インビザラインの平均枚数は何枚?枚数が増えるケースや変化を感じられる枚数なども紹介

この記事を執筆した人:
三ツ境駅前スマイル歯科 院長 樋田秀一
院長の樋田は、インビザラインをはじめとしたマウスピース矯正に豊富な知識と経験を持つ歯科医師です。昭和大学歯学部卒業後、床矯正・ブラケット矯正・MEAWなど多領域の矯正理論を学び、2019年にインビザライン認定を取得。iTeroによる三次元解析を用いた精密診断と、咬合・骨格を統合的に評価する治療設計に定評があります。
所属学会は、日本小児矯正研究会(指導医)・国際歯周内科学研究会(指導医・理事)など多岐にわたり、科学的根拠に基づく臨床を重視。成長期の顎発育から成人の審美矯正までカバーし、専門性と信頼性の高い医療情報の発信にも取り組んでいます。
インビザラインは透明のマウスピースを使用する矯正治療法で、目立ちにくさなどのメリットから近年人気の高い矯正方法です。インビザラインは使用する枚数によって治療期間が決まりますが、平均枚数はどのくらいなのか疑問に思っている方も多いのではないでしょうか。今回はインビザラインの平均枚数や枚数が増えてしまうケースについて詳しく解説していきます。
インビザラインの平均枚数は約40~50枚
インビザラインで使用するアライナー(マウスピース)の平均枚数は症例によって大きく異なりますが、平均で40〜50枚です。軽度の歯並びのガタツキや前歯などの部分的な矯正は少ない枚数で治療が完了しますが、重度の不正咬合で歯を大きく移動させる場合には枚数が多くなります。
また、インビザラインの場合、プランによって枚数の上限が変わります。歯並びや噛み合わせの状態、患者様の理想とするゴールを歯科医師と相談し、自分にあっているプランを選ぶようにしましょう。
【種類別】インビザラインの平均枚数
インビザラインでは症例によって適応となるプランが異なります。また、プランごとにアライナー枚数の制限が異なるため、平均枚数も変わってきます。
最も一般的なプランとしては、「インビザライン・コンプリヘンシブ」が挙げられます。叢生や出っ歯、受け口などほとんどの症例に適応でき、抜歯の有無など制限がないため、成人の全顎矯正に用いられることが一番多いです。このプランはアライナーの枚数制限はありませんが、平均枚数は30〜60枚程度に納めることが多いです。
中程度の不正咬合には「インビザライン・モデレート」が適応になります。使用可能な枚数は片顎最大26枚、両顎52枚です。
インビザライン・ライトは最大14枚まで使用できるため、軽度の不正咬合、前歯のみなど部分的に矯正したい方に適したプランです。
インビザライン・ファーストは混合歯列期のお子さま向けのプランです。使用できる枚数に制限はありませんが、治療期間の目安は最大1年半程度です。

インビザラインの枚数はどのようにして決まる?
インビザラインの枚数が決まる要因を2つご紹介します。
抜歯の有無
インビザラインでは症例によって歯を抜く必要がある場合があります。特に、前歯の突出(出っ歯)や歯が顎に収まりきらないケースでは、スペースを確保するために抜歯が行われます。抜歯を伴う治療では、抜いた歯のスペースを埋めるために、歯を大きく移動させる必要があります。インビザラインでは1枚のアライナーで最大0.25mmしか動かせないため、移動距離が増えるとその分だけ必要な枚数が増えます。
例えば、非抜歯の場合は30〜50枚程度で済むことが多いのに対し、抜歯を伴うケースでは60〜80枚、場合によってはそれ以上の枚数を必要とすることがあります。

歯並びの乱れの度合い
歯並びの乱れの程度も、マウスピースの枚数を大きく左右します。以下のようなケースほど、アライナーの枚数は多くなります。
・重度の叢生
・重度の出っ歯、受け口
・上下の咬み合わせが大きくずれている場合
軽度の叢生であれば20〜30枚程度で矯正可能な場合もありますが、中程度〜重度の乱れがある場合は50枚以上が必要になることが一般的です。また、奥歯を動かして上下の噛み合わせを調整する必要がある場合も、枚数は多くなります。


重度の叢生 受け口
治療開始後にインビザラインの枚数が増えるケースもある
治療後にインビザラインの枚数が増えるケースをご紹介します。
歯の動きが遅い場合
インビザラインでは、1枚のアライナーで歯を最大0.25mm移動させる設計となっています。しかし、実際の歯の動きには個人差があり、計画通りに進まないことも少なくありません。特に、歯の形状や骨の密度、年齢などにより、歯の移動が遅れるケースもあります。このような場合、治療計画を修正し、追加のアライナーを作成することがあります。
リファインメントをする場合
リファインメントとは、最初の治療計画と実際の歯の動きのズレを補正するために、アライナーを追加することです。治療中に歯の動きが計画とずれることは珍しいことではなく、多くの患者様がリファインメントを経験します。1回のリファインメントで15〜30枚程度のアライナーが追加されることが一般的です。
後から治療計画が変更された場合
治療中に患者様の希望や口腔内の状態の変化により、治療計画が変更されることがあります。例えば、当初は非抜歯での治療を予定していたが、途中で抜歯が必要と判断された場合などです。このような場合、新たな治療計画に基づいて追加のアライナーが必要となります。
口腔状態に問題がある場合
治療中にむし歯や歯周病が発生・悪化すると、アライナーが不適合になることがあります。むし歯の治療で歯の形状が変わったり、歯周病で歯肉が腫れたりすると、既存のアライナーが合わなくなる可能性があります。このような場合、再度口腔内のスキャンを行い、追加のアライナーを作成する必要があります。
マウスピースを紛失した場合
インビザラインは、治療開始時に終了までの全てのアライナーを製作します。治療開始後は、患者様自身がアライナーを管理するため、紛失や破損のリスクがあります。アライナーを紛失した場合、次のアライナーに進むか、新たに同じアライナーを製作する必要があります。場合によっては、治療計画を見直し、追加のアライナーを作成することになります。
インビザラインは何枚目から変化が見られる?
インビザラインはアライナー1枚あたりの歯の移動量が約0.25㎜に設定されており、枚数を重ねるごとに徐々に歯が動いていることを実感できます。ワイヤー矯正と違い、矯正力はそれほど大きくないので、変化を実感するまでに時間がかかることもあります。
早い方だと、4枚目前後のアライナー、つまり治療開始から1~2ヶ月でわずかな変化を感じることがあります。特に軽度の叢生や前歯のみの部分的な矯正をしている方は、早い段階で効果を感じることができるでしょう。
大きな変化が見られるのは、20枚目前後、治療開始から半年ほどです。この段階では、歯の移動が1mm以上進むため、見た目にも変化が分かりやすくなる人が多いです。
しかし、これらはあくまで目安であり、歯の動きやすさには個人差があるため、変化を感じることのできるタイミングは異なります。また、歯並びの状態によっては、変化していても目に見える範囲での変化が少ない場合もあります。ご自身の歯並びが変化しているのか不安に感じる場合は、歯科医師に相談して治療の進捗を確認することもおすすめです。
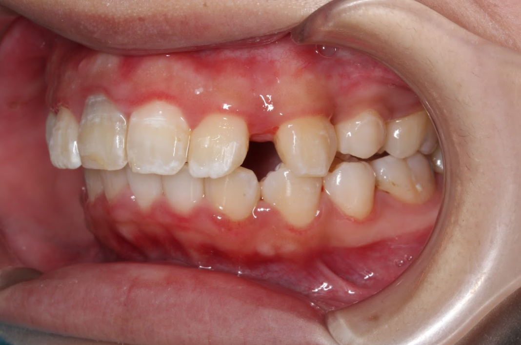
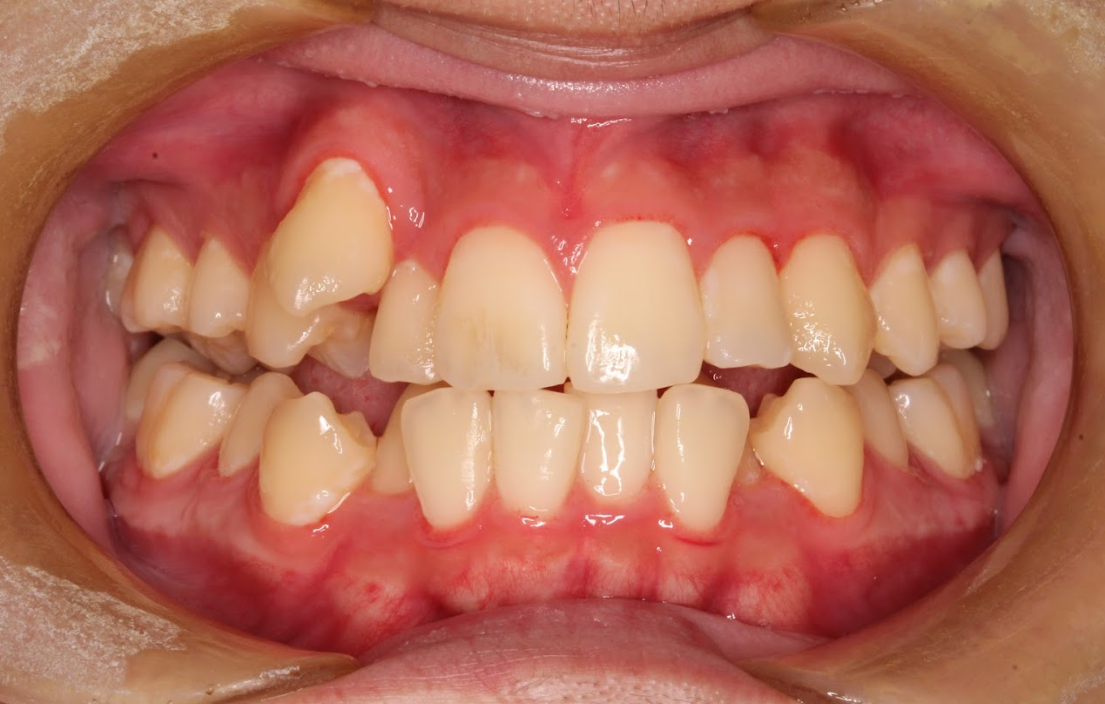
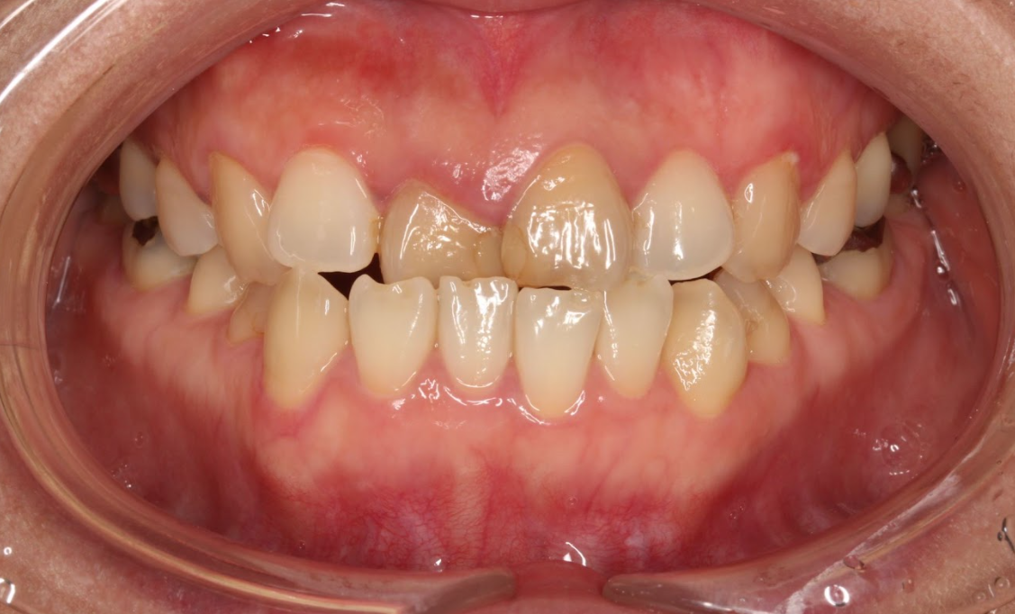
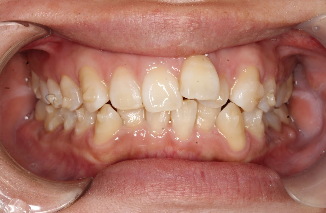
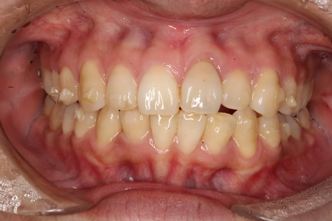
症例:30代女性

開始時

経過1か月

経過半年
| 治療方法 | インビザライン |
|---|---|
| 費用 | 税込990,000円 |
| リスク副作用 | ・協力度(装着時間、来院、顎間ゴムの使用など)が治療機関や結果に影響します。・事前のシミュレーションのゴールを目指し歯を移動させていく治療法ですが、歯の動きには個人差があるため確実に結果を保証するものではありません。・食事に時間がかかり、歯ごたえのあるものが食べにくくなります。・歯の移動に伴う痛みや装置による口内炎、関節音、閉口障害、頭痛、耳鳴り、筋の硬直などが生じることがあります。・歯の動きに伴い、歯肉退縮や歯根吸収が生じることがあります。・ブラックトライアングル(三角形の隙間)ができることがあります。・歯の動かし方によっては詰め物やかぶせ物を外す可能性があります。外した場合は矯正終了まで仮の材料を入れ、終了後に新たに作り直す必要があります。 |
インビザラインに関して不安のある方は、横浜市瀬谷区の「三ツ境駅前スマイル歯科」にご相談ください

今回はインビザラインの平均枚数に関して詳しく解説しました。インビザラインでは症例によって適応になるプランが異なり、また、プランによって使用できる枚数が異なります。また、治療途中でも歯の動き方や最初の治療計画とのズレによって追加のアライナーを製作することがあります。インビザラインで使用するアライナーの枚数によって治療期間も変化するので、不安な方は歯科医師に相談することをおすすめします。
三ツ境駅前スマイルでは、技術と経験豊富な歯科医師が患者様一人ひとりに合った治療計画をご提案します。歯科医師の熟練した経験と技術により、最小枚数で極力負担を少なく、且つ最大限効果が出るよう計画しています。インビザラインに関して不安のある方はぜひ、三ツ境駅前スマイルにご相談ください。
LINEにて歯並びの写真をお送りいただければ、インビザラインで矯正治療は可能か、治療期間や費用の目安についてもお伝えします。また便利なオンライン相談にも対応しています。ぜひご活用ください。
※LINEでの矯正相談は、横浜市近隣にお住まいの方限定となります