インビザラインをして半年後の歯並びの変化は?変化が早い人の特徴を紹介
目立ちにくい透明なマウスピースで治療を行うインビザラインは、近年とても注目されている歯列矯正方法です。しかし、本当にマウスピースを装着するだけで歯並びがきれいになるのか、疑問に感じている方もいるのではないでしょうか。
今回は、インビザラインを半年続けるとどの程度変化があるのか、歯並びの変化が早い人の特徴などについて詳しく解説していきます。
インビザラインは半年で
どのぐらい歯並びが変化する?

歯は顎の骨(歯槽骨)に歯根膜(しこんまく)という繊維性の組織を介してつながれています。この歯根膜はクッションのような役割を持ち、噛む力などを吸収しています。
歯列矯正では、矯正装置によって歯にかけた矯正力が歯根膜に伝わり、歯根膜が圧迫されたり引っ張られたりすることで、歯槽骨の吸収と再生を促し、徐々に歯を移動させていきます。
インビザラインで使用するマウスピースは、1枚ごとに0.25mm程度の移動を想定しており、1〜2週間ごとに新しいマウスピースへ交換します。つまり、1ヶ月では最大1㎜、半年では最大6㎜程度歯を動かすことができます。
数字だけを見るとかなり少なく感じますが、これよりも強い矯正力を加えてしまうと、歯や骨への影響も大きく、痛みが強く出たり、歯根吸収を起こしてしまうこともあります。
また、歯列矯正では水平的な歯の移動だけでなく、角度も変化していくため、実際の移動量よりも見た目の変化を感じることができる場合もあります。
矯正開始直後は歯にかかる矯正力や違和感に驚く方もいらっしゃいますが、1~2ヶ月程すると痛みや違和感にも徐々に慣れてきて、3ヶ月経過すると少しずつ歯が動いていることを実感できる方もいます。
矯正開始から半年経過すると、個人差はありますが周囲の人にも歯並びの変化を気づいてもらえるケースが多いです。特に軽度の不正咬合の場合には前歯のがたつきなどがかなり改善されるでしょう。
実際の症例でどの程度変化を感じることができるかをご紹介します。
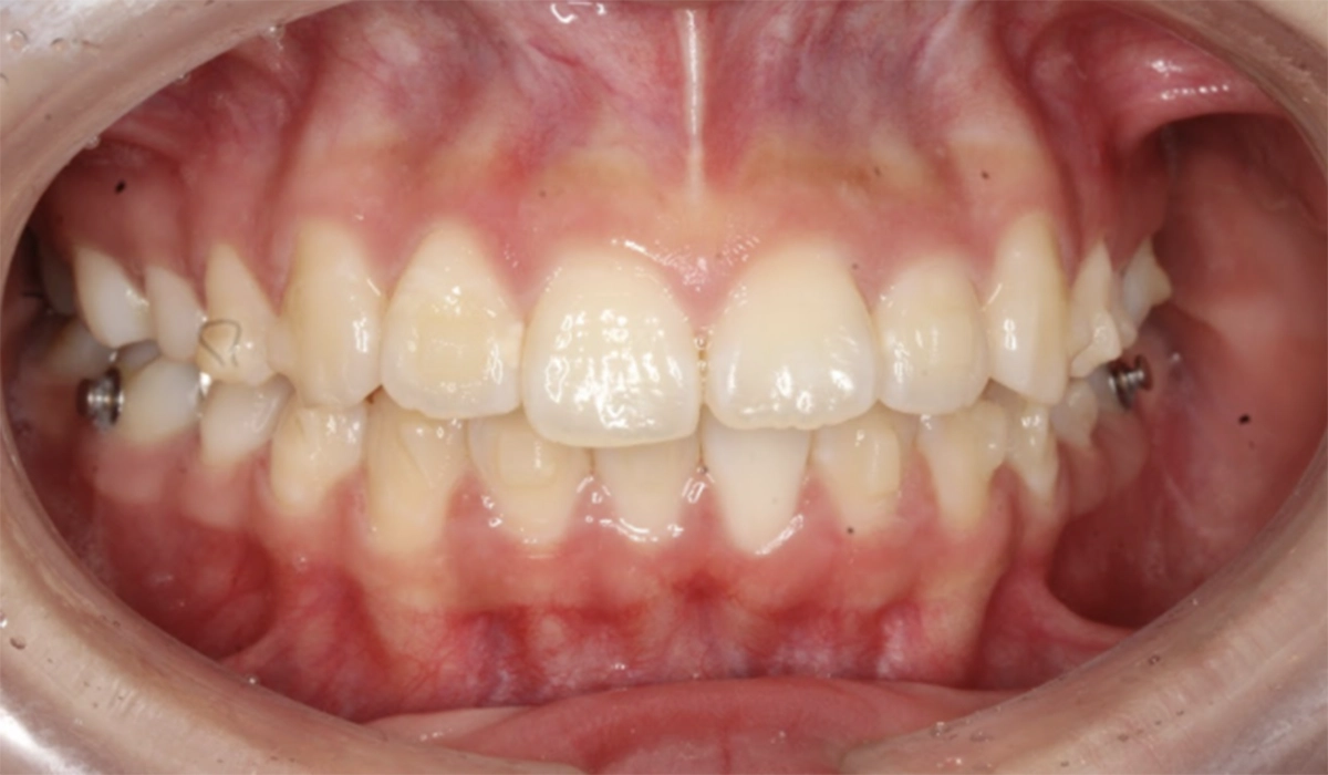
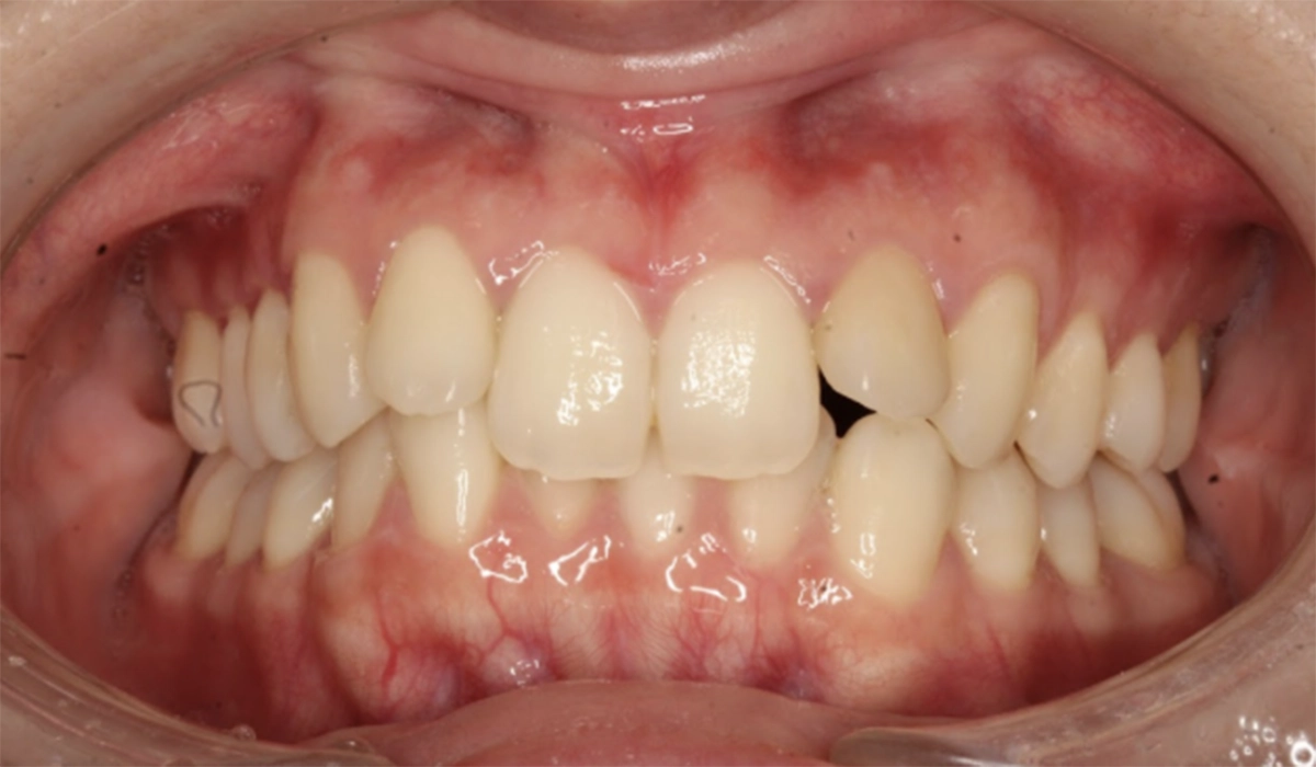
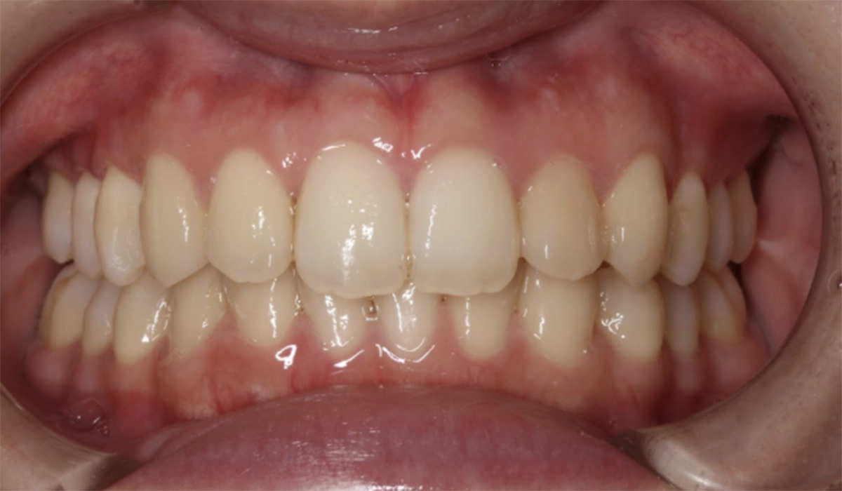
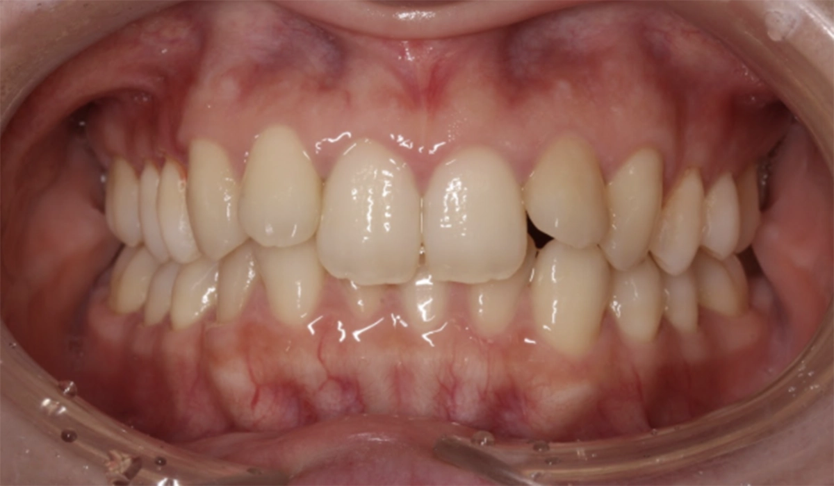
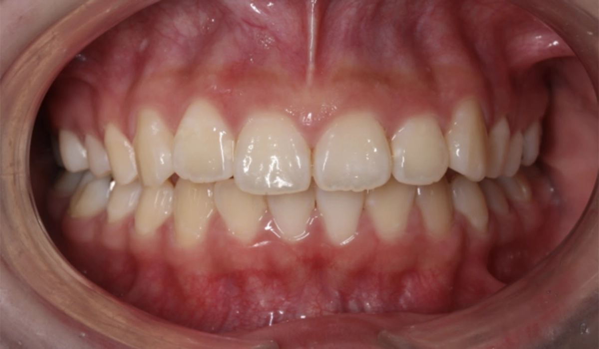
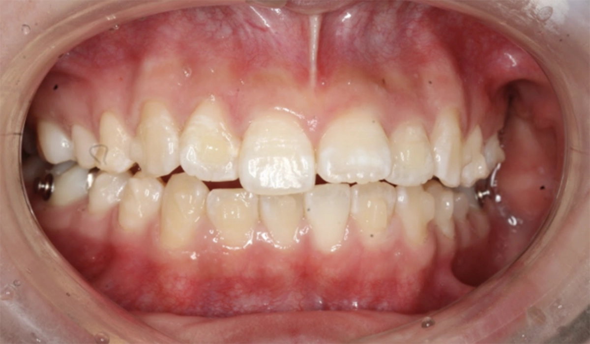
症例①:20代女性
治療前
経過1ヶ月
経過3ヶ月
経過6ヶ月
| 治療方法 | インビザライン |
|---|---|
| 費用 | 税込660,000円 |
| リスク副作用 | ・協力度(装着時間、来院、顎間ゴムの使用など)が治療機関や結果に影響します。 ・事前のシミュレーションのゴールを目指し歯を移動させていく治療法ですが、歯の動きには個人差があるため確実に結果を保証するものではありません。 ・食事に時間がかかり、歯ごたえのあるものが食べにくくなります。 ・歯の移動に伴う痛みや装置による口内炎、関節音、閉口障害、頭痛、耳鳴り、筋の硬直などが生じることがあります。 ・歯の動きに伴い、歯肉退縮や歯根吸収が生じることがあります。 ・ブラックトライアングル(三角形の隙間)ができることがあります。 ・歯の動かし方によっては詰め物やかぶせ物を外す可能性があります。外した場合は矯正終了まで仮の材料を入れ、終了後に新たに作り直す必要があります。 |
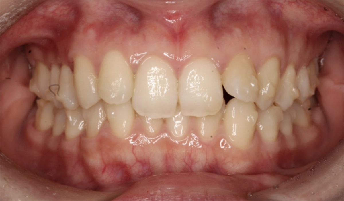
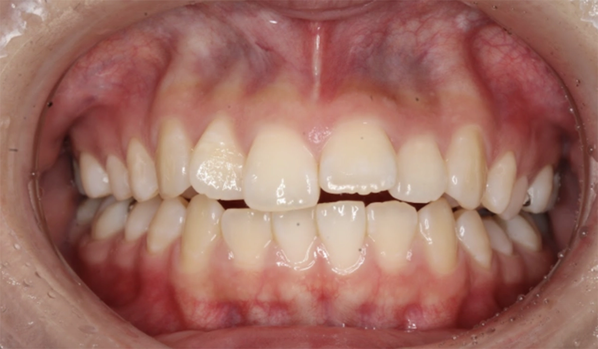
症例②:20代女性
治療前
経過1ヶ月
経過3ヶ月
経過6ヶ月
| 治療方法 | インビザライン |
|---|---|
| 費用 | 税込880,000円 |
| リスク副作用 | ・協力度(装着時間、来院、顎間ゴムの使用など)が治療機関や結果に影響します。 ・事前のシミュレーションのゴールを目指し歯を移動させていく治療法ですが、歯の動きには個人差があるため確実に結果を保証するものではありません。 ・食事に時間がかかり、歯ごたえのあるものが食べにくくなります。 ・歯の移動に伴う痛みや装置による口内炎、関節音、閉口障害、頭痛、耳鳴り、筋の硬直などが生じることがあります。 ・歯の動きに伴い、歯肉退縮や歯根吸収が生じることがあります。 ・ブラックトライアングル(三角形の隙間)ができることがあります。 ・歯の動かし方によっては詰め物やかぶせ物を外す可能性があります。外した場合は矯正終了まで仮の材料を入れ、終了後に新たに作り直す必要があります。 |
インビザラインの
治療期間はどのぐらい?

インビザラインの治療期間は、症例や治療範囲によって大きく異なります。軽度の不正咬合であれば、半年から1年程度で完了するケースが多く、特に前歯の軽微な歯列不正には短期間での治療で完了する場合が多いです。
一方で、全体矯正や重度の不正咬合症例では、一般的に1年から2年程度の治療期間が必要とされています。また、歯を移動させる「矯正期間」のほかに、移動後の歯並びを安定させる「保定期間」が必要になります。
インビザラインで
歯並びの変化が早い人の特徴
インビザラインに限らず、矯正治療では治療の進み具合に個人差があります。中には半年で目に見える変化を感じる人もいれば、1年かかってもゆっくりとしか動かないケースもあります。ここでは効果を早く実感しやすい人の特徴をご紹介します。
若年層の方
年齢は矯正の進行に大きな影響を与える要素のひとつです。特に10代後半から20代前半の若年層は、骨の代謝が活発で、歯や歯槽骨が柔軟に反応しやすいため、歯の移動が比較的スムーズです。
成人後も矯正治療は可能ですが、年齢が上がるにつれて骨の新陳代謝は緩やかになり、同じ力をかけても歯が動く速度が落ちる傾向にあります。若年層はその点で治療初期から目に見える変化が出やすいです。
非抜歯で治療をする方
インビザラインでは、抜歯の有無によって治療の進行速度が変わります。非抜歯の症例は歯を大きく動かす必要がなく、全体の治療計画もシンプルになることが多いため、治療がスムーズに進みやすい傾向があります。
抜歯を伴う矯正では、歯を大きく移動させる必要があるため、治療期間も長くなる傾向があります。また、スペースを閉じる作業や、咬合の調整も慎重に行う必要があり、変化が現れるまで時間がかかる場合もあります。
部分矯正の方
部分矯正は、前歯の軽度な乱れを短期間で整える場合に適応になります。治療対象の歯が少ないぶん変化も早く実感しやすくなります。特に審美的な改善を目的とした前歯部の部分矯正では、3ヵ月〜半年程度で成果が得られるケースが多いです。
ただし、部分矯正が可能かどうかは歯の噛み合わせや全体のバランスによって異なるため、医師の診断が必要です。
歯列不正が軽度の方
歯のガタつきの程度が軽度な場合、治療の計画も単純になり、マウスピースの枚数も少なくて済むため、治療期間が短く済むことが多いです。
例えば、前歯のわずかな重なりや隙間など、比較的軽度な不正咬合であれば、短期間で整えることができます。反対に、重度の叢生(歯のガタガタ)や咬合異常がある場合、計画的に多くの歯を移動させる必要があり、変化を実感するには時間がかかります。
口腔ケアに力を入れている
歯や歯茎の健康状態は、矯正治療の進行に大きく影響します。インビザラインでは、マウスピースの装着時間が長く、唾液の循環が通常よりも悪くなるため、虫歯や歯周病のリスクが上がります。
また、虫歯や歯周病の状態によっては、矯正を一時中断して虫歯、歯周病の治療を優先することもあります。日頃から丁寧な歯磨きと歯科医院での定期的なクリーニングを心がけ、健康な口腔環境を維持できている人は、スムーズに治療を進めやすくなります。
マウスピースの装着方法と
着用時間を守っている方
インビザラインの効果を最大限に引き出すには、1日20〜22時間の装着が推奨されています。食事と歯磨き以外の時間は常に装着しておくことが基本です。この装着時間を守らないと、歯が計画通りに動かず、マウスピースが合わなくなるなどの問題が発生します。
逆に、正しく装着し続けている人は、当初の治療計画通りにスムーズに歯が動き、予定よりも早く目に見える変化を感じることができます。
シミュレーションの精度が
高いクリニックで治療を受けている方
インビザラインでは、治療前に3Dシミュレーションをもとに治療計画を立てます。このシミュレーションは精度が高く、患者様の歯の状態や要望に合わせた適切な計画が立てられている場合、治療が順調に進みやすくなります。
歯科医師の技術が治療結果を左右することもあるので、豊富なインビザライン症例のある矯正歯科で治療を受けることが、結果的に早く変化を実感する近道といえるでしょう。
インビザラインで
歯並びが変化しにくい原因

インビザラインで歯並びが変化しやすいかどうかは、個人差もありますが、実はしっかりとした原因があるケースも多いです。例えば、骨格性の問題によって不正咬合が生じている場合、インビザラインのみでは対応できないケースがあります。
これは、骨格の問題は歯の位置だけでなく顎の骨自体のズレや成長不足などが関係しているため、インビザラインだけでは根本的な改善が困難だからです。
軽度であればインビザラインでも見た目の改善をすることは可能ですが、重度の骨格性不正には外科手術やより矯正力の大きいワイヤー矯正での治療を提案されることもあるでしょう。
自分にどの治療が合っているのか、外科手術が必要かどうかは、歯科医院で精密検査を受け、歯科医師からの診断を受ける必要があります。他にも、歯科医院選びを間違えてしまうと、歯並びの変化にも影響が出ることがあります。
インビザラインでは3Dシミュレーションを活用して治療計画を作成しますが、細かな調整や最終的な判断は歯科医師が行うため、歯科医師の知識・技術不足は治療結果を大きく左右します。
豊富な症例をもち、治療計画に関しても詳しく説明してくれる歯科医院を選ぶようにしましょう。
インビザラインの治療の変化不安のある方は、
横浜市瀬谷区の「三ツ境駅前スマイル歯科」に
ご相談ください

今回はインビザラインは半年でどのくらい歯並びが変化するのかを解説しました。治療開始から3ヵ月ほどは大きな変化はありませんが、特に軽度の不正咬合の場合には半年ほど経過すると周囲の人にも気づかれるほどの変化を実感できるケースが多いです。
歯並びの変化には個人差がありますが、マウスピースの装着時間や装着方法を守っている、口腔ケアをしっかり行っている場合には治療計画通りに歯が動くため、より早く効果を実感できるでしょう。
しかし、骨格性の不正咬合や歯科医院選びを慎重に行わないと、歯並びの変化が遅くなることもあります。矯正治療の知識や症例が豊富で、自分の歯並びに合った治療方法や計画を提案してくれる歯科医院を選ぶように心がけましょう。
三ツ境駅前スマイル歯科では、LINEでの新矯正相談予約を承っております。インビザラインの治療期間や歯並びの変化について不安のある方はぜひ、三ツ境駅前スマイル歯科にご相談ください。
※ご相談は横浜近隣にお住まいの方限定となります