インビザラインのバイトランプとは?役割と併せて痛みや見た目への影響なども解説

この記事を執筆した人:
三ツ境駅前スマイル歯科 院長 樋田秀一
院長の樋田は、インビザラインをはじめとしたマウスピース矯正に豊富な知識と経験を持つ歯科医師です。昭和大学歯学部卒業後、床矯正・ブラケット矯正・MEAWなど多領域の矯正理論を学び、2019年にインビザライン認定を取得。iTeroによる三次元解析を用いた精密診断と、咬合・骨格を統合的に評価する治療設計に定評があります。
所属学会は、日本小児矯正研究会(指導医)・国際歯周内科学研究会(指導医・理事)など多岐にわたり、科学的根拠に基づく臨床を重視。成長期の顎発育から成人の審美矯正までカバーし、専門性と信頼性の高い医療情報の発信にも取り組んでいます。
インビザラインのバイトランプとは、特に過蓋咬合などの噛み合わせの深さを改善する際の補助装置として使用されます。見た目への影響は少なく、治療効果を高めるための重要な装置です。今回は、バイトランプがどのような役割を果たすのか、必要なケースや装着時の注意点について、詳しく解説します。
インビザラインのバイトランプとは?
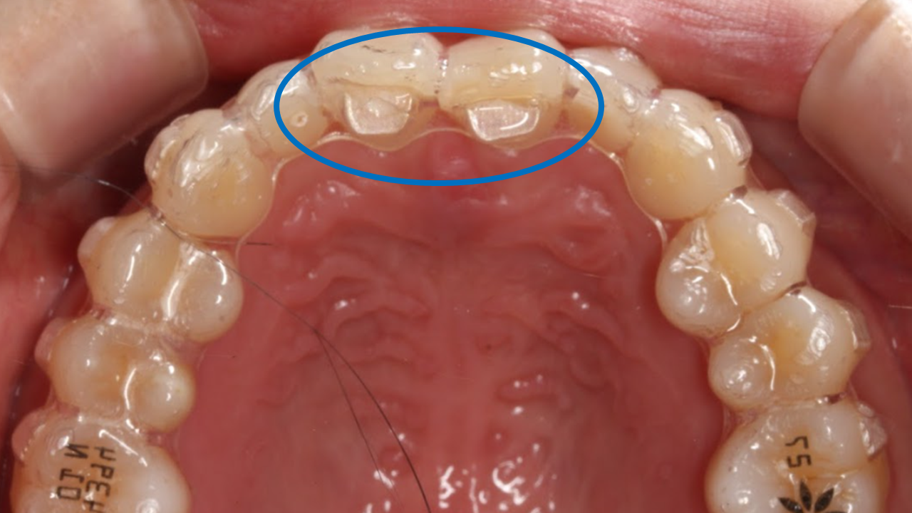
インビザラインのバイトランプは、上顎マウスピースの前歯裏側に付与される3mmほどの小さな突起で、ほとんどが上の前歯2〜4本に設置されます。特に過蓋咬合(かがいこうごう)の治療の際に使用されます。
正常なかみ合わせでは、上の前歯が下の前歯に対して2〜3mm程度重なるのが理想ですが、過蓋咬合では5mm以上重なっていることが多く、場合によっては下の前歯が見えなくなるほど覆われていることもあります。バイトランプを活用することで、歯を移動し、深いかみ合わせを改善します。

インビザラインにおけるバイトランプの役割
バイトランプの役割は、前歯の圧下(歯ぐきの方向に押し込むようにして移動させること)や奥歯の挺出(歯ぐきと反対方向に歯を引っ張り出すようにして移動させること)を補助することです。
具体的には、バイトランプによって、下の前歯が当たる部分ができ、上下の前歯の強い噛み込みを回避できます。これにより上の前歯が少しずつ圧下し、深い噛み合わせが緩和されます。また、バイトランプを使用するとかみ合わせたときに前歯だけで噛んでいて、上下の奥歯に隙間がある状態になります。そのため、奥歯が自然と噛み合うように挺出し、咬合の高さが適切な状態になります。

インビザラインにおけるインプバイトランプの必要性
人間がリラックスしている状態の時、上下の歯はわずかに離れています。しかし、過蓋咬合の場合、普段から食いしばりや歯ぎしりのような悪習癖のある方も少なくありません。インビザライン矯正中にこのような癖が続くと、マウスピースの厚さ分だけ奥歯に隙間が空いてしまいます。その隙間が生じないためにもバイトランプを付与し、奥歯で強く噛みしめることを防ぎます。
インビザラインでバイトランプを付ける期間
バイトランプの使用期間は、患者様によって大きく異なります。バイトランプは主に「前歯の圧下」と「奥歯の挺出」を促すために使用されますが、これらの動きは比較的ゆっくり進行するため、数ヶ月以上の継続使用が必要になるケースが多いです。治療が進み、噛み合わせが安定してきた段階でバイトランプが不要になる場合は、そのタイミングで除去されますが、改善が不十分であれば再度設置されることもあります。担当の歯科医師が歯の動きや咬合状態を見ながら適切に判断します。
インビザラインでバイトランプが必要な「過蓋咬合(ディープバイト)」とは
バイトランプが必要な歯並びは、主に「過蓋咬合」です。過蓋咬合とはディープバイトとも呼ばれ、前歯が長すぎたり、奥歯が短すぎることが原因で、上下の歯の噛み合わせが異常に深い状態を指します。
通常は、歯並びを正面から見たとき、上の前歯は下の前歯を2〜3ミリ(4分の1程度)隠しています。過蓋咬合では、上の前歯で下の前歯が半分以上隠れていたり、全部隠れている場合もあります。

過蓋咬合(ディープバイト)の治療期間
過蓋咬合の治療期間は個人差がありますが、一般的には2~3年といわれています。抜歯が必要な場合も多く、完治まで時間がかかります。
過蓋咬合(ディープバイト)の治療費用
インビザラインで過蓋咬合の治療をする際にかかる費用は平均で80万円〜100万円程度です。お口の中の状態には個人差があるため、重症度や矯正以外の処置が必要かによっても費用は大きく変わります。また、歯列矯正は自費診療なので歯科医院によっても費用の差が生じます。詳しい費用を知るためにはカウンセリング・精密検査を受ける必要があります。
過蓋咬合(ディープバイト)を放置する危険性
①滑舌・発音
上下の歯が深くかみ合っていることで、下顎の動きや口腔内での舌の動きが制限されてしまうため、滑舌や発音が悪くなってしまうことがあります。
特に、サ行・タ行など舌を使って発音する場合に不明瞭になることが多いです。
②外見
過蓋咬合は、上の前歯が下の前歯に深く覆い被さっているため、「ガミースマイル」を併発しやすいです。ガミースマイルは機能的な弊害はないものの、審美性の低下からコンプレックスに感じる人も多いです。
他にも、奥歯を噛み締めることが癖になって咬筋が発達してしまい、エラが張ることもあります。
③顎関節症
過蓋咬合により、顎関節症を引き起こすリスクも考えられます。上顎が深く覆いかぶさっているため、本来自由に動かせる下顎の動きが制限されてしまい、顎関節に大きな負担がかかってしまうのです。
④歯の寿命
奥歯に負担がかかってしまい、奥歯が欠けたり、摩耗してしまいます。歯が摩耗すると一番外側の層(エナメル質)が削れ、知覚過敏やむし歯のリスクも高くなります。結果的に歯の寿命が短くなってしまうのです。
インビザラインのバイトランプによる痛みはある?
バイトランプによる痛みはほとんどありません。マウスピースを初めて装着したときと同じように、新しい装置に違和感が生じる可能性はありますが、数日経過すると慣れてくるため、心配はありません。強い痛みが生じた場合や痛みが続くような場合には早めに歯科医師に相談しましょう。
インビザラインのバイトランプは目立つ?
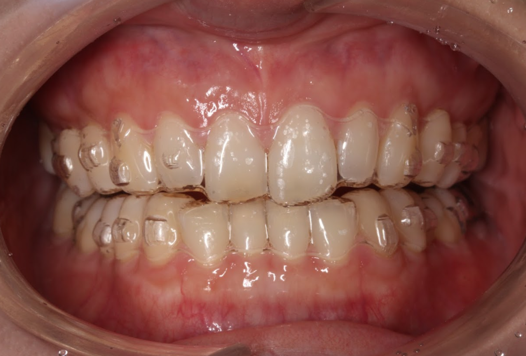
バイトランプは上の前歯の裏側に付与されるため、一般的には目立ちません。口を開けた状態でも外側からは見えにくい構造になっています。また、歯の表面に歯科用レジンで装着されるアタッチメントとは違い、透明なマウスピースの一部として形成されており、審美的な影響は少ないと言えます。


【バイトランプ使用時の正面観・前歯部あおり】
インビザラインのバイトランプで滑舌は悪くなる?
バイトランプは、上顎前歯の裏側に付与される小さな突起です。この突起が舌に当たる位置にあるため、発音に使う舌の動きが制限される可能性があります。特に舌を上前歯に充てて発音する「サ行」「タ行」「ナ行」「ラ行」が話しづらいと感じる方が多いようです。
多くの方は1~2週間程度で徐々に慣れてきますが、人前で話す機会が多い方はマウスピースを装着した状態でたくさん話すことで早く慣れることができるでしょう。
インビザラインに不安のある方は、横浜市瀬谷区の「三ツ境駅前スマイル歯科」にご相談ください

今回はインビザラインのバイトランプについて詳しく解説しました。主に過蓋咬合の治療として使用されることが多いですが、上前歯の裏側に付与されるため、審美的な問題や痛みなどはありません。発音や滑舌への影響が心配な方は歯科医師に相談しましょう。
三ツ境駅前スマイル歯科では、技術と経験豊富な歯科医師が患者様一人ひとりに合った治療計画をご提案します。インビザラインでの治療をご検討中の方はぜひ、三ツ境駅前スマイル歯科にご相談ください。公式LINEにお口の状態の写真を送っていただくと、オンラインでの矯正相談も可能です。
※ご相談は横浜近隣にお住まいの方限定となります