インビザラインは寝る時に外しても大丈夫?夜間の取り扱いガイド

この記事を執筆した人:
三ツ境駅前スマイル歯科 院長 樋田秀一
院長の樋田は、インビザラインをはじめとしたマウスピース矯正に豊富な知識と経験を持つ歯科医師です。昭和大学歯学部卒業後、床矯正・ブラケット矯正・MEAWなど多領域の矯正理論を学び、2019年にインビザライン認定を取得。iTeroによる三次元解析を用いた精密診断と、咬合・骨格を統合的に評価する治療設計に定評があります。
所属学会は、日本小児矯正研究会(指導医)・国際歯周内科学研究会(指導医・理事)など多岐にわたり、科学的根拠に基づく臨床を重視。成長期の顎発育から成人の審美矯正までカバーし、専門性と信頼性の高い医療情報の発信にも取り組んでいます。
インビザラインを始めるにあたり、「寝る時は外した方がいいの?」「就寝中に装着していて本当に大丈夫?」など、夜間の取り扱いは気になるポイントです。寝ている間の装着が歯並びにどう影響するのか、痛みや違和感はないのか、不安に感じる方も少なくありません。
今回は、インビザラインと就寝時の関係について、知っておきたい基本的な考え方や注意点を、わかりやすく解説していきます。
インビザラインは寝る時も着ける?
インビザラインは、1日20〜22時間の装着が推奨されており、基本的には食事と歯磨き以外、つまり、寝る時もマウスピースを装着する必要があります。インビザラインでは、歯に持続的に力を加えることで、歯根と骨の間にある歯根膜が圧迫・牽引され、骨の吸収と再生が繰り返されることで歯が少しずつ移動します。
就寝時は長時間マウスピースを装着することができるため、効率よく歯を動かすことができ、計画通りに治療を進めるためにとても重要といえます。

寝る時もインビザラインを着ける理由

就寝時もマウスピースの装着が必要な理由を3つご紹介します。
歯は弱い力で少しずつ動かしていく
インビザラインでは、マウスピースで歯に弱く持続的な力を加えます。この力を安定して加え続けることで、徐々に歯が動いていきます。就寝時にマウスピースを外してしまうと、寝ている間は歯に力が加わらず、計画通りに歯が動かなくなるだけでなく、歯が元の位置に戻ろうとする「後戻り」が生じる原因にもなります。
その結果、新しいマウスピースが合わなくなってしまったり、強い痛みや違和感が生じたりすることがあります。
効率よく治療を進められる
インビザラインでは、1日20〜22時間の装着が推奨されています。日中は食事や歯磨きでどうしても外す時間が発生するため、就寝中の連続した装着時間が治療の進行に大きく影響します。
寝ている間にしっかり装着することで、歯に安定した力を加え続けることができ、治療計画通りに歯が動きやすくなります。逆に、夜間に外してしまうと装着時間が不足し、歯の移動が遅れたり、治療期間が延びたりする可能性があります。
マウスピースが歯ぎしり・食いしばりから歯を守ってくれる
就寝中は、無意識に歯ぎしりや食いしばりをしていることがあります。インビザラインのマウスピースは歯全体を覆う構造のため、上下の歯同士が強く接触することを防ぎ、歯や顎への負担を軽減することができます。
また、矯正中は歯が動いているため、痛みや刺激に敏感になりやすいです。歯ぎしりや食いしばりによる過度な力が加わることを避けるためにも、就寝中のマウスピース装着は大切です。
寝る時だけインビザラインを着けるのはNG
睡眠中だけのマウスピース装着は、効果を十分に得られないだけでなく、思わぬリスクにつながることもあります。
予定通りに治療を進められない
インビザラインは、1日20〜22時間以上のマウスピース装着を前提に治療計画が立てられています。そのため、睡眠中だけ装着すると装着時間が大幅に不足してしまい、予定通りに治療が進みません。次のマウスピースが合わなくなってしまい、治療期間が延長するだけでなく、マウスピースを再製作するケースも少なくないので、注意が必要です。
後戻りが起きる
矯正治療で移動した歯は、周りの骨や組織が安定するまでの間、元の位置に戻ろうとする力が生じます。この力によってせっかく整えた歯並びが再び乱れてしまうことを「後戻り」といいます。
睡眠時だけの装着によって、歯を「動かす力」と「戻る力」が交互にかかるため、歯が安定せず、治療が停滞してしまいます。これにより、装着時の痛みが強く出たり、マウスピースの着脱がしにくくなったりすることもあります。
歯根露出が起きる可能性がある
不十分な装着時間により、治療を無理に進めてしまうと歯や周囲の組織に過度な負担がかかるため、歯肉が下がり、歯根が露出してしまう可能性もあります。歯根露出は、見た目への影響だけでなく、知覚過敏や歯周トラブルの原因にもなります。治療中断につながるケースもあるので、注意しましょう。
インビザラインが原因で睡眠に影響がある場合の対処法
インビザライン治療でのマウスピース装着はほとんどのケースで数日から2週間程度で慣れてくると言われていますが、それでも違和感によって睡眠に影響が出てしまう場合の対処法をご紹介します。
1つ前のマウスピースを着ける
新しいマウスピースに交換した直後は、歯にかかる力が強く、違和感や痛みが出やすいタイミングです。どうしても眠れない場合は、一時的に1つ前のマウスピースに戻すことで、歯への刺激を和らげられることがあります。ただし、自己判断で長期間戻すのは治療計画に影響するため、歯科医師に相談することが大切です。
痛み止めを飲む
圧迫感や軽い痛みが原因で眠れない場合、市販の鎮痛剤を一時的に使用するのも選択肢のひとつです。特にマウスピース交換初日は痛みが出やすいため、就寝前に服用することで眠りやすくなることがあります。ただし、頻繁な使用は避け、痛みが続く場合は必ず歯科医師に相談しましょう。
鼻呼吸を意識する
マウスピース装着中に口呼吸になると、口の中が乾燥し、不快感が強まることがあります。就寝時は鼻呼吸を意識することで、口の渇きや違和感が軽減され、睡眠の質が向上しやすくなります。
歯科医師に相談する
違和感や痛みが続き、睡眠への影響が大きい場合は、我慢せずに歯科医師に相談しましょう。治療計画やマウスピース自体の調整など、専門的な対応で改善されるケースも少なくありません。治療を快適に進めるためにも、歯科医師との連携は大切になります。
リテーナーは寝る時だけの着用で問題ない
矯正治療が完了したあとに欠かせない「リテーナー(保定装置)」は、就寝中のみの着用で問題ないケースが多いとされています。ここでは、その理由や注意点について詳しく解説します。
アライナーとリテーナーの違い
インビザラインのマウスピースには、歯を計画的に動かすための「アライナー」と、矯正後の歯並びを安定させ、後戻りを防ぐための「ビベラ・リテーナー」の2種類があります。歯を動かす段階で使用するアライナーは、歯に持続的に力をかけるたmに1日20~22時間の装着が必須ですが、矯正が完了した後に使用するリテーナーは「今の位置をキープする」ことが目的になるため、装着時間の考え方が変わってきます。
リテーナーの種類
リテーナーは主に3種類あります。
・マウスピース型

インビザラインで矯正した方の多くは、インビザライン独自のリテーナー(ビベラ・リテーナー)を使用します。アライナーより、やや厚い素材でできたマウスピースで、使用感に大きな差がないため安心して使用できるのが特徴です。アライナー同様、取り外しが可能です。
・プレートタイプ

ワイヤーとプラスチック製のプレートを組み合わせたリテーナーです。歯の表面にワイヤーが通るため、マウスピースタイプと比べて目立ちやすくなりますが、上下の歯がしっかり嚙み合うのでかみ合わせが安定しやすいというメリットがあります。マウスピース型と同じく、取り外しが可能です。
・フィックスワイヤータイプ

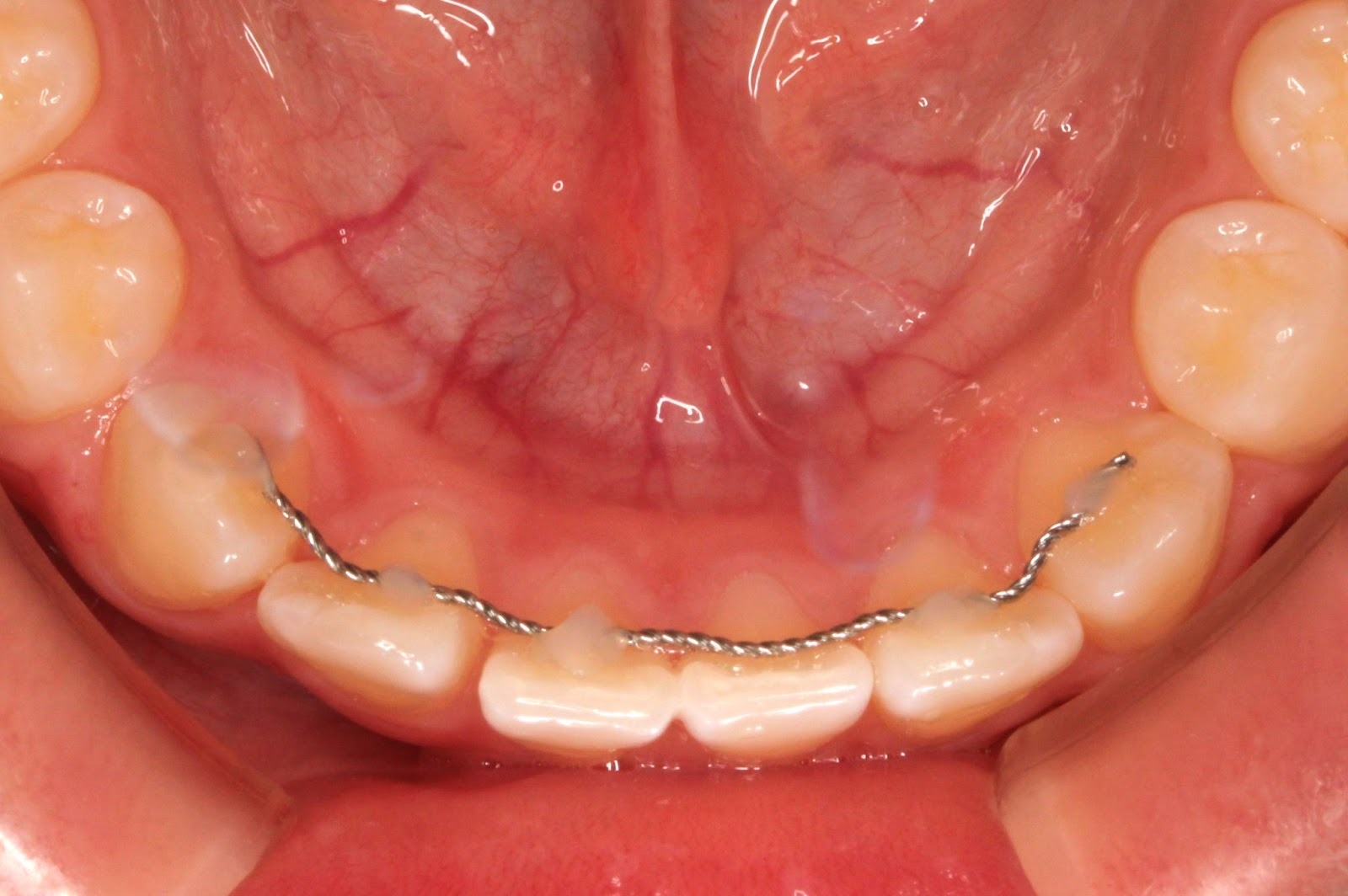
マウスピース、プレートタイプと大きく異なる点は、取り外しができない固定式であることです。前歯の裏側に細いワイヤーを接着させて固定するため、目立ちません。
しかし、普段のお手入れだけでは汚れが溜まりやすく、むし歯などのリスクが高くなってしまうため、歯科医院での定期的なクリーニングが必須となります。
リテーナーの装着時間
リテーナーは、矯正をしていた期間と同程度(1〜3年が目安)使用することが推奨されています。最初の半年〜1年間は歯が安定するために必要な期間なので、1日20時間以上装着するようにしましょう。その後は、歯科医師の指示に従い、夜間だけの装着に移行することができます。
歯並びや嚙み合わせの状態は個人差があるため、自己判断で装着時間を短くすることは避け、必ず歯科医師に相談するようにしましょう。
インビザラインに関して不安がある方は、横浜市瀬谷区の「三ツ境駅前スマイル歯科」にご相談ください

今回はインビザライン矯正における、睡眠時のマウスピースの取り扱いについて解説しました。基本的には寝ている間もマウスピース装着する必要がありますが、痛みや違和感で睡眠に影響がある場合は早めに歯科医師に相談しましょう。
三ツ境駅前スマイル歯科では、患者様一人ひとりのご要望やお悩みに合った治療方法をご提案します。
インビザラインに関してご不安な方は、インビザライン治療実績も豊富な三ツ境駅前スマイル歯科にご相談ください。LINEから矯正相談・ご予約が可能です。
※LINEでの矯正相談は、横浜市近隣にお住まいの方限定となります