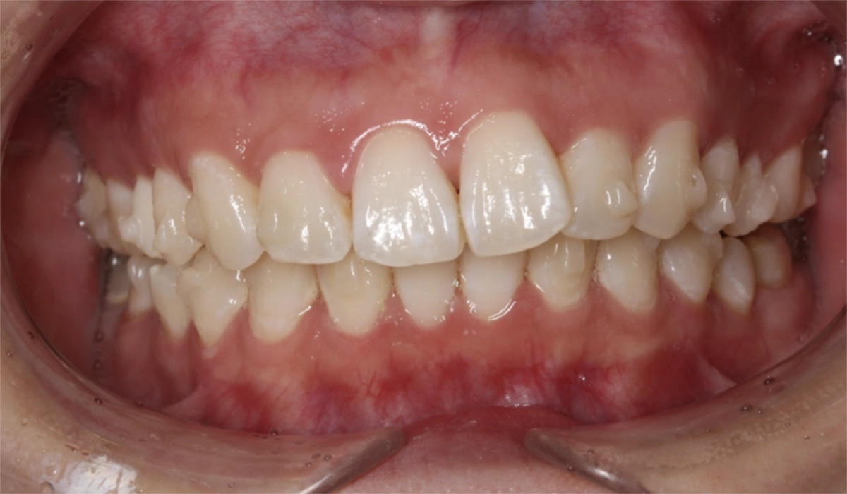
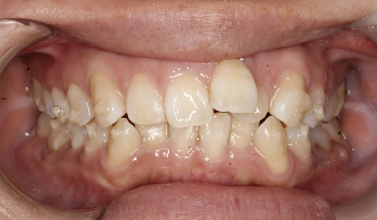
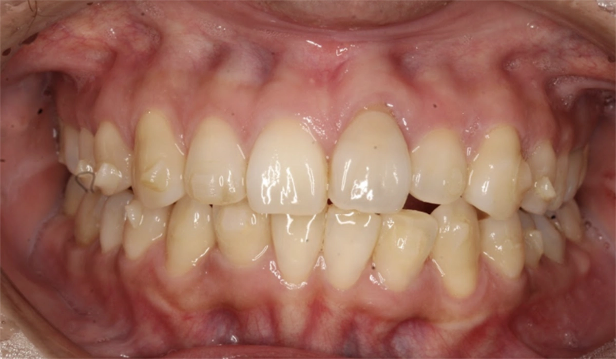
矯正を始める上で、歯並びがどのように変化していくのか、その時期はいつ頃なのかについて気になる方は多いと思います。今回はインビザライン治療の経過、変化を感じられる時期について詳しく解説していきます。

インビザライン治療で使用するマウスピースは1枚で約0.25㎜歯を動かすことができます。マウスピースは1〜2週間で新しいものに交換するため、1ヵ月で歯を動かせる最大量は1㎜程度です。
最初の1ヵ月は歯の動きは始まっていますが、見た目の変化はまだ小さい場合が多いです。3ヵ月ほど経つと前歯などの見える部分の並びが整ってきて、「なんとなく変わってきた」と感じる人が増えてきます。
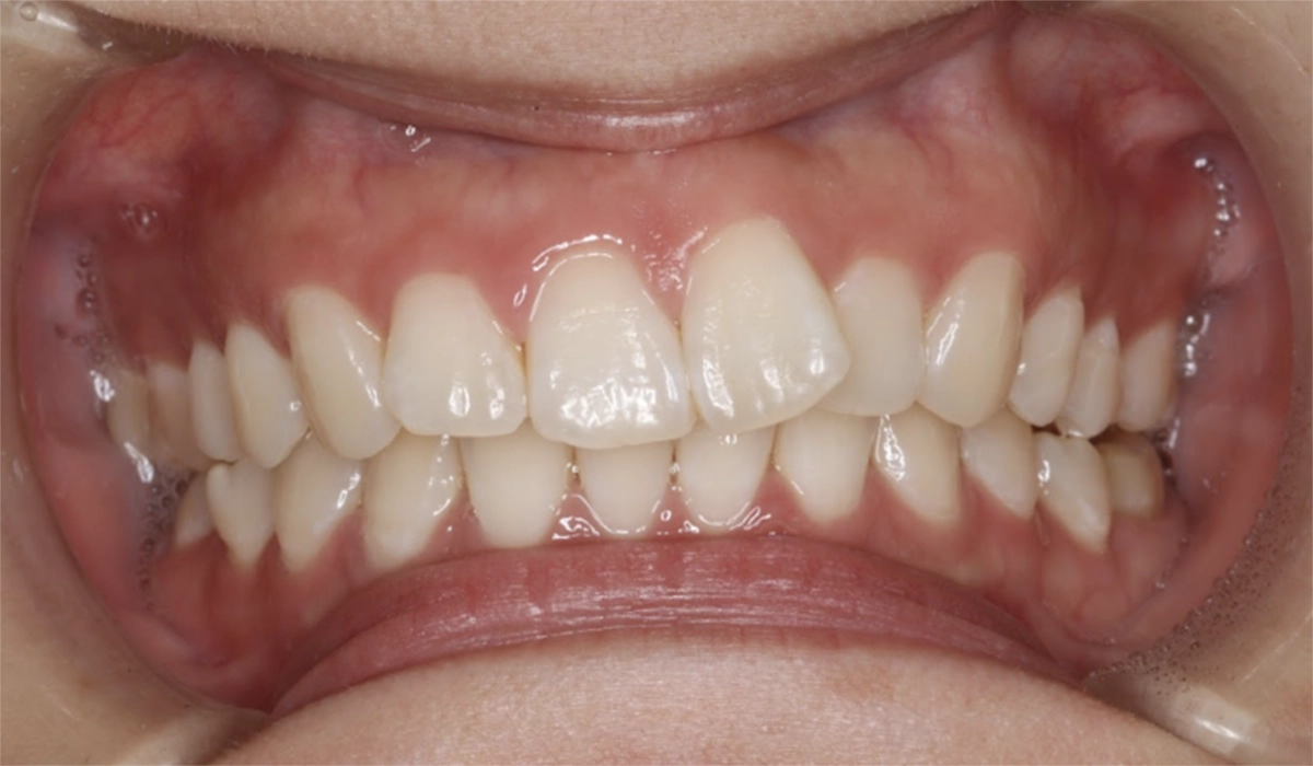
開始から半年ほど経過すると、明らかな変化を実感できます。特に軽度〜中等度の歯列不正の場合、この時期には歯並びがかなり整ってきているケースも多く、周りの人にも変化に気づいてもらえるでしょう。
| 治療方法 | インビザライン |
|---|---|
| 費用 | 税込1,100,000円 |
| リスク副作用 | ・協力度(装着時間、来院、顎間ゴムの使用など)が治療機関や結果に影響します。 ・事前のシミュレーションのゴールを目指し歯を移動させていく治療法ですが、歯の動きには個人差があるため確実に結果を保証するものではありません。 ・食事に時間がかかり、歯ごたえのあるものが食べにくくなります。 ・歯の移動に伴う痛みや装置による口内炎、関節音、閉口障害、頭痛、耳鳴り、筋の硬直などが生じることがあります。 ・歯の動きに伴い、歯肉退縮や歯根吸収が生じることがあります。 ・ブラックトライアングル(三角形の隙間)ができることがあります。 ・歯の動かし方によっては詰め物やかぶせ物を外す可能性があります。外した場合は矯正終了まで仮の材料を入れ、終了後に新たに作り直す必要があります。 |
| 治療方法 | インビザライン |
|---|---|
| 費用 | 税込660,000円 |
| リスク副作用 | ・協力度(装着時間、来院、顎間ゴムの使用など)が治療機関や結果に影響します。 ・事前のシミュレーションのゴールを目指し歯を移動させていく治療法ですが、歯の動きには個人差があるため確実に結果を保証するものではありません。 ・食事に時間がかかり、歯ごたえのあるものが食べにくくなります。 ・歯の移動に伴う痛みや装置による口内炎、関節音、閉口障害、頭痛、耳鳴り、筋の硬直などが生じることがあります。 ・歯の動きに伴い、歯肉退縮や歯根吸収が生じることがあります。 ・ブラックトライアングル(三角形の隙間)ができることがあります。 ・歯の動かし方によっては詰め物やかぶせ物を外す可能性があります。外した場合は矯正終了まで仮の材料を入れ、終了後に新たに作り直す必要があります。 |

治療前には必ず歯科医師や担当スタッフとのカウンセリングを行います。歯並びや噛み合わせの悩みを相談し、インビザラインが患者様の歯並びに適応可能かどうかを確認します。
治療の目的や改善したい箇所をヒアリングし、メリットやデメリット、他の治療法との比較も含めて説明されます。
費用や治療期間の目安、治療中の注意点についても詳しく案内されるため、この段階で気になることを質問して不安や疑問を解消しましょう。
初回カウンセリングは無料や低額のクリニックが多いので、気軽に受けることができます。

カウンセリング後、治療計画作成に必要なデータを採得するために精密検査を行います。検査の主な内容は以下の通りです。

精密検査から2〜3週間ほどで治療計画ができあがり、その後歯科医師から説明を受けることができます。
インビザライン治療では最新の3Dシミュレーションを使用し、歯が動く過程や治療後の歯並びを視覚的に確認できるため、最終的なゴールをイメージしやすいことが特徴です。
また、この段階で治療のゴールが明確に設定されるため、治療期間や費用などさらに詳しい説明を受けることができます。計画に納得できない場合、再調整を依頼することも可能です。
納得する治療計画が出来上がったら、そのシミュレーションを元に治療で使用するマウスピースが作成されます。
治療終了までのマウスピースが全て作成されるため、治療開始後は患者様自身で指示されたタイミングでのマウスピース交換が必要となります。
マウスピースが完成すると、治療開始となります。装着時間や定期的な通院頻度を守りながら治療を進めていきます。装着方法や注意点は、歯科医師・担当スタッフから詳しく説明されます。
治療を効率的に進めるために、必要に応じて歯にアタッチメントと呼ばれる小さな突起物を装着します。

インビザライン治療の経過を早めることはできるのか、その方法をご紹介します。
クリニックの知識や技術は治療経過や結果に大きな影響を与えます。特に重要なのが、治療前に行う3Dシミュレーションの質です。精度の高いシミュレーションができるクリニックでは、歯の動きや噛み合わせまで、しっかりと計算された計画を立てることができ、結果として治療がスムーズに進みます。
また、インビザラインを含む矯正治療の経験が豊富な歯科医師は、治療中に起こる予期せぬ歯の動きにも柔軟に対応でき、必要な修正やアタッチメントの調整も的確に行ってくれます。
経験の浅いクリニックでは、適切な修正や調整が行われず、治療が長引いたり、思ったような仕上がりにならないこともあります。
インビザライン治療では患者様の協力度がとても重要になります。推奨されている1日22時間以上の装着時間や正しい装着方法が守られていないと、歯が治療計画通りに動かないため、経過は遅くなります。
食事と歯磨き以外はマウスピースを必ず装着し、装着の際には、「チューイー」と呼ばれるシリコン素材の補助具を使用するなど、効率的に歯が動くように心がけましょう。
装着時間や装着方法と同じように、マウスピースの交換時期も守るようにしましょう。歯の移動に合わせたタイミングで、通常は1~2週間ごとに新しいアライナーへ交換します。
しかし、前のステップで十分に歯が動いていないのに新しいアライナーに交換してしまうと、ズレが生じて矯正効果が下がります。
順調に歯が動いていれば交換のタイミングが早まることもありますが、あくまで歯科医師の判断で決定されることなので、自己判断で交換頻度を変更しないようにしましょう。
従来のワイヤー矯正よりも通院頻度は少ないですが、定期的な通院は不可欠です。歯科医師によるチェックを受けることで、マウスピースに不具合がないか、歯の動きが順調かを確認し、必要に応じて微調整が行われます。
インビザラインは見た目の変化が分かりにくいこともあり、自己判断で問題がないと思い込んでしまうことも少なくないので、決められた通院日程を守りましょう。

インビザライン治療で経過が長引いていると感じた際の対処法をご紹介します。
治療が長引いていると感じた場合に大切なのが、担当歯科医師とのコミュニケーションです。多くのインビザライン治療では、治療開始時に3Dシミュレーションによる治療計画(クリンチェック)が作成されます。
このシミュレーションに基づいてアライナーが作成されているため、実際の進行状況と計画のズレが生じた場合には、再度、評価や調整が必要です。
「あとどのくらいで終わるのか」「なぜ進行が遅れているのか」「再シミュレーションや再調整は必要か」といった具体的な質問をして、現在の状況を明確に把握することが大切です。
担当歯科医師の説明に納得がいかない、または改善の兆しが見えない場合には、他院でのセカンドオピニオンを受けるのも有効な選択です。インビザラインは装置が同じでも、治療計画や進め方はクリニックごとに異なります。
特に治療経験が豊富な矯正専門医であれば、より的確なアドバイスや、別の角度からの治療提案をしてくれることがあります。
セカンドオピニオンを受ける際は、現在の治療経過や使用中のアライナー、最初のシミュレーション資料などを持参すると、より具体的な診断が可能になります。
どうしてもインビザライン治療で効果が出にくい場合や、治療が長期化する見込みがある場合は、他の矯正治療法への切り替えも検討しましょう。
たとえば、部分的にワイヤー矯正を併用する「ハイブリッド矯正」や、ブラケット矯正に変更するケースもあります。
インビザラインは万能な矯正装置ではなく、特定の歯の動き(大きな回転、圧下、歯のねじれなど)には限界があります。担当歯科医師と相談のうえ、目標とする歯並びや治療期間を踏まえて、最も効果的な方法を選択することも重要です。

今回はインビザライン治療の経過について解説しました。インビザライン矯正の経過は個人差がありますが、一般的に半年ほど経つと目に見えて変化を感じることができます。
正しい装着時間や装着方法、定期的な通院を守るなど、患者様自身の協力度も経過を早めることにつながりますが、治療が長引いていると感じる場合には担当歯科医師に治療の進行具合を確認することや他の治療方法を検討することも効果的です。
三ツ境駅前スマイル歯科では、知識と経験豊富な歯科医師が患者様一人ひとりに合った治療計画をご提案します。インビザラインが上手く進むか不安のある方はぜひ、三ツ境駅前スマイル歯科にご増段ください。
LINEでも新規矯正相談予約を承っております。