インビザラインで上だけ矯正はできる?できる歯並び・できない歯並びを紹介

この記事を執筆した人:
三ツ境駅前スマイル歯科 院長 樋田秀一
院長の樋田は、インビザラインをはじめとしたマウスピース矯正に豊富な知識と経験を持つ歯科医師です。昭和大学歯学部卒業後、床矯正・ブラケット矯正・MEAWなど多領域の矯正理論を学び、2019年にインビザライン認定を取得。iTeroによる三次元解析を用いた精密診断と、咬合・骨格を統合的に評価する治療設計に定評があります。
所属学会は、日本小児矯正研究会(指導医)・国際歯周内科学研究会(指導医・理事)など多岐にわたり、科学的根拠に基づく臨床を重視。成長期の顎発育から成人の審美矯正までカバーし、専門性と信頼性の高い医療情報の発信にも取り組んでいます。
インビザラインは近年とても人気のある矯正方法で、目立ちにくさや快適な装着感が特徴です。しかし、症例によっては適応が難しい場合もあります。今回は、インビザラインで上の歯だけを矯正可能かどうか、インビザラインで治療可能な歯並びの特徴、治療期間や費用など詳しく解説します。
インビザラインで上だけの矯正は可能?
結論から言うと、インビザラインで上の歯だけを矯正することは可能です。特に見た目に大きな影響がある前歯だけを整えたい方などに適しています。ただし、矯正治療の本来の目的は見た目だけでなく、嚙み合わせなどの改善もあるため、すべてのケースで対応できるわけではありません。噛み合わせや下の歯の状態によっては全体矯正が必要になる場合もあります。
インビザラインで上だけの矯正が可能な歯並び
インビザラインで上の歯だけを矯正することは、すべての歯並びに対応できるわけではありませんが、軽度な不正咬合症例であれば治療が可能です。ここでは、インビザラインで上の歯列だけの矯正が可能なケースを3つご紹介します。
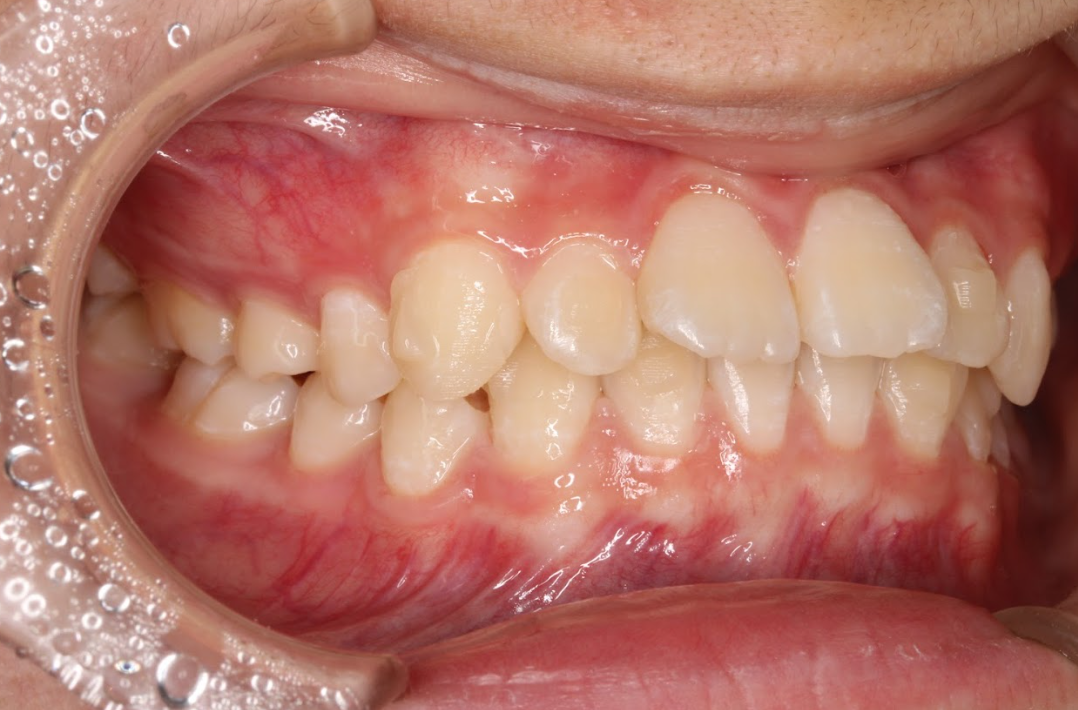
軽度の出っ歯
上の前歯が前方に突出している「軽度の出っ歯」は、上の歯だけを矯正して改善できることがあります。特に、下の歯との噛み合わせに問題がなく、前歯の傾斜によって出っ歯になっているケースでは、インビザラインによって前歯を内側に引き下げることで見た目を整えることができます。
ただし、出っ歯の原因が骨格的な問題(上顎骨の過成長や下顎骨の劣成長)である場合や、下の前歯との干渉が強い場合には、上下の矯正や他の治療法が必要になることもあります。

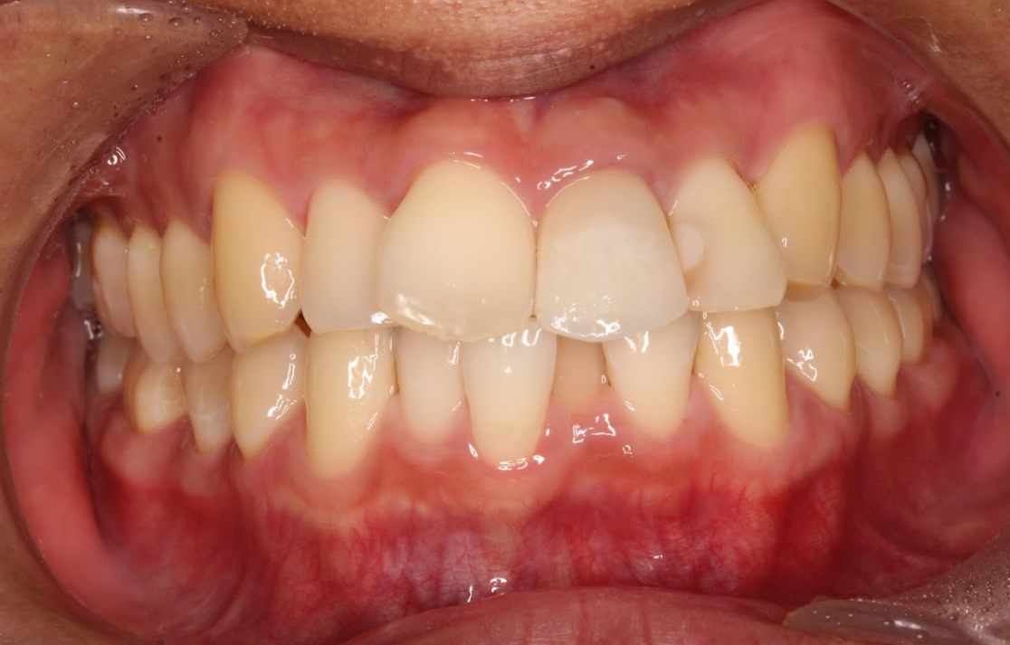
軽度のガタつき
上の前歯が軽く重なり合っていたり、並びが不揃いになっている「軽度のガタつき」も、インビザラインで上だけの矯正が可能です。このようなケースでは、歯を少しずつ正しい位置に移動させることで、整ったアーチ状の歯並びを改善できます。
歯の動きが小範囲で済むため、治療期間も比較的短く、費用も全体矯正より抑えられるメリットがあります。ただし、スペースが極端に不足している場合や、奥歯の位置に大きなズレがある場合は、部分矯正では限界があるため、全体矯正が適応されることがあります。

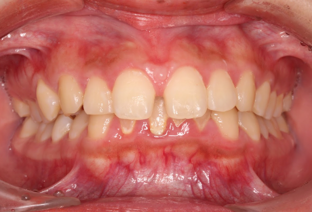
軽度のすきっ歯
上の前歯の間に隙間が空いている「軽度のすきっ歯」も、インビザラインで上だけの矯正で治療可能な歯並びです。歯と歯の間のスペースが小さい場合には、アライナーを使って歯を少しずつ寄せることで、正しい間隔に調整します。特に前歯のすきっ歯は見た目にも大きく影響するため、短期間で効果を感じやすいケースでもあります。ただし、すき間が大きすぎる場合や、噛み合わせに問題がある場合は、上下の歯を含めた矯正が推奨されることがあります。

インビザラインで上だけの矯正ができない歯並び
インビザラインで上だけの矯正ができないケースをご紹介します。
抜歯が必要
歯の大きさに対して顎の骨の大きさが小さいと、歯並びを整えるためのスペースが不足するため、抜歯をするケースがあります。その場合、上だけの矯正を行うことはできません。抜歯を行うケースでは、歯を大きく移動させなければならないので、噛み合わせを調整するために上下の矯正を行います。
かみ合わせに問題がある
噛み合わせに問題がある場合も、上だけの矯正を行うことはおすすめすることはできません。奥歯の嚙み合わせにズレがある場合、上下の歯の位置関係を同時に調整しないと根本的な改善にはなりません。患者様自身が噛み合わせを気にしていないケースもありますが、上だけの矯正を行うことで嚙み合わせの不正が悪化し、歯の摩耗や顎関節症の原因になることもあります。
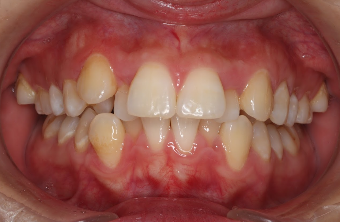
重度の不正咬合
歯が大きく重なり合っている重度の叢生や、骨格的に上下の顎の位置に大きなズレがある「上顎前突(出っ歯)」や「下顎前突(受け口)」などの重度の不正咬合では、上だけの矯正では改善できません。重度の不正咬合の場合、奥歯の噛み合わせも整えるために上下の歯列全体を矯正する必要があります。また、場合によっては外科的な処置や抜歯が必要となることもあります。

インビザラインで上だけ矯正をするデメリット
インビザラインで上だけを矯正するデメリットをご紹介します。
かみ合わせは改善されない
上だけの矯正では、奥歯の嚙み合わせは考慮されないため、噛み合わせを改善することはできません。たとえば、上の前歯の突出を改善しても、下の歯との接触位置がずれたままだと、前歯で物をうまく噛めなかったり、奥歯に過度な力がかかったりすることがあります。
さらに、噛み合わせが合っていない状態では、矯正後の歯の後戻りが起こりやすくなるだけでなく、顎関節への負担や咀嚼効率の低下といった機能的な問題も引き起こす可能性があります。
下の歯とのバランスが取れない可能性がある
上だけの矯正によって上下の嚙み合わせが変化することで、それまで気になっていなかった嚙み合わせに違和感を感じる方も少なくありません。噛み合わせが悪くなると、食事中に違和感を感じたり、発音がしづらくなったりすることがあります。また、一部の歯に過度な力がかかることで、その歯が割れたり欠けたりするリスクも高まります。
また、上下の歯のバランスが取れていないことで、顔周りの筋肉や舌の使い方が変わり、顔全体のバランスが悪くなってしまうこともあります。
インビザラインの上だけ矯正がおすすめの人
前歯の歯並びだけが気になる人
前歯の見た目が気になるけれど、奥歯の噛み合わせには問題がない場合は、上だけの矯正がおすすめです。例えば、上の前歯が少し出ている、軽度に重なっている、すき間があるといった状態は、部分的な調整で美しく整えることができます。
人と話すときや笑ったときに目立つ上の前歯の歯並びをすることで見た目の印象は大きく変わります。歯並び全体ではなく「前歯の一部だけが気になる」という方には、上だけ矯正は有効な選択肢です。
しかし、自分では嚙み合わせを気にしていなくても、精密検査を受けてみると奥歯の嚙み合わせに不正がある場合も少なくありません。そのような場合は上下での矯正が必要になる可能性もありますので、一度歯科医院での検査を受けることをおすすめします。
治療期間を短縮したい人
上だけの矯正を行う場合、全体矯正をする場合と比較して治療期間が短縮できるケースが多いです。軽度の出っ歯やガタつきであれば、3ヵ月〜最長1年程度で治療が完了することもあります。もちろん、症例によって異なるため事前の診断は必要ですが、短期間で目に見える変化が得られるのは大きなメリットです。
費用を抑えたい人
治療期間と同様に、全体矯正と比べて費用を抑えることも可能です。一般的にインビザラインで全体矯正を行う場合、80〜100万円程度かかることが多いですが、上だけの矯正を行う場合は全体矯正の半分ほどの費用に抑えられることが多く、50〜60万円ほどで治療が可能です。矯正治療は自由診療なので、歯科医院によって費用は大きく異なります。一度カウンセリングを受けてみて自分の症状の場合はどの程度費用がかかるのか、確認することもおすすめです。
インビザラインで上だけの矯正を検討されている方は、横浜市瀬谷区の「三ツ境駅前スマイル歯科」にご相談ください

今回はインビザラインで上だけ矯正することについて解説しました。上だけ矯正を行うことは治療期間・費用を抑えることが大きなメリットですが、適応となる症例が多くないことも事実です。また、患者様自身では前歯の不正歯列だけが気になっている場合でも、歯科医院での精密検査後に嚙み合わせの問題を指摘されることもあります。
ご自身の症例が上だけの矯正に適用されるのか、詳しい費用や期間などを知りたい方はぜひ、三ツ境駅前スマイル歯科のご相談ください。知識と経験豊富な歯科医師が患者様ひとり一人に合った治療計画をご提案します。LINEでの新規矯正相談予約も承っております。
※ご相談は横浜近隣にお住まいの方限定となります