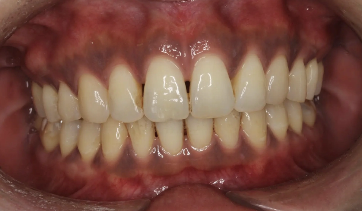
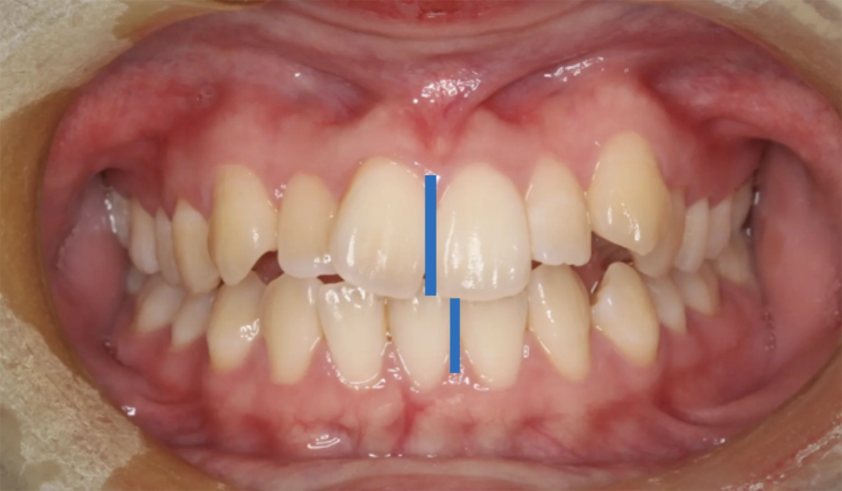
上下の前歯の中心を専門用語で「正中」と呼びますが、この正中が上下でズレている場合にはインビザラインで部分矯正をすることはできません。
正中がズレる原因となるのは「歯」と「顎」の2種類があります。歯が原因となってズレが生じている場合は、全体矯正によって歯並びを改善することができます。顎が原因となっている場合は、矯正だけでなく外科手術を必要とする可能性もあります。
ワイヤー矯正とインビザライン矯正の併用症例
今回はインビザラインでの部分矯正について詳しく解説していきます。

結論からいうと、インビザラインでの部分矯正は可能です。
しかし、冒頭でも触れたように全ての症例が対象になるわけではなく、場合によっては全体矯正が必要になってしまうこともあるのです。
対象となる歯並びとしては、軽い歯並びの不正(ズレや捻じれなど)、抜歯を必要としない症例になります。
部分矯正の対象になるかどうかは、歯科医院で精密検査を受け、医師の診断を通じて判断する必要があります。

インビザラインで部分矯正可能な歯並びとしては、基本的に抜歯をせずに、歯の傾斜や大きさを変えることで並び・捻じれを改善することのできる歯並びが対象となります。
大きく分けると以下の3つが挙げられます。
不正咬合は、顎の大きさと歯の大きさの不一致、小さい頃の悪習癖などによって引き起こされることが多いです。
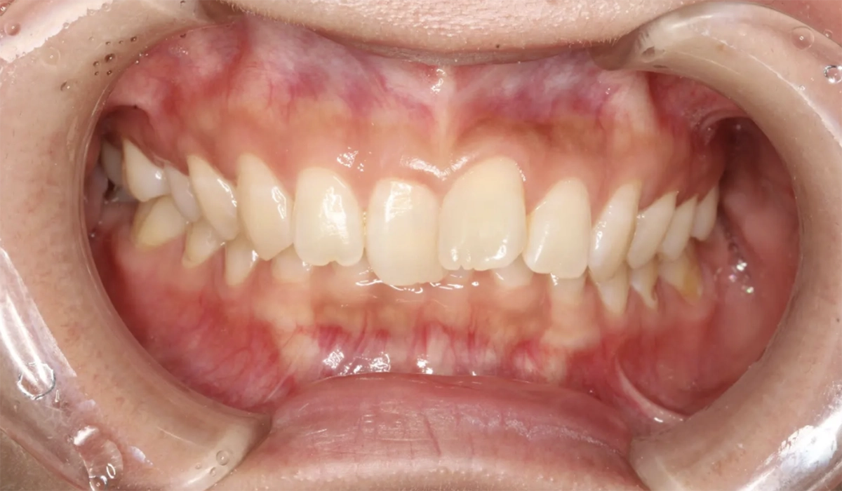
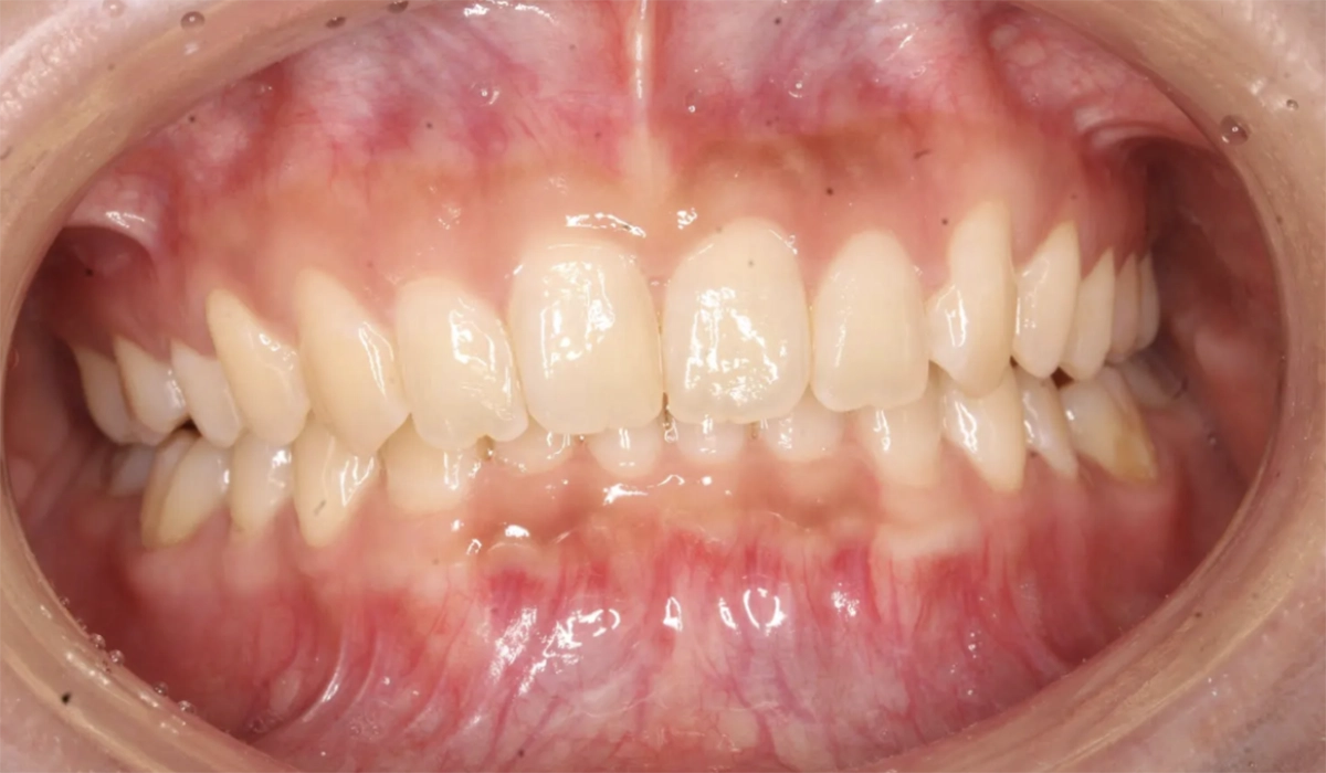
前歯が1本だけ内側に入っている、前歯のすきっ歯など不正咬合による症状が軽度であれば、インビザラインの部分矯正によって歯並びの不正を治すことが可能です。
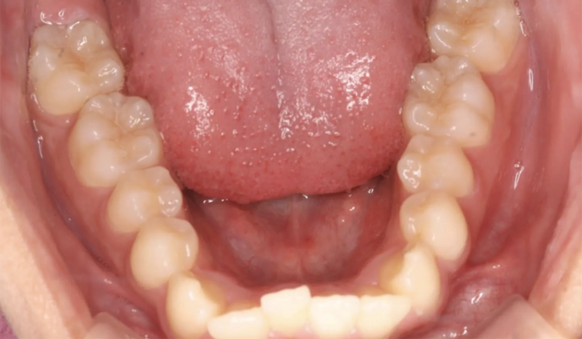
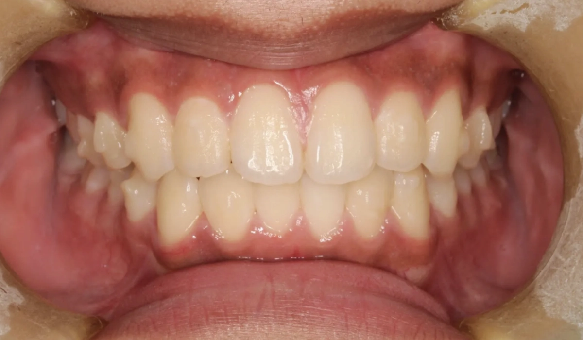
期間:4ヶ月




軽度の捻転歯の方も前歯のみのインビザライン矯正で治療することをおすすめします。
捻転歯とは捻じれて生えている歯のことで、主な原因として歯が生えるスペースが足りないことが挙げられます。
前歯だけが捻れているといった軽度の場合の捻転歯のみ、インビザラインの部分矯正で治療可能です。
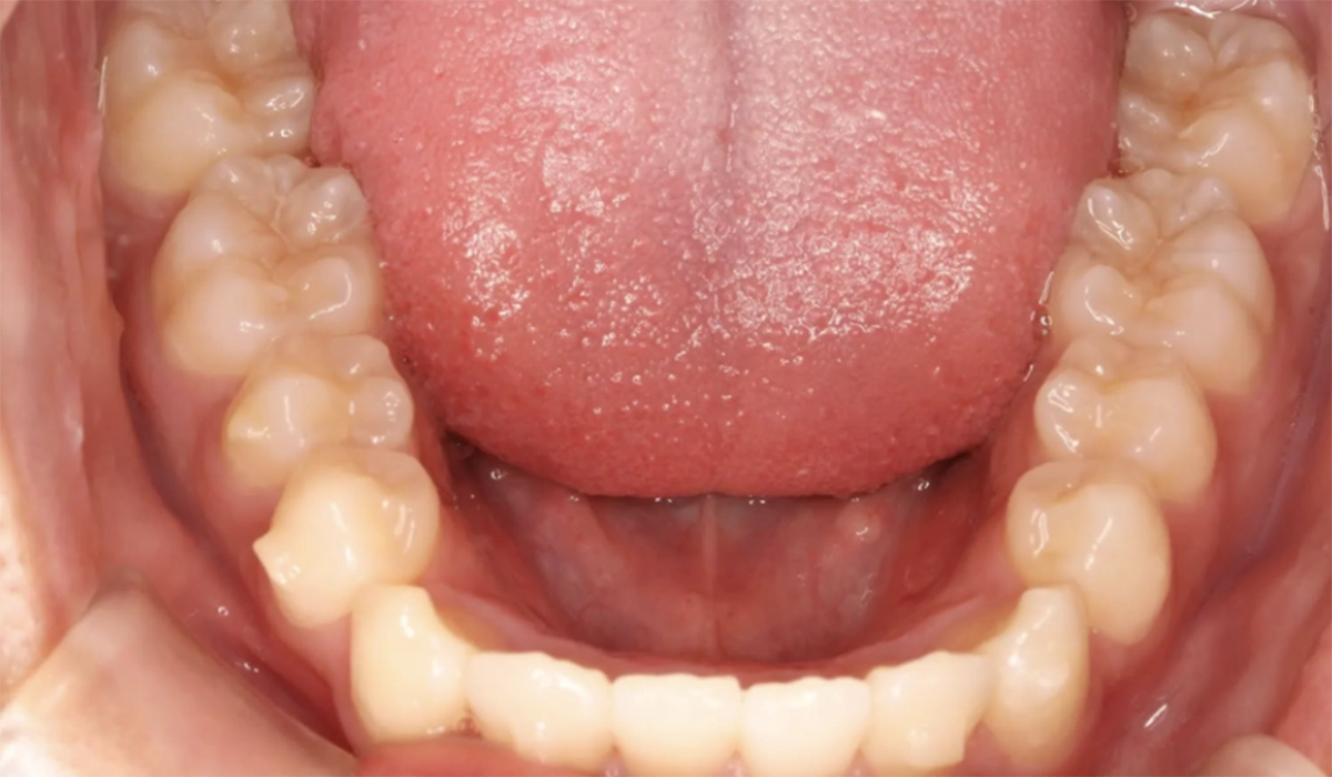
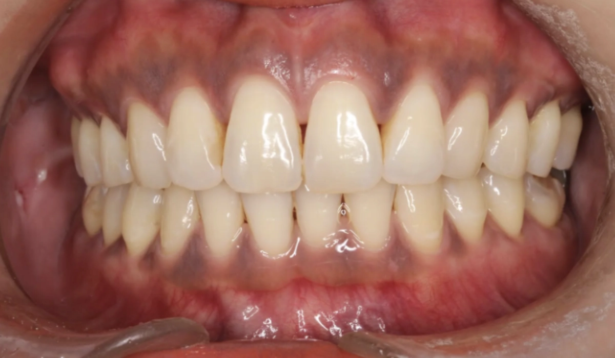
期間:5ヶ月




矯正後の後戻りにより、歯並びが崩れてしまった方にもインビザラインでの部分矯正が向いています。
矯正後、後戻り防止のために保定装置(リテーナー)を装着していないと後戻りしてしまい、一度きれいになった歯並びも崩れてしまいます。
矯正後の歯並びは歯が動きやすいので、部分矯正によって歯並びの改善が可能です。
大きく崩れてしまっている場合は部分矯正の対象にならないこともあります。
期間:3ヶ月





インビザラインでの部分矯正ができない歯並びは抜歯が必要になる歯並びの場合や、骨格的な問題によって歯並びに不正が生じている場合などです。
以下にその場合に有効な矯正方法をご紹介します。
不正咬合が重度であり、歯列全体、特に奥歯の噛み合わせに問題がある場合は部分矯正の対象にはなりません。
奥歯の噛み合わせは審美的な面だけでなく、お口の中の機能面に大きな影響を与えるため、全体的な矯正が必要となります。
部分矯正を行う場合、歯を並べるためのスペースを確保するためにIPR(歯と歯の間を削りスペースを作る方法)を用います。
しかし、IPRだけでは十分なスペースを確保できず、抜歯が必要となる場合はワイヤー矯正での治療が必要になります。
ワイヤー矯正には表側矯正と裏側矯正があるため、矯正器具を目立たせたくない方には裏側での矯正がおすすめです。

上下の前歯の中心を専門用語で「正中」と呼びますが、この正中が上下でズレている場合にはインビザラインで部分矯正をすることはできません。
正中がズレる原因となるのは「歯」と「顎」の2種類があります。歯が原因となってズレが生じている場合は、全体矯正によって歯並びを改善することができます。顎が原因となっている場合は、矯正だけでなく外科手術を必要とする可能性もあります。
ワイヤー矯正とインビザライン矯正の併用症例

インビザラインで部分矯正を行うメリットとしては、以下の3つが挙げられます。

インビザラインで部分矯正を行うデメリットとは、以下の3つが考えられます。

インビザラインでの部分矯正は全体矯正と比較すると、期間・費用どちらも大幅に抑えることができます。期間に関しては、全体矯正の半分程度の6ヶ月~12ヶ月程度、場合によっては3ヶ月~6ヶ月で終わる場合もあります。
費用に関しては、歯科医院によって大きく異なりますが、平均は50~60万円程度に抑えることができるでしょう。しかし、初期費用には含まれない追加費用が必要な場合もあるので、注意しましょう。
詳しい期間・費用を知るためには、カウンセリング。精密検査を受ける必要があります。

部分矯正は全体矯正と比較しても期間や費用を大幅に抑えることができ、矯正を検討している方にとっては治療を始めやすい方法のひとつです。
しかし、部分矯正には条件がたくさんあり、対応できる症例が少ないことは大きなデメリットといえるでしょう。
部分矯正で改善できるかどうかを患者様自身で判断することは難しいため、必ず歯科医師の診断が必要になります。
また、歯科医師の判断ミスにより、部分矯正で治療を始めたのに、歯並びが改善されず最終的に全体矯正を行うことになる可能性もあります。
そのため、歯科医院選びを間違えないことも矯正を始めるうえではとても重要になります。
三ツ境駅前スマイル歯科では、経験豊富な歯科医師・スタッフがカウンセリングから治療まで担当いたします。
また、LINEでお口の状態を写真で送っていただき、オンラインで矯正相談を行うことも可能です。
インビザラインでの部分矯正を検討中の方はぜひ、三ツ境駅前スマイル歯科にご相談ください。