2026/04/14
全体的な歯並びのがたつきが気になる
10歳女児の矯正症例紹介
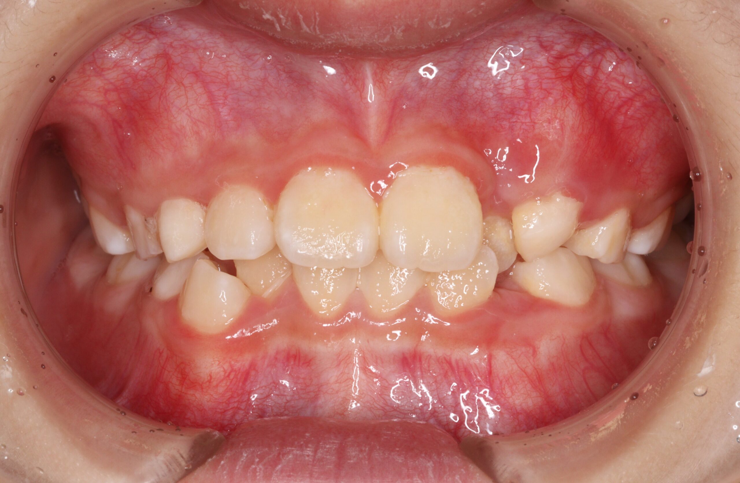
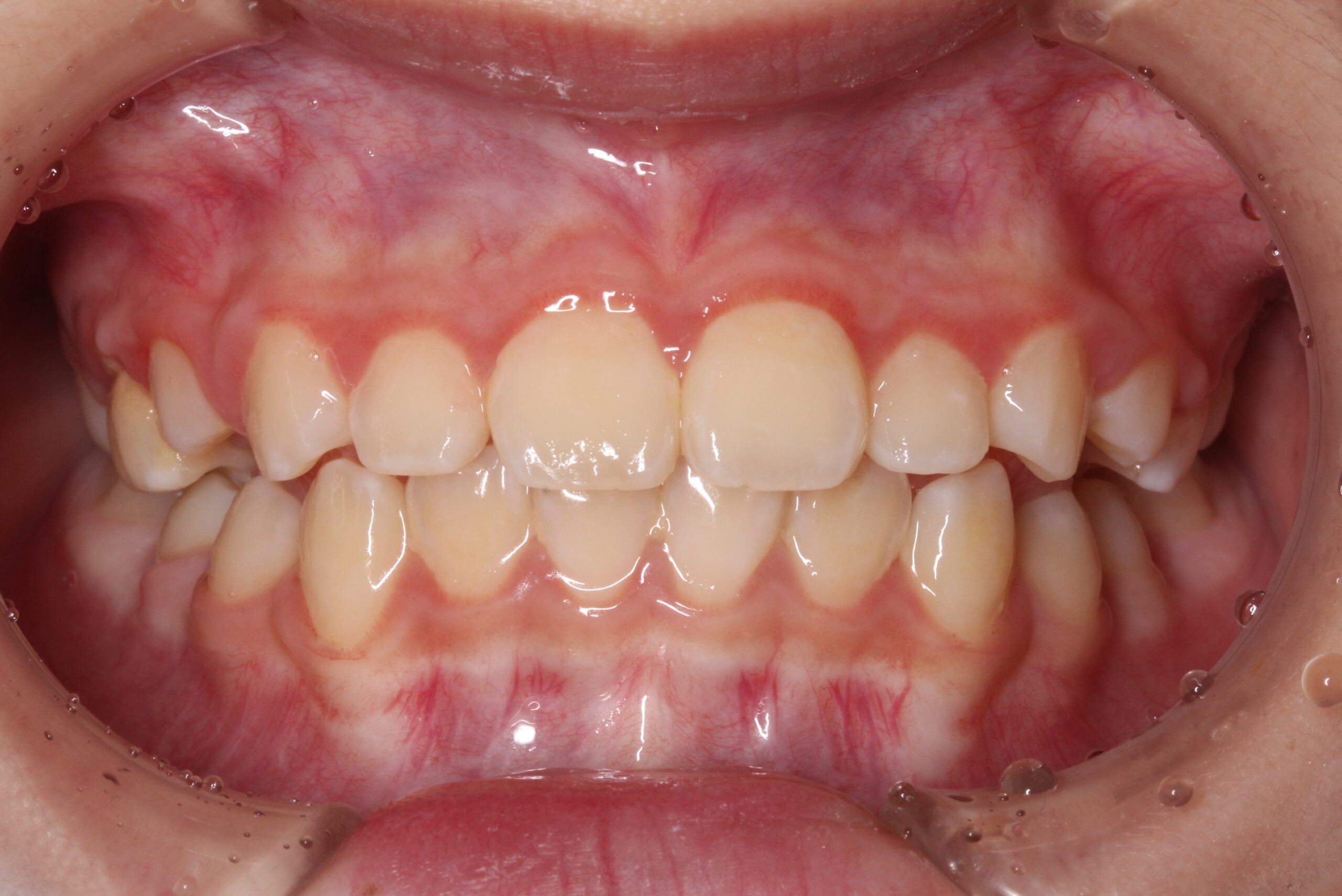
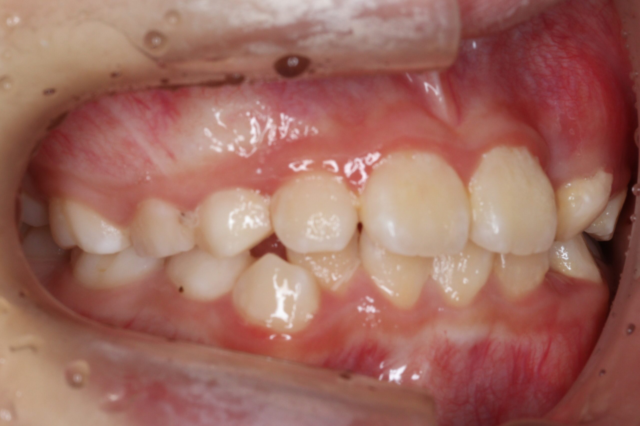
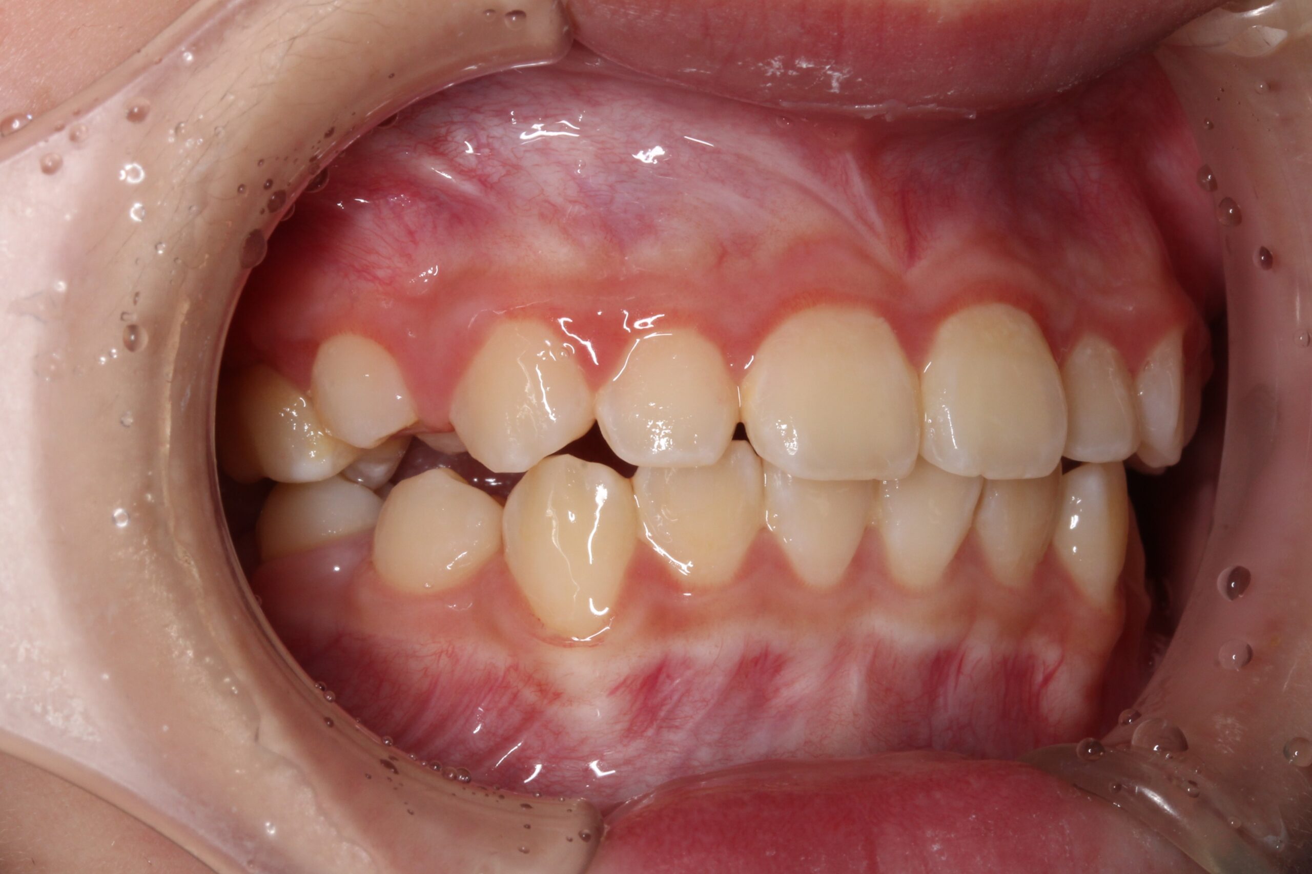
今回ご紹介する患者様は、全体的な歯並びのがたつきを気にされており、矯正検査後叢生Ⅰ級と診断いたしました。
治療前後の比較
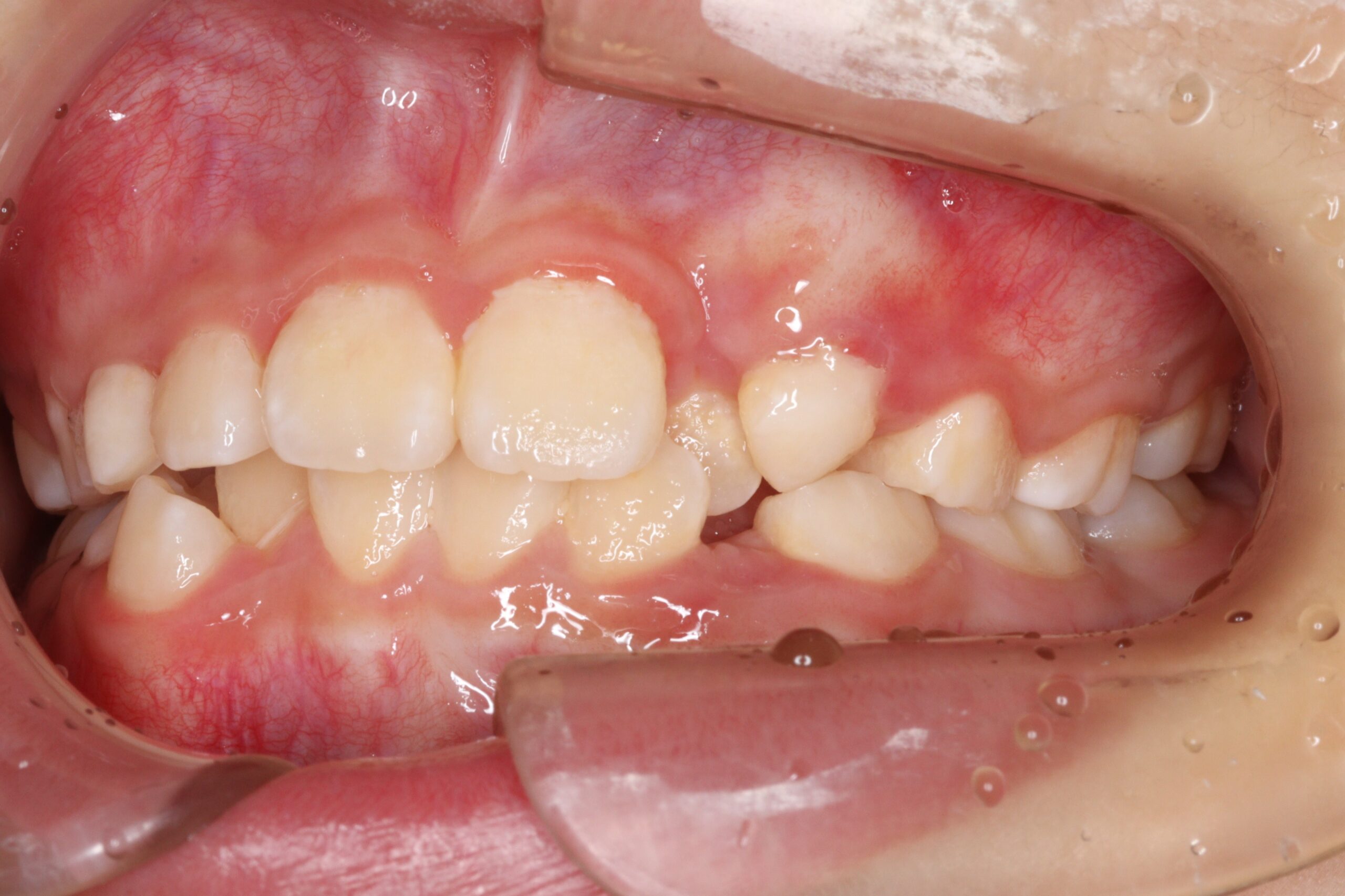
矯正術前:正面

矯正術後:正面

矯正術前:右側

矯正術後:右側

矯正術前:左側

矯正術後:左側

矯正術前:上顎

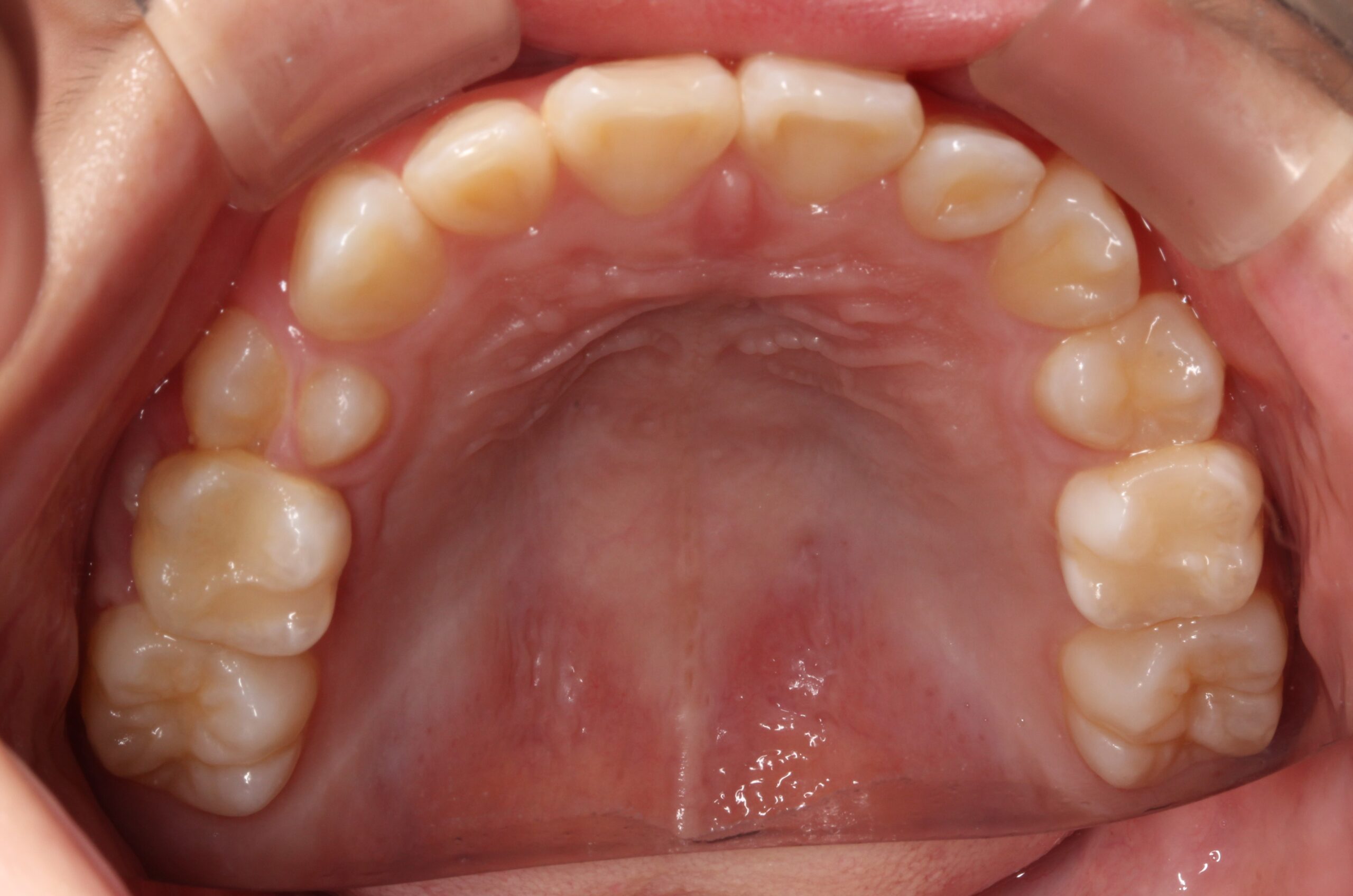
矯正術後:上顎

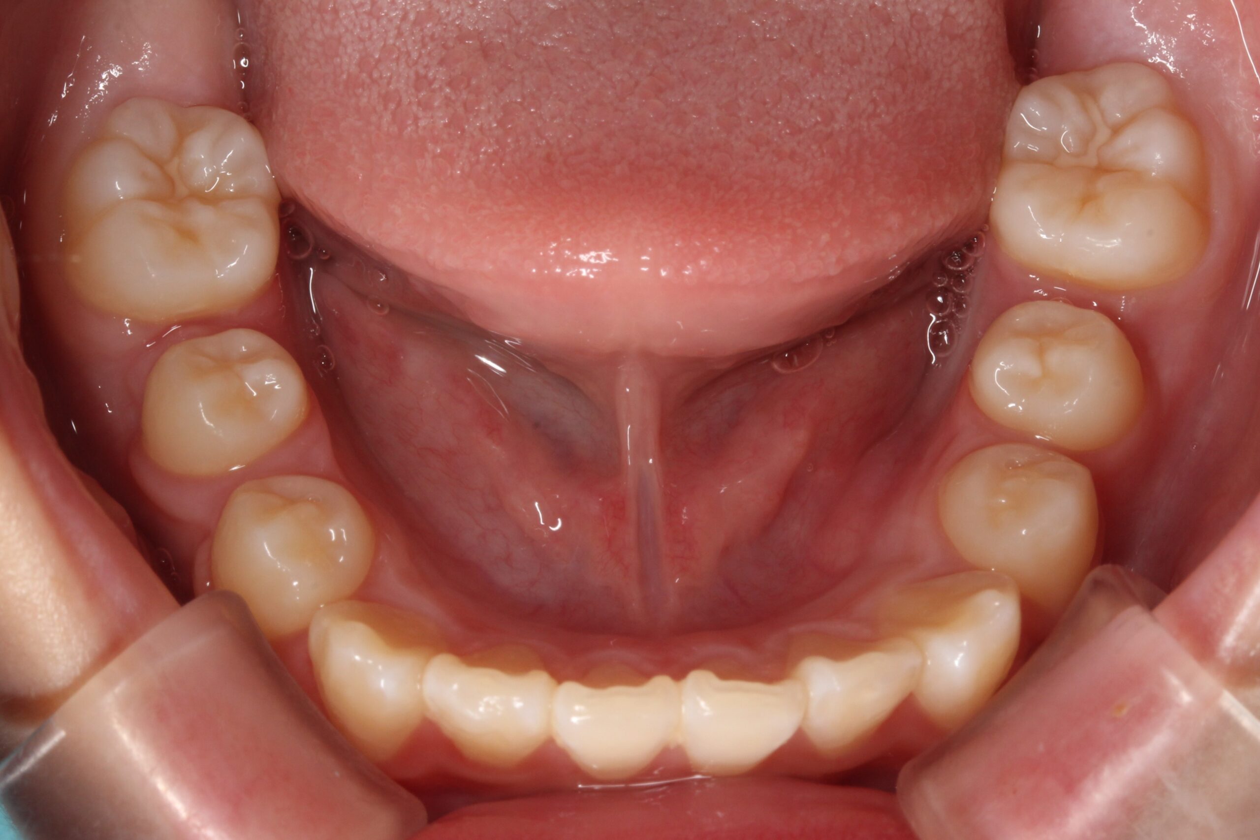
矯正術前:下顎

矯正術後:下顎

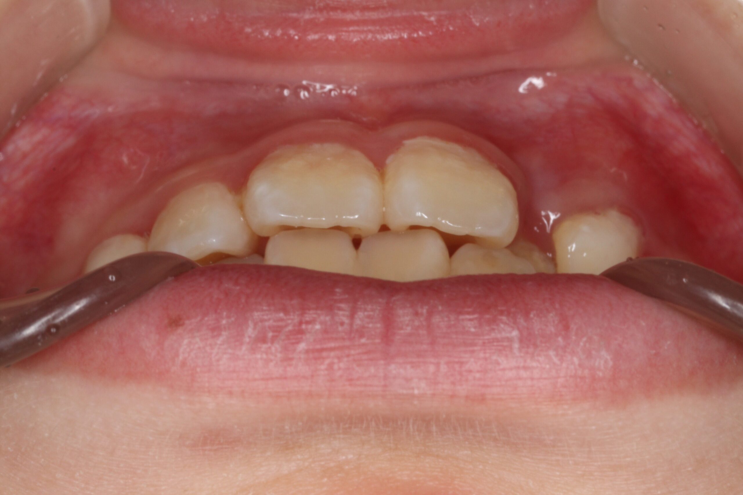
矯正術前:前歯部あおり

矯正術後:前歯部あおり

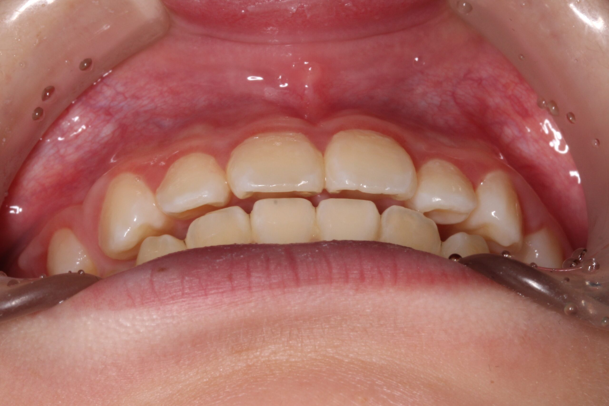
矯正術前:オーバージェット

矯正術後:オーバージェット

| 主訴 | 全体的な歯並びのがたつきが気になる |
|---|---|
| 治療期間 | ・マウスピース矯正:10カ月 |
| 治療費用 | 770,000円(税込) |
| 治療内容 | 患者様は全体的な歯並びのがたつきを気にされており、矯正検査後叢生Ⅰ級と診断いたしました。 |
| リスク・副作用 | ・着脱式の装置を使用して抜歯をせずに歯が並ぶように小学生の間にスペースを確保します。着脱式装置のため指示通り使用しなかった場合はいい結果が得られません。保護者による装着時間の管理は必ず必要です。 ・ご予約された日にご来院が3回なかった場合、矯正治療中に虫歯予防をすることなく虫歯が多発する場合は治療中止を含めた話し合いの機会を設けます。 ・装置が変形、紛失、破損した場合はLINEにてご連絡ください。 ・治療後は矯正治療で動いた歯が元に戻らないように装置で保定する期間が必要です。保定装置装着を怠るなどの理由で歯並びが崩れた場合は治療開始から1年6か月以内の場合に限り割引費用(110,000円)で追加マウスピース矯正を一度だけ対応します。※1年6か月以降は正規のマウスピース矯正費用(440,000円〜)がかかります。 ・保定装置は2〜3年で変形・破損の可能性があるため、定期的に作り直しが必要です。保定装置の破損や生え変わりにより合わなくなったときは有償で製作させていただきます。 ・成長期に行う矯正治療は完全な成長予測はできません。予想外の成長によっては治療計画が変更になることがあります。 ・永久歯が自然に生えてこない、生える方向が著しく悪い、埋まったまま生えてこない(埋伏歯)の場合はブラケットによる追加矯正が必要になります。(追加費用が必要です) |