アタッチメントとは、歯の表面に付ける歯科用レジン製の小さな突起のことです。歯の動きをサポートする役割があり、インビザラインのマウスピース(アライナー)がしっかり歯にフィットし、計画通りに動くように調整します。
インビザラインはワイヤー矯正に比べて力をかけにくいため、アタッチメントを使うことで、より確実に歯を動かすことができます。歯の傾きや角度の微調整が必要な場合にも使われることがあります。
インビザラインは、透明なマウスピースを使って歯を動かすことで歯並びを整える、最近とても人気の矯正方法です。しかし、ワイヤーを使わずにどのように歯が移動するのか気になる方も多いでしょう。今回は、インビザラインで歯が動く仕組みを歯列矯正の基本から詳しく解説します。

インビザラインとは、透明のマウスピースを使って歯並びを整える矯正方法です。マウスピースは患者様一人ひとりに合わせてカスタムメイドされます。従来のワイヤー矯正とは違い、金属のワイヤーやブラケットを使用しないので見た目への影響も少なくなります。
また、マウスピースは患者様自身で取り外しが可能なので、食事や歯磨きの際にも支障がありません。一方で、1日22時間以上の装着時間や新しいマウスピースへの交換、外している際の保管方法など、ワイヤー矯正よりも自己管理が必要となります。

インビザラインを含む歯列矯正は、不正な位置にある歯に矯正力をかけることで歯を動かします。歯に矯正力が加わると、歯と歯槽骨の間には歯根膜というクッションのような組織が歯根に圧迫され、圧迫された側の骨がなくなり(吸収)、反対側のすき間には新しい骨が作られます(再生)。 吸収と再生を繰り返すことで、歯が移動していくのが歯列矯正のしくみです。
インビザラインの場合は、マウスピースによって歯に矯正力を加えることで歯を動かします。

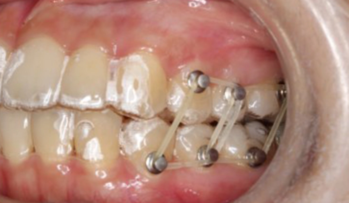
インビザラインでは主にマウスピースによって矯正力を加えますが、補助装置を利用して不足する矯正力を補うことがあります。
アタッチメントとは、歯の表面に付ける歯科用レジン製の小さな突起のことです。歯の動きをサポートする役割があり、インビザラインのマウスピース(アライナー)がしっかり歯にフィットし、計画通りに動くように調整します。
インビザラインはワイヤー矯正に比べて力をかけにくいため、アタッチメントを使うことで、より確実に歯を動かすことができます。歯の傾きや角度の微調整が必要な場合にも使われることがあります。
ゴムかけ(エラスティックゴム)とは、インビザライン矯正中に使用する小さなゴムバンドのことです。歯と歯の間にゴムをかけることで、噛み合わせの調整や歯の移動を助け、治療をスムーズに進めるために使われます。ゴムかけには様々な種類があり、ゴムのかけ方によってかかる矯正力の方向が違うため、歯並びや噛み合わせの状態に合わせて歯科医師が設定します。

インビザラインはマウスピースによって徐々に歯を動かします。マウスピース1枚当たりで動く歯の移動量は約0.25㎜です。そのため、効果を実感できるまでに時間がかかります。
治療初期では、歯を動かしやすい環境を整えていきます。マウスピースを装着することで、歯に少しずつ力をかけて動かし始めますがこの段階では、まだ大きな効果を実感することはできません。
治療中期に入ると、本格的に歯が移動するため、見た目にも少しずつ変化が見られます。この頃からゴムかけを始めるケースも多く、歯並びに加えて噛み合わせも改善していきます。
歯の動きが悪い場合には、追加でアライナーを製作する場合もあります。初期と比較しても歯が動きやすい状態にあるため、特に装着時間や新しいマウスピースへの交換のタイミングなどを厳守するようにしましょう。
治療後期では、歯並びの仕上げ、噛み合わせの最終調整が行われます。この段階でも、細かな噛み合わせの調整のためにゴムかけを行うこともあります。また、マウスピースでは歯の角度を細かく調整することは難しいため、一時的にブラケットを使用することもあります。
動的な治療が終わった後には、治療していた期間と同じ期間(通常2〜3年ほど)の保定期間を設けることが重要です。歯は元の位置に戻ろうとするため、リテーナー(保定装置)を使用し、後戻りを防ぐことが大切です。

インビザラインの効果をなかなか実感できない場合の主な原因とその対策法をご紹介します。
インビザライン矯正では、1日22時間以上の装着時間が推奨されており、基本的に食事と歯磨きの時以外は装置を装着する必要があります。装着時間が守られていないと、治療計画通りに歯が動いていないことになり、より効果の実感が遅れてしまいます。
装着方法に関しても同様で、マウスピースがしっかりと装着されていない状態では正しい矯正力が加わらないため、歯が動きにくくなります。
スマホのアラームやリマインダーを利用して装着時間を管理する、アライナーチューイーなどの補助器具を使用してマウスピースを正しく装着するように心がけましょう。
インビザライン矯正では、患者様自身で新しいマウスピースの交換を行います。そのため交換時期を早めたり、逆に遅くすると、本来の治療計画通りに歯が動かなくなってしまいます。効果を実感するためには、スマホのカレンダーアプリなどを活用して交換時期を守るようにしましょう。
マウスピースの装着や交換のタイミングをしっかりと行っていても効果が感じられない場合は、治療計画そのものに無理がある可能性もあります。正しい治療計画を立てるためには歯科医師の豊富な知識と経験が必要です。インビザライン矯正の経験が豊富な歯科医院を選ぶようにしましょう。

今回はインビザライン矯正で歯が動く仕組みを解説しました。インビザラインで使用するマウスピースにはワイヤー矯正ほど大きな矯正力はないため、徐々に歯を動かします。そのため、効果を実感するまでに時間がかかることもあります。
また、装着時間や装着方法、マウスピース交換のタイミングに間違いがあるとさらに効果を実感するのが遅くなります。スマホのアラームやリマインダー、矯正の補助器具を活用することで正しい自己管理を行いましょう。インビザライン矯正で最も重要なのは、知識と経験のある歯科医院を選ぶことです。
三ツ境駅前スマイル歯科では、経験豊富な歯科医師が患者様のご要望やお悩みに合わせて治療計画をご提案します。インビザラインでの矯正治療をご検討中の方はぜひ、三ツ境駅前スマイル歯科にご相談ください。LINEでの新規矯正相談予約も承っております。
※ご相談は横浜近隣にお住まいの方限定となります