インビザラインの見た目ってどう?目立つ?写真付きで徹底解説
透明なマウスピース型矯正装置であるインビザラインは、装着していても非常に目立ちにくく、自然な笑顔を保つことができます。
見た目を気にせず歯列矯正を進めたい方におすすめのインビザラインの見た目や特徴を詳しく解説します。
インビザラインの見た目は
目立つ?

インビザライン着用時の見た目
インビザラインは、透明なマウスピース型の矯正装置で、従来のワイヤー矯正と比べて非常に目立ちにくいです。透明な素材で作られているため、近距離で見ても装置がほとんどわかりません。
そのため、会話中や写真撮影の際にも自然な見た目を保つことができます。また、取り外し可能な点も大きな特徴で、特別なイベント時には外すことも可能です。
ただし、インビザラインにもアタッチメントと呼ばれる小さな突起を歯の表面に装着する場合があり、特に前歯に装着すると少し目立つことがあります。それでも、一般的にはワイヤー矯正よりも審美性に優れた選択肢と言えます。
ワイヤー矯正着用時の見た目
ワイヤー矯正では、歯の表面にブラケットとワイヤーを装着するため、特に金属製の場合はかなり目立ちます。最近では、セラミックや樹脂を使った目立ちにくいブラケットも選べますが、完全に見えなくすることは難しいです。
総合的に見て、矯正中の見た目を気にする場合、インビザラインは非常に優れた選択肢ですが、重度の症例にはワイヤー矯正が適している場合もあります。
インビザラインの見た目が
気になる理由

インビザライン治療の際、見た目が気になる要素について、以下の4点を解説します。
1.アタッチメント
アタッチメントとは、歯とアライナーをしっかりフィットさせて歯の動きをサポートするための小さな突起物です。
歯の色に近いレジンで作られているため、色自体は目立ちにくいものの、歯に立体感が出るため光の加減で目立つことがあります。
特に前歯部分では、アタッチメントが影を作り、見た目に影響することがあるため、気になる方も多いようです。また、アタッチメント周辺はコーヒーやカレーなどの飲食物によって着色しやすいため、定期的なクリーニングが推奨されます。
2.顎間ゴム
顎間ゴムは、上下の歯を引っ張る役割を果たすゴムで、矯正中のある期間のみ装着されます。
これを装着することで、口を大きく開けた時にゴムが見えるため、気にする人もいますが、透明に近いゴムを使用することで、目立ちにくくすることも可能です。顎間ゴムは必要な時期のみの装着なので、重要な予定がある場合は装着時期を調整できることもあります。
3.リテーナーの着色
リテーナーは、治療後に歯並びを維持するために使われる透明なマウスピース型の装置です。通常は目立ちませんが、長期間使用するため、アライナーと違って交換の頻度が少なく、使い続けると透明感が失われて着色することがあります。
着色は色付きの飲料や食事が原因となるため、リテーナーを外すタイミングや洗浄方法に注意が必要です。リテーナーをきれいに保つためには、歯磨き後に流水と柔らかいブラシで洗浄することが推奨されます。
4.抜歯した場合の歯間
インビザライン治療では、抜歯が必要な場合、特に小臼歯を抜くことが一般的です。抜歯後は一時的に隙間が目立ち、笑った際にこの隙間が見えてしまうことがあります。
治療が進むにつれて、歯がゆっくりと動いてその隙間を埋めるため、半年から1年ほどで隙間が目立たなくなってきます。抜歯後すぐにアライナーを装着することはできないため、その間は隙間が目立つ可能性がありますが、これは治療の進行とともに解消されます。
このように、インビザライン治療ではアタッチメントやゴムの使用、リテーナーの変色、抜歯による隙間が見た目に影響を与えることがありますが、多くの場合は治療の一環として適切なケアを行うことで軽減されます。
抜歯するとインビザラインの
見た目が目立つ?

インビザラインで抜歯を行うと、見た目にどのような影響があるのかについて、以下の5つの観点から解説します。
①抜歯直後
抜歯直後は、歯がない部分が顕著に目立ちます。特にインビザラインは透明なマウスピースで歯を覆うため、抜歯した箇所の隙間が強調されることがあります。
多くの場合、小臼歯(前から4、5番目)が抜かれることが多く、この部分は笑ったり話したりする際に見えるため、初期段階では少し気になるかもしれません。
②抜歯半年後
治療が進むにつれて、歯が徐々に移動し、隙間が縮まります。半年ほど経過すると、歯間の空白はかなり目立たなくなります。
ただし、歯並びや治療プランによっては、完全に隙間が埋まるまでにもう少し時間がかかるケースもあります。
③抜歯3年後
治療が順調に進んでいれば、3年後にはほぼ完全に歯間の隙間が埋まります。
インビザラインは歯を少しずつ動かして整えるため、最終的には自然な歯並びに仕上がり、抜歯による隙間は見えなくなります。この段階では、見た目に違和感を感じることはほぼなくなります。
④歯間が埋まるまでにかかる時間
抜歯した部分が完全に埋まるまでにかかる期間は、一般的に1年から1年半とされています。しかし、歯の移動速度や口内環境によっては、さらに時間がかかることもあります。
特に、上下の歯の幅が合わない場合や、噛み合わせが深い場合は、隙間が埋まりにくくなる可能性があります。
⑤歯間の見た目を目立たせないコツ
抜歯による歯間の隙間が目立つ場合、対策として「ポンティック」という仮歯をマウスピースに取り付ける方法があります。
これにより、見た目を補いながら治療を進めることができ、歯の欠損が目立たなくなります。また、プラスチック製の仮歯を使うことも可能で、これらの方法で治療中の見た目の心配を軽減できます。
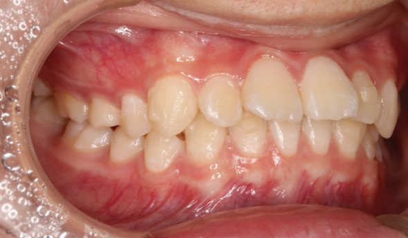
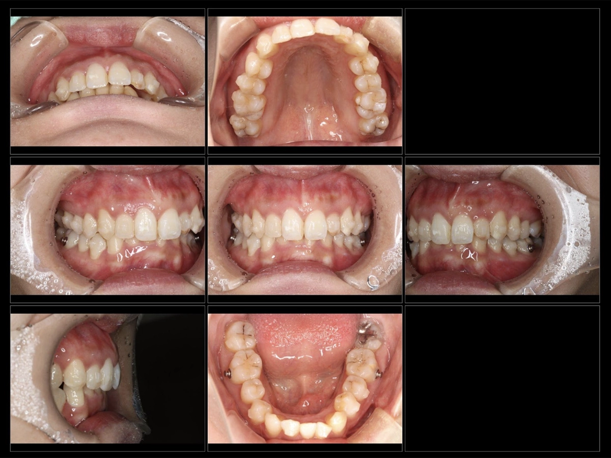
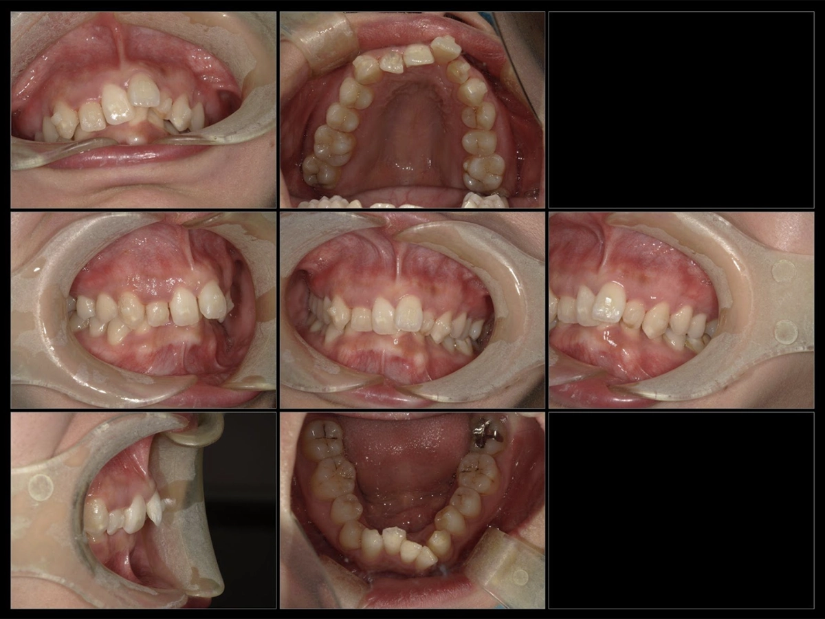
抜歯後の見た目の変化の画像
添付された画像では、抜歯前から抜歯直後、半年後の歯の変化を視覚的に確認することができます。治療中は多少の違和感があるかもしれませんが、最終的には自然な仕上がりになることが期待されます。
治療中は歯間の隙間や見た目が気になるかもしれませんが、適切な対策を講じながら治療を進めれば、長期的にはほとんど気にならない美しい歯並びにすることが可能です。
抜歯前
抜歯直後(左下2EXT)
抜歯半年後
インビザラインの見た目が気になる方は、
横浜市瀬谷区の「三ツ境駅前スマイル歯科」にご相談ください

治療期間中の見た目が目立たないように歯並びをきれいにしたい方、横浜市瀬谷区や旭区周辺で矯正治療を検討中の方は、ぜひ三ツ境駅前スマイル歯科までご相談ください。
治療期間や治療費用など3ヶ月プラン、6ヶ月プラン、1年プランと複数のプランを3Dシュミレーションでご提案させていただきお好みの治療をお選びいただくことができます!
初回の矯正相談は無料です。Webよりお申し込みができます。